The Project Gutenberg EBook of Arteriosclerosis and Hypertension:, by 
Louis Marshall Warfield

This eBook is for the use of anyone anywhere at no cost and with
almost no restrictions whatsoever.  You may copy it, give it away or
re-use it under the terms of the Project Gutenberg License included
with this eBook or online at www.gutenberg.org


Title: Arteriosclerosis and Hypertension:
       with Chapters on Blood Pressure, 3rd Edition.

Author: Louis Marshall Warfield

Release Date: October 12, 2011 [EBook #37675]

Language: English

Character set encoding: ISO-8859-1

*** START OF THIS PROJECT GUTENBERG EBOOK ARTERIOSCLEROSIS AND HYPERTENSION: ***




Produced by Bryan Ness, Julia Neufeld and the Online
Distributed Proofreading Team at http://www.pgdp.net (This
file was produced from images generously made available
by The Internet Archive/American Libraries.)






Erratum

Page 75, Figure shown is not the Brown sphygmomanometer described in the text, but the Baumanometer manufactured by W. A. Baum Co., Inc., New York. It is claimed that the Baumanometer is made with particular care and hence the readings are said to be more accurate than other mercury instruments. It is apparently a good instrument. The author has had no personal experience with it.


ARTERIOSCLEROSIS

AND

HYPERTENSION

With Chapters on Blood Pressure

BY

LOUIS M. WARFIELD, A.B., M.D., (Johns Hopkins),
F.A.C.P.



FORMERLY PROFESSOR OF CLINICAL MEDICINE, MARQUETTE UNIVERSITY MEDICAL
SCHOOL; CHIEF PHYSICIAN TO MILWAUKEE COUNTY HOSPITAL; ASSOCIATE
MEMBER ASSOCIATION AMERICAN PHYSICIANS; MEMBER AMERICAN
ASSOCIATION PATHOLOGISTS AND BACTERIOLOGISTS;
AMERICAN MEDICAL ASSOCIATION, ETC., FELLOW
AMERICAN COLLEGE OF PHYSICIANS


THIRD EDITION


ST. LOUIS

C. V. MOSBY COMPANY

1920


Copyright, 1912, 1920, by C. V. Mosby Company

Press of
C. V. Mosby Company
St. Louis



TO

MY MOTHER

THIS VOLUME IS AFFECTIONATELY

DEDICATED

[15]

PREFACE TO THIRD EDITION

Several years have elapsed since the appearance of the second edition of this book. During this time there has been considerable experimentation and much writing on arteriosclerosis. The total of all work has not been to add very much to our knowledge of the etiology of arterial degeneration. Points of view and opinions change from time to time. It is so with arteriosclerosis. In this edition arteriosclerosis is not regarded as a disease with a definite etiologic factor. Rather it is looked upon as a degenerative process affecting the arteries following a variety of causes more or less ill defined. It is not considered a true disease. Possibly syphilitic arteritis may be viewed as an entity, the cause is known and the lesions are characteristic.

Much new material and many new figures have been added to this edition. Some rearranging has been done. The chapter on Blood Pressure has been much expanded and some original observations have been included. The literature has been selected rather than indiscriminately quoted. Much that is written on the subject is of little value.

It has always seemed to the author that there is not enough of the personal element in medical writings. At the risk of being severely criticized, he has attempted to make this book represent largely his own ideas, only here and there quoting from the literature.

New chapters on Cardiac Irregularities Associated with Arteriosclerosis, and Blood Pressure in Its Clinical Application have been added.

The fact that the book has passed through two editions is very gratifying and seems to show that it has met with favor. The author takes this opportunity of thanking those who have loaned him illustrations. Wherever figures are borrowed due credit is given.

[16]It is hoped that the kind of reception accorded to the first and second editions will also not be withheld from this present edition.

Louis M. Warfield.

Milwaukee, Wisc.


PREFACE TO THE SECOND EDITION

In this second edition so many changes and additions have been made that the book is practically a new one. All the chapters which were in the previous edition have been carefully revised. Two chapters, "Pathology" and "Physiology," have been completely rewritten and brought up to date. It was thought best to add some references for those who had interest enough to pursue the subject further. These references have been selected on account of the readiness with which they may be procured in any library, public or private. Two new chapters have been added—one on "The Physical Examination of the Heart and Arteries," the other on "Arteriosclerosis in Its Relation to Life Insurance," and it is hoped that these will add to the practical value of the book.

Arteriosclerosis can scarcely be considered apart from blood pressure, and in the view expressed within, with which some may not concur, high tension is considered to be a large factor in the production of arteriosclerosis. As the data on blood pressure have increased, the importance of it has become more evident. The chapter on "Blood Pressure" has been wholly rewritten, expanded so as to give a comprehensive grasp of the essential features, and several illustrations have been added in order to elucidate the text more fully. The chief objects in view were to make clear to the physician the technique and the necessity for estimating both systolic and diastolic pressures.

The author is grateful for the kindly reception accorded the first edition. No one is more keenly aware of the imperfections[17] than he. The necessity for a second edition is taken to mean that the book has found a place for itself and has been of use to some.

The author hopes that this new edition will fulfill adequately the purpose for which he prepared the book—namely, as a practical guide to the knowledge and appreciation of a most important and exceedingly common disease.

Louis M. Warfield.

Milwaukee, May, 1912.


PREFACE TO THE FIRST EDITION

It is hoped that this small volume may fill a want in the already crowded field of medical monographs. The author has endeavored to give to the general practitioner a readable, authoritative essay on a disease which is especially an outcome of modern civilization. To that end all the available literature has been freely consulted, and the newest results of experimental research and the recent ideas of leading clinicians have been summarized. The author has supplemented these with results from his own experience, but has thought it best not to burden the contents with case histories.

The stress and strain of our daily life has, as one of its consequences, early arterial degeneration. There can be no doubt that arterial disease in the comparatively young is more frequent than it was twenty-five years ago, and that the mortality from diseases directly dependent on arteriosclerotic changes is increasing. Fortunately, the almost universal habit of getting out of doors whenever possible, and the revival of interest in athletics for persons of all ages, have to some extent counteracted the tendency to early decay. Nevertheless, the actual average prolongation of life is more probably due to the very great reduction in infant mortality and in deaths from infectious and communicable diseases.

[18]The wear and tear on the human organism in our modern way of living is excessive. Hard work, worry, and high living all predispose to degenerative changes in the arteries, and so bring on premature old age. The author has tried to emphasize this by laying stress on the prevention of arteriosclerosis rather than on the treatment of the fully developed disease.

No bibliography is given, as this is not intended as a reference book, but rather as a guide to a better appreciation and understanding of a most important subject. It has been difficult to keep from wandering off into full discussions of conditions incident to and accompanied by arteriosclerosis, but, in order to be clear in his statements and complete in his descriptions, the author has to invade the fields of heart disease, kidney disease, brain disease, etc. It is hoped, however, that these excursions will serve to show how intimately disease of the arteries is bound up with diseases of all the organs and tissues of the body.

Some authors have been named when their opinions have been given. Thanks are extended also to many others to whom the writer is indebted, but of whom no individual mention has been made.

The author also takes this opportunity of expressing his appreciation of the kindness of Dr. D. L. Harris, who took the microphotographs, and to the publishers for their unfailing courtesy and consideration.

Louis M. Warfield.

St. Louis, August, 1908.


[19]

CONTENTS

page

CHAPTER I.

Anatomy25

Introduction, 25; Definition, 26; General Structure of the Arteries, 27; Arteries, 29; Veins, 30; Capillaries, 31.

CHAPTER II.

Pathology32

Syphilitic Aortitis, 44; Experimental Arteriosclerosis, 50; Arteriosclerosis of the Pulmonary Arteries, 63; Sclerosis of the Veins, 64.

CHAPTER III.

Physiology of the Circulation65

Blood Pressure, 68; Blood Pressure Instruments, 70; Technic, 80; Arterial Pressure, 85; Normal Pressure Variations, 88; The Auscultatory Blood Pressure Phenomenon, 90; The Maximum and Minimum Pressures, 94; Relative Importance of the Systolic and Diastolic Pressures, 97; Pulse Pressure, 100; Blood Pressure Variations, 102; Hypertension, 106; Hypotension, 117; The Pulse, 123; The Venous Pulse, 123; The Electrocardiogram, 126.

CHAPTER IV.

Important Cardiac Irregularities Associated With Arteriosclerosis 13

Auricular Flutter, 131; Auricular Fibrillation, 133; Ventricular Fibrillation, 138; Extrasystole, 138; Heart Block, 140.

CHAPTER V.

Blood Pressure in Its Clinical Applications147

Blood Pressure in Surgery, 147; Head Injuries, 148; Shock and Hemorrhage, 148; Blood Pressure in Obstetrics, 152; Infectious Diseases, 153; Valvular Heart Disease, 155; Kidney Disease, 155; Other Diseases, Liver, Spleen, Abdomen, etc., 156.

CHAPTER VI.

Etiology157

Congenital Form, 157; Acquired Form, 159; Hypertension, 159; Age, Sex, Race, 161; Occupation, 162; Food Poisons, 163; Infectious Diseases, 163; Syphilis, 165; Chronic Drug Intoxications, 166; Overeating, 167; Mental Strain, 168; Muscular Overwork, 169; Renal Disease, 169; Ductless Glands, 171.

[20]

CHAPTER VII.

The Physical Examination of the Heart and Arteries172

Heart Boundaries, 172; Percussion, 174; Auscultation, 176; The Examination of the Arteries, 177; Estimation of Blood Pressure, 179; Palpation, 180; Precautions When Estimating Blood Pressure, 181; The Value of Blood Pressure, 181.

CHAPTER VIII.

Symptoms and Physical Signs183

General, 183; Hypertension, 185; The Heart, 188; Palpable Arteries, 189; Ocular Signs and Symptoms, 190; Nervous Symptoms, 191.

CHAPTER IX.

Symptoms and Physical Signs194

Special, 194; Cardiac, 195; Renal, 199; Abdominal or Visceral, 201; Cerebral, 203; Spinal, 205; Local or Peripheral, 207; Pulmonary Artery, 209.

CHAPTER X.

Diagnosis210

Early Diagnosis, 210; Differential Diagnosis, 215; Diseases in Which Arteriosclerosis is Commonly Found, 216.

CHAPTER XI.

Prognosis218

CHAPTER XII.

Prophylaxis224

CHAPTER XIII.

Treatment229

Hygienic Treatment, 230; Balneotherapy, 233; Personal Habits, 234; Dietetic Treatment, 235; Medicinal, 238; Symptomatic Treatment, 245.

CHAPTER XIV.

Arteriosclerosis in Its Relation to Life Insurance249

CHAPTER XV.

Practical Suggestions256


[21]

ILLUSTRATIONS

FIG.page
1. Cross section of a large artery28
2. Cross section of a coronary artery36
3. Arteriosclerosis of the thoracic and abdominal aorta39
4. Arteriosclerosis of the arch of the aorta40
5. Normal Aorta41
6. Radiogram showing calcification of both radial and ulnar arteries42
7. Syphilitic aortitis of long standing44
8. Diagrammatic representation of strain hypertrophy48
9. Strain hypertrophy49
10. Cross section of small artery in the mesentery56
11. Enormous hypertrophy of left ventricle58
12. Aortic incompetence with hypertrophy and dilatation of left ventricle61
13. Cooks modification of Riva-Roccis blood pressure instrument72
14. Stanton's sphygmomanometer73
15. The Erlanger sphygmomanometer with the Hirschfelder attachments74
16. Desk model Baumanometer75
17. Faught blood pressure instrument76
18. Rogers' "Tycos" dial sphygmomanometer77
19. Detail of the dial in the "Tycos" instrument78
20. Faught dial instrument79
21. Detail of the dial of the Faught instrument79
22. The Sanborn instrument80
23. Method of taking blood pressure with a patient in sitting position81
24. Method of taking blood pressure with patient lying down82
25. Observation by the auscultatory method and a mercury instrument84
26. Observation by the auscultatory method and a dial instrument85
27. Schema to illustrate decrease in pressure86
28. Chart showing the normal limits of variation in systolic blood pressure89
29. Tracing of auscultatory phenomena94
30. Tracings of auscultatory phenomena95
31. Clinical determination of diastolic pressure fast drum96
32. Clinical determination of diastolic pressure slow drum96
33. Venous blood pressure instrument121
34. New venous pressure instrument122
35. Events in the cardiac cycle124
36. Simultaneous tracings of the jugular and carotid pulses125
37. Jugular and carotid tracings125
38. Right side of the heart showing distribution of the two vagus nerves127
39. Normal electrocardiogram128
40. Auricular flutter132
41. Auricular fibrillation134
[22]
42. Auricular fibrillation134
43. Pulse deficit135
44. Ventricular fibrillation137
45. Auricular extrasystoles139
46. Ventricular extrasystole139
47. Delayed conduction141
48. Partial heart block141
49. Complete heart block142
50. Alternating periods of sinus rhythm and auriculoventricular rhythm144
51. Auriculoventricular or "nodal" rhythm144
52. Influence of mechanical pressure on the right vagus nerve144
53. Schematic distribution of right and left vagus145
54. Blood pressure record from a normal reaction to ether149
55. Chart showing the method of recording blood pressure during an
operation150
56. Method of using blood pressure instrument during operation151
57. Finger-tip palpation of the radial artery178
58. Finger-tip palpation of the radial artery178
59. Aneurysm of the heart wall196
60. Large aneurysm of the aorta eroding the sternum198


[25]

ARTERIOSCLEROSIS AND HYPERTENSION


CHAPTER I.

ANATOMY

With the increased complexity of our modern life comes increased wear and tear on the human organism. "A man is as old as his arteries" is an old dictum, and, like many proverbs, the application to mankind today is, if anything, more pertinent than it was when the saying was first uttered. Notwithstanding the fact that the average age of mankind at death has been materially lengthened—the increase in years amounting to fourteen in the past one hundred years of history—clinicians and pathologists are agreed that the arterial degeneration known as arteriosclerosis is present to an alarming extent in persons over forty years of age. Figures in all vital statistics have shown us that all affections of the circulatory and renal systems are definitely on the increase. "Arterial diseases of various kinds, atheroma, aneurysm, etc., caused 15,685 deaths in 1915, or 23.3 per 100,000. This rate, although somewhat lower than the corresponding ones for 1912 and 1913, is higher than that for 1914, and is very much higher than that for 1900, which was 6.1."

The great group of cases of which cardiac incompetence, aneurysm, cerebral apoplexy, chronic nephritis, emphysema, and chronic bronchitis are the most frequent and important appear as terminal events in which arteriosclerosis has probably played an important part.

Thus, in the sense in which we speak of tuberculosis or pneumonia as a distinct disease, we can not so designate the diseased condition of the arteries.

Arteriosclerosis is not a disease sui generis. It is best[26] viewed as a degeneration of the coats of the arteries, both large and small resulting in several different more or less distinct types.

These types blend one into the other and in the same patient all types may be found. Thus the sclerosis of the arteries is the result of a variety of causes, none of which is definitely known in the sense of a bacterial disease. As we shall see later, one type of arteriosclerosis has a special pathology and etiology, the syphilitic arterial changes.

Bearing in mind that arteriosclerosis (called by some "arteriocapillary fibrosis," by others "atherosclerosis") is not a true disease, it may, for convenience be defined as a chronic disease of the arteries and arterioles, characterized anatomically by increase or decrease of the thickness of the walls of the blood vessels, the initial lesion being a weakening of the middle layer caused by various toxic or mechanical agencies. This weakness of the media leads to secondary effects, which include hypertrophy or atrophy of the inner layer—and not infrequently hypertrophy of the outer layer—connective tissue formation and calcification in the vessels, and the formation of minute aneurysms along them. The term arteriocapillary fibrosis has a broader meaning, but is a cumbersome phrase, and conveys the idea that the capillary changes are an essential feature of the process, whereas these are for the most part secondary to the changes in the arteries. The veins do not always escape in the general morbid process, and when these are affected the whole condition is sometimes called vascular sclerosis or angiosclerosis.

Upon the anatomical structure of the arteries depends, as a rule, the character and extent of the arteriosclerotic lesions. For the clear comprehension of the process, it is necessary to keep in mind the essential histological differences between the aorta and the larger and smaller branches of the arterial tree.

The vascular system is often likened to a central pump, from which emanates a closed system of tubes, beginning[27] with one large distributing pipe, which gives rise to a series of tubes, whose number is constantly increasing at the same time that their caliber is decreasing in size. From the smallest of these tubes, larger and larger vessels collect the flowing blood, until, at the pump, two large trunks of approximately the same area as the one large distributing trunk empty the blood into the heart, thus completing the circle. This is but a rough illustration, and, while possibly useful, takes into account none of the vital forces which are constantly controlling every part of the distributing system.

General Structure of the Arteries

The aorta and its branches are highly elastic tubes, having a smooth, glistening inner surface. When the arteries are cut open, they present a yellowish appearance, due to the large quantity of elastic tissue contained in the walls. The elasticity is practically perfect, being both longitudinal and transverse. The essential portion of any blood vessel is the endothelial tube, composed of flat cells cemented together by intercellular substance and having no stomata between the cells. This tube is reinforced in different ways by connective tissue, smooth muscle fibers, and fibroelastic tissue. Although the gradations from the larger to the smaller arteries and from these to the capillaries and veins are almost insensible, yet particular arteries present structural characters sufficiently marked to admit of histological differentiation.

The whole vascular system, including the heart, has an endothelial lining, which may constitute a distinct inner coat, the tunica intima, or may be without coverings, as in the case of the capillaries. The intima (Fig. 1) consists typically of endothelium, reinforced by a variable amount of fibroelastic tissue, in which the elastic fibers predominate. The tunica media is composed of intermingled bundles of elastic tissue, smooth muscle fibers, and some fibrous tissue. The adventitia or outer coat is exceedingly tough. It is[28] usually thinner than the media, and is composed of fibroelastic tissue. This division into three coats is, however, somewhat arbitrary, as in the larger arteries particularly it is difficult to discover any distinct separation into layers.

Fig. 1.—Cross section of a large artery showing the division into the three coats; intima,
media, adventitia. The intima is a thin line composed of endothelial cells. The
wavy elastic lamina is well seen. The thick middle coat is composed of muscle fibers
and fibroelastic tissue. The loose tissue on the outer (lower portion of cut) side of the
media is the adventitia. (Microphotograph, highly magnified.) Fig. 1.—Cross section of a large artery showing the division into the three coats; intima, media, adventitia. The intima is a thin line composed of endothelial cells. The wavy elastic lamina is well seen. The thick middle coat is composed of muscle fibers and fibroelastic tissue. The loose tissue on the outer (lower portion of cut) side of the media is the adventitia. (Microphotograph, highly magnified.)

The muscular layer varies from single scattered cells, in the arterioles, to bands of fibers making up the body of the vessel in the medium-sized arteries and veins.

There is elastic tissue in all but the smallest arteries, and it is also found in some veins. It varies in amount from a loose network to dense membranes. In the intima of the larger arteries the elastic tissue occurs as sheets, which under the microscope appear perforated and pitted, the so-called fenestrated membrane of Henle.

The nutrient vessels of the arteries and veins, the vasa vasorum, are present in all the vessels except those less[29] than one millimeter in diameter. The vasa vasorum course in the external coat and send capillaries into the media, supplying the outer portion of the coat and the externa with nutritive material. The nutrition of the intima and inner portion of the media is obtained from the blood circulating through the vessel. Lymphatics and nerves are also present in the middle and outer layers of the vessels.

Arteries

The structure of the arteries varies notably, depending upon the size of the vessel. A cross section of the thoracic aorta reveals a dense network of elastic fibers, occupying practically all of the space between the single layer of endothelial cells and the loose elastic and connective tissue network of the outer layer. Smooth muscle fibers are seen in the middle coat, but, in comparison with the mass of elastic tissue, they appear to have only a limited function.

In a cross section of the radial artery one sees a wavy outline of intima, caused by the endothelium following the corrugations of the elastica. The endothelium is seen as a delicate line, in which a few nuclei are visible. The media is comparatively thick, and is composed of muscle cells, arranged in flat bundles, and plates of elastic tissue. Between the media and the externa the elastic tissue is somewhat condensed to form the external elastic membrane. The adventitia varies much in thickness, being better developed in the medium-sized than in the large arteries. It is composed of fibrous tissue mixed with elastic fibers.

"Followed toward the capillaries, the coats of the artery gradually diminish in thickness, the endothelium resting directly upon the internal elastic membrane so long as the latter persists, and afterward on the rapidly attenuating media. The elastica becomes progressively reduced until it entirely disappears from the middle coat, which then becomes a purely muscular tunic, and, before the capillary is reached, is reduced to a single layer of muscle cells. In[30] the precapillary arterioles the muscle no longer forms a continuous layer, but is represented by groups of fiber cells that partially wrap around the vessel, and at last are replaced by isolated elements. After the disappearance of the muscle cells the blood vessel has become a true capillary. The adventitia shares in the general reduction, and gradually diminishes in thickness until, in the smallest arteries, it consists of only a few fibroelastic strands outside the muscle cells." (Piersol's Anatomy.)

The large arteries differ from those of medium size mainly in the fact that there is no sharp line of demarcation between the intima and the media. There is also much more elastic tissue distributed in firm bundles throughout the media, and there are fewer muscle fibers, giving a more compact appearance to the artery as seen in cross section. The predominance of elastic tissue permits of great distention by the blood forced into the artery at every heartbeat, the caliber of the tube being less markedly under the control of the vasomotor nerves than is the case in the small arteries, where the muscle tissue is relatively more developed. The adventitia of the large arteries is strong and firm, and is made up of interlacing fibroelastic tissue, of which some of the bundles are arranged longitudinally.

Veins

The walls of the veins are thinner than those of the arteries; they contain much less elastic and muscular tissue, and are, therefore, more flaccid and less contractile. Many veins, particularly those of the extremities, are provided with cup-like valves opening toward the heart. These valves, when closed, prevent the return of the blood to the periphery and distribute the static pressure of the blood column. The bulgings caused by the valves may be seen in the superficial veins of the arm and leg. There are no valves in the veins of the neck, where there is no necessity for such a protective mechanism, gravity sufficing to drain the venous blood from the cranial cavity.

[31]

Capillaries

These are endothelial tubes in the substance of the organs, the tissue of the organ giving them the necessary support. They are the final subdivisions of the blood vessels, and the vast capillary area offers the greatest amount of resistance to the blood flow, thus serving to slow the blood stream and allowing time for nutritive substances or waste products to pass from and to the blood. Usually the capillaries are arranged in the form of a network, the channels in any one tissue being of nearly uniform size, and the closeness of the mesh depending upon the organ.

As far back as 1865, Stricker observed contraction of the capillaries. This observation was apparently forgotten until revived again by Krogh recently. The latter finds that the capillaries are formed of cells which are arranged in strands encircling the vessel. The capillaries are rarely longer than 1 mm., and, according to Krogh, are capable of enormous dilatation.

The rate of flow through any capillary area is very inconstant, and the usual explanation has been that the capillaries were endothelial tubes the blood flow of which was dependent upon the contraction or dilatation of the terminal arterioles. The actual fact that in an observed capillary area some capillaries are empty renders the above explanation untenable. The color of a tissue depends upon the state of filling of the capillaries with blood.

It would seem that all the evidence now leads us to believe that the capillaries themselves are contractile and it is even possible that they may be under vasomotor control. If the anatomic structure as stated above, is correct, it would take but a slight contraction of the encircling cell to shut off completely the capillary. When the enormous capillary bed is considered, it is not inconceivable that circulating poisons may act on large areas and produce a true capillary resistance to the onflow of blood which might express itself, if long continued, in actual hypertrophy of the heart.


[32]

CHAPTER II.

PATHOLOGY

The whole subject of the pathology of arteriosclerosis has been much enriched by the study of the experimental lesions produced by various drugs and microorganisms upon the aortas of rabbits. Simple atheroma must not be confused with the lesions of arteriosclerosis. The small whitish or yellowish plaques so frequently seen on the aorta and its main branches, may occur at any age, and have seemingly no great significance. Such plaques may grow to the size of a dime or larger, and even become eroded. They represent fatty degeneration of the intima which, at times, has no demonstrable cause; at times follows in the course of various diseases, and undoubtedly is due to disturbances of nutrition in the intima. Except for the remote danger of clot formation on the uneven or eroded spot, these places are of no special significance, and are not to be confused with the atheroma of nodular sclerosis.

The lesions of arteriosclerosis are of a different character. It has been customary to differentiate three types: (1) nodular; (2) diffuse; (3) senile. It must be understood that this is not a classification of distinct types. As a rule in advanced arteriosclerosis, lesions representing all types and all grades are found. The nodular type, however, may occur in the aorta alone, the branches remaining free. This is most often found in syphilitic sclerosis where the lesion is confined to the ascending portion of the arch of the aorta.

The retrogressive changes of advancing years can not be rightly termed disease, yet it becomes necessary to regard them as such, for the senile changes, as we shall see, may be but the advanced stages of true arteriosclerosis. Much depends on the nature of the arterial tissue and much[33] on the factors at work tending to injure the tissue. A man of forty years may therefore have the calcified, pipe stem arteries of a man of eighty. Our parents determine, to great extent, the kind of tissue with which we start life. The arteries are elastic tubes capable of much stretching and abuse. In the aorta and large branches there is much elastic tissue and relatively little muscle. When the vessels have reached the organs, they are found to be structurally changed in that there is in them a relatively small amount of elastic tissue but a great deal of smooth muscle. This is a provision of nature to increase or decrease the supply of blood at any point or points.

The aorta and the large branches are distributing tubes only. It is after all in the arterioles and smaller arteries that the lesions of arteriosclerosis do the most damage. A point to be emphasized is that the whole arterial system is rarely, if ever, attacked uniformly. That is, there may be a marked degree of sclerosis in the aorta and coronary arteries with very little, if any, change in the radials. On the contrary, a few peripheral arteries only may be the seat of disease. A case in point was seen at autopsy in which the aorta in its entirety and all the large peripheral branches were absolutely smooth. In the brain, however, the arteries were tortuous, hard, and were studded with miliary aneurysms. It is not possible to judge accurately the state of the whole arterial system by the stage of the lesion in any one artery; but on the whole one may say that an undue thickening of the radial artery indicates analogous changes in the mesenteric arteries and in the aorta.

So far as the anatomical lesions in the aorta and branches are concerned, there is much uniformity even though the etiologic factors have been diverse. The only difference is one of extent. To Thoma we owe the first careful work on arteriosclerosis. He regarded the lesion in arteriosclerosis as one situated primarily in the media; there is a lack of resistance in this coat. His views are[34] now chiefly of historical interest. As the author understands him, he considered a rupture in the media to be the cause of a local widening and consequently the blood could not be distributed evenly to the organ which was supplied by the diseased artery or arteries. Moreover, there was danger of a rupture at the weak spot unless this were strengthened. It was essential for the even distribution of blood that the lumen be restored to its former size. Nature's method of repair was a hypertrophy of the subintimal connective tissue and the formation of a nodule at that point. The thickening was compensatory, resulting in the establishment of the normal caliber of the vessel. Thoma showed that by injecting an aorta in the subject of such changes, with paraffin at a pressure of 160 mm. of mercury, these projections disappeared and the muscle bulged externally. He recognized the fact that the character of the artery changed as the years passed, and to this form he gave the name, primary arteriosclerosis. To the group of cases caused by various poisonous agents, or following high peripheral resistance and consequent high pressure, he gave the name, secondary arteriosclerosis. This is a useful but not essential division, as the changes which age and high tension produce may not be different from those produced in much younger persons by some circulating poison. And most important to bear in mind, octogenarians may have soft, elastic arteries.

As the body ages, certain changes usually take place in the arteries leading to thickening and inelasticity of their walls. This is a normal change, and in estimating the palpable thickening of an artery, such as the radial, the age of the individual must always be considered.

Thayer and Fabyan, in an examination of the radial artery from birth to old age, found that, in general, the artery strengthens itself, as more strain is thrown upon it, by new elastica in the intima and connective tissue in the media and adventitia. Up to the third decade there is only[35] a strengthening of the media and adventitia. During the third and fourth decades there is also distinct connective tissue thickening in the intima. "In other words, the strain has begun to tell upon the vessel wall, and the yielding tube fortifies itself by the connective tissue thickening of the intima and to a lesser extent of the media." By the fifth decade the connective tissue deposits in the intima are marked, there is an increase of fibrous tissue upon the medial side of the intima and, in lesser degree, throughout the media. "Finally, in these sclerotic vessels degenerative changes set in, which are somewhat different from those seen in the larger arteries, consisting, as they do, of local areas of coagulation necrosis with calcification, especially marked in the deep layers of the connective tissue thickenings of the intima, and in the muscle fibers of the media, particularly opposite these points. These changes may ... go on to actual bone formation." The mesenteric artery differs in some respects from the radial, but in the main, the changes brought about by age are the same. Thayer and Fabyan note two striking points of difference: "(1) calcification is apparently much less frequent than in the radials; (2) in several cases plaques were seen with fatty softening of the deeper layers of the intima and superficial proliferation—a picture which we have never seen in the radial." (See Fig. 2.)

Fig. 2.—Cross section of a coronary artery, ×50, showing nodular sclerosis. Note the
heaping up of cells in the intima, the fracture of the elastica, and the destruction of the
media beneath the nodule. The primary lesion evidently was in the media. The thickened
intima is the effort on the part of nature to heal the breach. At such places as
shown here aneurysms may form. (Microphotograph.) Fig. 2.—Cross section of a coronary artery, ×50, showing nodular sclerosis. Note the heaping up of cells in the intima, the fracture of the elastica, and the destruction of the media beneath the nodule. The primary lesion evidently was in the media. The thickened intima is the effort on the part of nature to heal the breach. At such places as shown here aneurysms may form. (Microphotograph.)

Aschoff's studies of the aorta show that, "in infancy the elastic laminę of the media stand out sharply defined, well separated from each other by the muscle layers, which are well developed.... From childhood there is to be observed a slowly progressive increase in the elastic elements of the media. Not only do the individual lamellę seen in cross-sections become thicker, but also they afford an increasing number of fine secondary filaments feathering off from these and crossing the muscle layer, so that now they are no longer sharply defined, but more ragged upon cross-section. This progressive increase attains its maximum at or about[36] the age of thirty-five, and from now on for the next fifteen years the condition is relatively stationary. After fifty there is to be observed a slowly progressive atrophy of the elastica. The media becomes obviously thinner and presumably weaker." (Adami.) It has also been found (Klotz) that after the age of thirty-five, the muscle of the media begins to exhibit fatty degeneration which after fifty years is well marked. The fatty degeneration may then give place to a calcareous infiltration or the fibers may undergo complete absorption. It would appear that the thinning of the aortic media is due not so much to the atrophy of the elastic tissue as to that of the muscle tissue. The elastic tissue does lose its specific property and the artery thus becomes practically a connective tissue tube.

[37]Scheel has made very careful measurements of the ascending, the thoracic, and the abdominal aorta, and the pulmonary artery. He found that from birth to sixty years, the aorta became progressively wider and lost its elasticity. The pulmonary changed little, if at all, after thirty to forty years, and where before it was wider than the aorta, it now was found to be smaller. In chronic nephritis both were widened. The continuous increase of width and length of the aorta stands in reverse relationship to the elasticity of its walls.

Although the division of the lesions into nodular, diffuse, and senile has been the usual one, it is better to separate three groups into (1) nodular, (2) diffuse or senile, and (3) syphilitic. There is more known about the histology of the syphilitic form and the lesions which consist of puckerings and scars seen on opening an aorta just above the valves, and on the ascending portion of the arch are characteristic. A macroscopic examination suffices in most cases for a definite diagnosis.

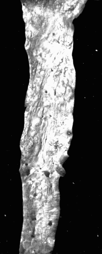
In the nodular form the lesions are found on the aorta and large branches particularly at or near the orifices of branching vessels. These nodules may increase in size, forming rather large, slightly raised plaques of yellowish-white color. They are, as a rule, irregularly scattered throughout the aorta and branches and tend to be more numerous and larger in the abdominal aorta. The initial lesion is in the media, consisting of an actual dissolution of this coat with rupture of the elastic fibers and infiltration with small round cells. There is thus a weak spot in the artery. Hypertrophy of the intimal cells takes place, layer upon layer being added in an attempt to strengthen the vessel at the injured place. Coincidently with this, there is thickening by a connective tissue growth in the adventitia. The process begins, at least in syphilis, around the terminals of the vasa vasorum. It will be recalled that the blood supply of the inner portion of the media comes[38] from within the vessel itself. As the intimal growth increases, the blood supply is cut off. The inevitable result is softening of the portion farthest from the lumen of the vessel. As a rule there has been a sufficient growth of connective tissue in the media and adventitia to repair the damage done to the media. This softening and dissolution gives rise to a granular debris composed of degenerated cells and fat. This is the so-called atheromatous abscess. There are no leucocytes as in ordinary pus. These "abscesses" are frequent and in rupturing leave open ulcers with smooth bases, the atheromatous ulcer. A further change which often takes place is calcification of the bases of the ulcers and calcification of the softened spots before rupture takes place. This only occurs in advanced cases. (See Fig. 3.)

Fig. 3.—Arteriosclerosis of the thoracic and abdominal aorta, showing irregular
nodules, atheromatous plaques, denudation of the intima, thin plates of bone scattered
throughout with spicules extending into the lumen of the vessel. Note the contraction
of the openings of the large branches, the rough appearance of the aorta and the greater
degree of sclerosis of the upper two-thirds, i. e., of the aorta above the diaphragm.
This aorta in the recent state was much thickened and almost inelastic. Fig. 3.—Arteriosclerosis of the thoracic and abdominal aorta, showing irregular nodules, atheromatous plaques, denudation of the intima, thin plates of bone scattered throughout with spicules extending into the lumen of the vessel. Note the contraction of the openings of the large branches, the rough appearance of the aorta and the greater degree of sclerosis of the upper two-thirds, i. e., of the aorta above the diaphragm. This aorta in the recent state was much thickened and almost inelastic.
Fig. 4.—Arteriosclerosis of the arch of the aorta. Numerous calcified plaques,
thickening and curling of the aortic valves, giving rise to insufficiency of the aortic
valves. The aortic ring is rigid and not much dilated. (Milwaukee County Hospital.) Fig. 4.—Arteriosclerosis of the arch of the aorta. Numerous calcified plaques, thickening and curling of the aortic valves, giving rise to insufficiency of the aortic valves. The aortic ring is rigid and not much dilated. (Milwaukee County Hospital.)
Fig. 5.—Normal aorta. Compare with Fig. 3. Note the perfectly smooth, glossy appearance
of the intima. The openings of all the intercostal arteries are distinctly seen.
In the recent state this artery was highly elastic, capable of much stretching both
transversely and longitudinally. Fig. 5.—Normal aorta. Compare with Fig. 3. Note the perfectly smooth, glossy appearance of the intima. The openings of all the intercostal arteries are distinctly seen. In the recent state this artery was highly elastic, capable of much stretching both transversely and longitudinally.

Rather contrary to what one would expect, there are no new capillaries advancing from the media to the intima in the nodular form of arteriosclerosis, consequently there is no granulation tissue to heal and leave scars. It must be borne in mind that these changes rarely, if ever, are the only ones found throughout the arterial system. Nevertheless, the manifold changes, as will be shown within, appear to be but stages of one primary process.

The character of the changes which are known as diffuse arteriosclerosis seems to have, at first sight, little in common with those of the nodular sclerosis. The aorta may or may not have plaques of nodular sclerosis, while the arteries, such as the radial or temporal, may be beaded or pipe stem in hardness. In spite of these far advanced peripheral lesions the aorta may appear smooth but it is markedly dilated, particularly the thoracic portion, it is noticeably thinned even on macroscopic examination, it has elongated as evidenced by its slight tortuosity, and it has lost the greater part of its elasticity. The abdominal aorta is not so extensively affected, although this, too, shows some elongation and slight thinning. This is considered by[39] some pathologists to be the uncomplicated form of the so-called senile arteriosclerosis. It is more of the nature of a degenerative change, it is true, but, as will be shown later, it has its beginnings, at times, in comparatively young persons[40] and its etiology is not simple. This type has been studied most carefully by Moenckeberg, who showed that on the large branches of the aorta there were depressions due to a degeneration of the middle coat. These depressions encircled the vessel to a greater or lesser extent, causing[41] small bulgings at such places and giving to the vessel a beaded appearance. On viewing such an artery held to the light, the sacculated spots are seen to be much thinner than the contiguous normal artery. Associated with such changes in the aorta and large branches is marked sclerosis of the smaller arteries. Intimal fibrosis is common, together with hypertrophy and fibrosis of the middle coat. Not infrequently periarterial thickening is also seen. Calcification[43] of the media is found and is said to be preceded by hypertrophy of the middle coat.

Pure cases of this, the so-called Moenckeberg type, are seen but seldom. Most commonly there are nodules and plaques in the aorta and large branches together with thinning and sacculation of other portions of the vessels' walls. While the two processes appear at a glance to be so different from each other, it is possible for them to have a common origin. The initial lesion is in the media but the resulting sclerotic changes depend upon the kind of vessel, the strength of the coats, the pressure in the vessel, and other causes.

Thus the sclerosis of the radials of such an extent that these arteries are easily palpable, appears to be a different process from that of the sclerosis in the aorta, yet fundamentally it is the same. The difference lies in the anatomic structure of the two vessels, and possibly also in the degree of stretching and strain to which the vessels are subjected at every heart beat. In the radial artery the media as usual is affected first. The muscle cells undergo degeneration and either marked thickening takes place or sacculation results, depending upon the severity of the exciting cause. Calcification of the media is common. This occasionally takes the form of rings encircling the vessel, and gives to the examining finger the sensation of feeling a string of fine beads. There may be calcification of the subintimal tissue without deposits of lime salts in the media, but this is more commonly found in the larger arteries. When the calcification occurs in plates through the media, the well known pipe stem vessel is produced. (Fig. 6.)

Fig. 6.—Radiogram of a man aged seventy-five, showing calcification of both radial and
ulnar arteries. Fig. 6.—Radiogram of a man aged seventy-five, showing calcification of both radial and ulnar arteries.

The senile sclerosis found in old people is usually a combination of the Moenckeberg type in the large and medium-sized arteries, and the nodular type in the aorta, leading eventually to calcareous intimal deposits, and widened, elongated, inelastic aorta.

[44]

Syphilitic Aortitis

Fig. 7.—Syphilitic aortitis of long standing. The aortic valves are curled and
thickened, the heart is enlarged and the cavity of the left ventricle is dilated. (Milwaukee
County Hospital.) Fig. 7.—Syphilitic aortitis of long standing. The aortic valves are curled and thickened, the heart is enlarged and the cavity of the left ventricle is dilated. (Milwaukee County Hospital.)

The seat of election of the syphilitic poison is in the aorta just above the aortic valves, Fig. 7, and in the ascending portion of the arch. There are semitranslucent, hyaline-like plaques which have a tendency to form into groups and,[45] instead of undergoing an atheromatous change as in the ordinary nodular form of arteriosclerosis, they are prone to scar formation with puckering, so that macroscopically the nature of the process may, as a rule, be readily diagnosed. Microscopically the process is found to be a subacute inflammation of the media, which has been called a mesaortitis. There is marked small celled infiltration around some of the branches of the vasa vasorum and there appears to be actual absorption of the tissue elements of the middle coat. This is accompanied by hypertrophy of the intimal tissue. There follows degeneration in the deeper portions of this new tissue and new capillaries are formed which have their origin in the inflammatory area in the media. As is everywhere the case throughout the body, granulation tissue in the process of healing contracts and forms scars. This explains the scar formation in the aorta. When the process is more acute, instead of there being a reparative attempt on the part of the intima, there is actual stretching of the wall at the weakened spot and there results an aneurysmal dilatation. Spirochetę pallidę have been found in the degenerated media and in small gummata which were situated beneath the intima. Within the past years it has been found that a large percentage of patients with cardiovascular disease give the Wassermann reaction. In cases of aortic insufficiency, the reaction is present in almost every case. This is in marked contrast to the cases of diffuse endocarditis where the reaction is rarely present.

According to Adami the effects of syphilis upon the aorta are the following: (1) the primary disturbance is a granulomatous, inflammatory degeneration of the media; (2) this leads to a local giving way of the aorta; (3) if this be moderate it results in a strain hypertrophy of the intima and of the adventitia, with the development of a nodose intimal sclerosis; (4) if it be extreme, there results, on the contrary, an overstrain atrophy of the intima and aneurysm formation; (5) the intimal nodosities are here not of an[46] inflammatory type and are nonvascular, although, with the progressive laying down of layer upon layer of connective tissue on the more intimal aspect of the intima, the earlier and deeper-placed layers of new tissue gain less and less nourishment, and so are liable to exhibit fatty degeneration and necrosis; (6) these products of necrosis exert a chemotactic influence upon the nearby vessels of the medial granulation tissue, with, as a result, (a) a secondary and late entrance of new vessels into the early and deeply-placed atheromatous area, (b) absorption of the necrotic products, (c) replacement by granulation tissue, (d) contraction of the granulation tissue, and (e) depression and scarring of the sclerotic nodules so characteristic of syphilitic sclerosis.

In the smaller arteries and arterioles the arteriosclerotic process appears on superficial examination to be a different process from that in the aorta and large arteries, but the difference is only apparent. It will be recalled that there is relatively much more muscle tissue in the arterioles than in the large arteries. The size, of course, is much less. Large nodular plaques are not possible. The atheromatous degeneration is not marked. In the smaller muscular arteries is seen the intimal proliferation, the stretching of the Moenckeberg type, and the calcification of the media rather than the intima. The media is thinned beneath the marked intimal proliferation so that the artery exhibits translucent areas when held to the light. Again, there is seen degeneration of the muscle and replacement by connective tissue with or without hypertrophy of the intima. In the arterioles three kinds of changes occur: a muscular hypertrophy; a fibrosis of all the coats; or a marked proliferation of the intimal endothelium. The last two are probably the same process, the connective tissue having its origin in the proliferated endothelial cells. Such a deposition of layer upon layer of cells in an arteriole and the resulting fibrosis leads to the condition of disappearance of the lumen of the vessel, endarteritis obliterans. This obliterating[47] endarteritis is not, of course, due alone to syphilis. Syphilis is only a type of poison which produces such changes as have been described above. It is in the organs such as the kidney, liver, spleen, and intestines that one sees the most perfect examples of this obliterating endarteritis. Endarteritis deformans is a term applied to the condition of the arteries as a result of irregular thickenings and deposits of lime salts in the walls. These changes give rise to marked tortuosity of the vessels.

Occasionally such an obliterating process takes place in a larger artery. A thrombus forms and by a process of central softening, new channels permeate the thrombus, thus restoring to some extent the function of the vessel.

That the same process leads at one time to thinning and at another time to thickening of the arterial walls has been noted above. Prof. Adami holds that the regular development of layer upon layer of new connective tissue is non-inflammatory. He calls it a "strain hypertrophy." It is analogous to the localized hypertrophy of bone where the muscle tendons are attached, as is so frequently seen in athletes. The increased tension on connective tissue, provided that it is not overstrained, leads to its overgrowth, but only when there is sufficient nourishment. Such conditions are adequately fulfilled in the arteries. When a local giving way under pressure occurs in the media, the intima is put on the stretch (see Fig. 8), and there results a hypertrophy of the intima until the volume of the new tissue and the resistance which this affords to the mean distending force, balances the loss sustained by the weakened media. When the balance is struck, the hypertrophy is arrested. The youngest tissue is thus found directly beneath the endothelium. Now should this local weakening of the media have an acute origin, instead of a stimulus to growth there is overstrain, and there is, in consequence, not hypertrophy but atrophy. The beginning process is here a mesaortitis, but the acuteness of the poison, and the pressure[48] from within the artery so stretches the artery that there is no compensatory hypertrophy, but a thinning, and the ground is prepared for aneurysmal dilatation or pouching.

Fig. 8.—I, media weakened at M' with overgrowth of intima filling in the depression.
II, with postmortem rigor and contraction of the muscles of the media and removal
of the blood pressure from within, the stretched media at M'' contracts; the intimal
thickening thus projects into the arterial lumen. (After Adami.) Fig. 8.—I, media weakened at M' with overgrowth of intima filling in the depression. II, with postmortem rigor and contraction of the muscles of the media and removal of the blood pressure from within, the stretched media at M'' contracts; the intimal thickening thus projects into the arterial lumen. (After Adami.)

Again, one not infrequently encounters intimal nodosities when the underlying media appears of normal thickness. The explanation of this apparent exception is that the media in the living aorta is actually thinned, but the layers of subintimal tissue deposited over the weak spot due to strain hypertrophy become bulged inward when the pressure is relieved, as at postmortem. The media has not lost all of its elasticity (see Fig. 9), hence it contracts and there is the appearance of a nodule on the intima beneath which is a media equal in thickness to that of the healthy surrounding media.

Fig. 9.—Schematic representation of the increased strain brought to bear upon the
cells of the intima, Int., when the media, Med., undergoes a localized expansion through
relative weakness. (After Adami.) Fig. 9.—Schematic representation of the increased strain brought to bear upon the cells of the intima, Int., when the media, Med., undergoes a localized expansion through relative weakness. (After Adami.)

The essential lesion in arteriosclerosis of the aorta and large arteries is a degeneration in the middle coat. This may be brought about by a variety of poisons circulating in the body. In syphilis, for example, the initial lesion has[49] been shown to be a mesaortitis. The media seems to be dissolved, the artery is consequently thinned, there is actual depression along the level of the vessel. The elastic fibers disappear and small-celled infiltration takes its place. The intima hypertrophies, layer upon layer being added in an attempt to restore the strength of the vessel. There is also, as a rule, rather pronounced hypertrophy of the adventitia.

[50]

Experimental Arteriosclerosis

Within the past few years many workers have attempted by various means, to produce arterial lesions in animals, chiefly rabbits and dogs. The present status is somewhat chaotic, some affirming and some denying that arterial changes follow the various methods employed. Following the injection of small, repeated doses of adrenalin over a certain period of time, changes occur in the arteries of rabbits which are arteriosclerotic in type, the essential lesion being a degeneration of the muscular and elastic tissue of the media with the consequent production of aneurysm in the vessel. This is said by some to be quite like the type of arteriosclerosis in man which has been so well described by Moenckeberg. The degenerations in the arteries following the experimental lesions are of the nature of a fatty metamorphosis, and later proceed to calcification. Barium chloride, digitalin, physostigmin, nicotin and other substances, as well as adrenalin, have been found to exert a selective toxic action on the muscle cells of the middle coat of the aorta. The infundibular portion of the pituitary body, the portion which is developed from the infundibulum of the brain, possesses an internal secretion, which, injected intravenously, causes a marked rise of blood pressure and slowing of the heart beat. So far as I know, this active principle of the gland has not been used in an attempt to produce experimentally the lesions of arteriosclerosis.

Wacker and Hueck succeeded in producing aortic disease in rabbits which they considered to be in many points quite like human arteriosclerosis. They injected the rabbits intravenously with cholesterin. They feel that this is of great importance in view of the fact that exercise (muscle metabolism) dyspnea, certain poisons, as well as adrenalin, and even adrenal extirpation occasion a high cholesterin content of the blood. Anitschow's experiments are confirmatory. He fed rabbits on large amounts of cholesterin-containing substances[51] (yolk of egg, brain tissue) and pure cholesterin and found changes in the intima and inner portion of the media consisting of fatty infiltration between the muscle and elastic fibres, advent of small round cells and large phagocytic cells containing fat droplets of cholesterin esters. The elastic fibres were dissolved, broken up into fibrillę and these seemed to be absorbed. The internal elastic lamina as such disappeared and the inner layer of the aorta fused with the middle coat. He considers these changes to be quite analogous to those found in human aortas.

Oswald Loeb produced changes in the arteries of rabbits by feeding them sodium lactate (lactic acid). His controls fed on other acids became cachectic, but showed no arterial changes. He further found that in 100 gm. of human blood there was normally from 15 to 30 mg. of lactic acid. After heavy work, he found as much as 150 gm. He considers that after adrenalin or nicotin injections, the function of the liver is so disturbed that lactic acid is not bound. The arteriosclerosis is actually due to the presence of free lactic acid in the circulation. He succeeded, also, in producing lesions of the intima in a dog fed for a long time on protein poor diet, plus lactic acid and sodium lactate.

Another investigator, Steinbiss, fed rabbits on animal proteins only, a diet totally foreign to their natural habits. He succeeded, however, in keeping some alive for three months. He also tried various substances and in the general conclusions says that no aortic changes could be produced in animals kept in natural living conditions by any mechanical means, increase of blood pressure, digital compression, hanging by hind legs, etc. In infectious diseases, especially septic, widespread sclerotic changes occurred in the aorta. A most suggestive conclusion in this "the most important result of feeding rabbits with animal proteins is, along with a constant glycosuria, disease of the aorta and peripheral arteries which is identical with changes in the aorta produced[52] by injections of adrenalin. The degree of disease of the circulatory system increases with the duration of the experiment."

By a small addition of vegetable to the protein diet, the lives of the animals were prolonged at will. With this modification of the experiment, the findings in the vessel walls were noticeably altered. The changes affected chiefly the intima, to less degree the media, and histologically were very much like human intimal disease.

I have been unable to produce the slightest arterial lesions in rabbits by intravenous injections of lead. Frothingham had no success feeding animals with lead. In a study of autopsy material from persons up to 40 years, who died of infectious disease, he found changes in the arteries of those who had succumbed to infection with the pus cocci or to very severe infectious disease. These changes were, however, localized, and were not like those of the general diffuse arteriosclerosis.

Adler has recently reported experiments on dogs, to which he fed or injected intravenously various substances supposed to induce arteriosclerotic changes. He was unable to find any arterial lesions comparable to human arteriosclerosis.

The difficulty experienced by experimenters is not surprising when the character of the changes is considered. Arteriosclerosis is not an acute process. In its very nature, it is of months' or years' standing, the specific changes are of slow growth, and more in the nature of degeneration. It would seem that a very careful study of the histories of those with arteriosclerosis and a final examination upon the actual tissue might eventually give us data for the etiology.

The most frequent site of disease in these experimental lesions is the thoracic aorta, and it is there also that the most severe changes are seen. While the toxic action is felt in the vessels all over the body, the lesions are, as a rule, scattered and small. The thoracic aorta stands the brunt[53] of the high pressure, and this combined with the poisonous action of the drug or drugs, results in the formation of a fusiform aneurysmal dilatation which stops at the diaphragmatic opening. The aortic opening in the diaphragm seems to act as a flood gate, allowing only a certain amount of blood to flow through, and thus the abdominal aorta is protected to a great extent from the deleterious effects of increased pressure. Focal degenerative lesions are, however, found in the abdominal aorta.

Changes somewhat analogous to those found in the human aorta as the result of intimal proliferations, are produced in animals by the toxins of the typhoid bacillus and the Streptococcus pyogenes. Clinically, Thayer and Brush have found that the arteries of those who have recovered from an attack of typhoid fever are more palpable than the arteries of average individuals of equal age who have never had the disease.

Experimentally, the changes caused by the toxins above noted are proliferations of cells in the intima and subintimal tissues, and a breaking up of the internal elastic laminę into several parallel layers which stretch themselves among the proliferating cells. The diphtheria toxin, on the contrary, produces a lesion more like that caused by adrenalin. All pathologists are not agreed as to whether the experimental lesions produced by blood pressure raising drugs are similar to the arteriosclerotic changes in the arteries of man.

Some of the work on rabbits has been discredited for the reason that arteriosclerosis appears spontaneously in about fifteen per cent of all laboratory rabbits. Furthermore, comparatively young rabbits have been found with arteriosclerosis. O. Loeb, however, denies this. He has examined in the course of eight years 483 healthy rabbits and never found arterial changes. The spontaneous lesions can not be distinguished histologically from those due to adrenalin.[54] They differ macroscopically in that the lesion is usually limited to a few foci near the origin of the aorta.

Lesions produced by the drugs enumerated above represent one type of experimental arteriosclerosis. More interesting and important are the experiments which seem to show that high tension alone is capable of producing lesions in arteries which in all respects correspond to Adami's strain hypertrophy and overstrain theory. It has been shown that when a portion of vein is placed under conditions of high arterial pressure, as in a transplantation of a portion of vein into a carotid artery, the vein undergoes marked connective tissue hypertrophy which includes all the coats. This is evidently strain hypertrophy. Again, it has been demonstrated that by suspending a previously healthy rabbit by the hind legs for three minutes daily over a period of three to four months, there results hypertrophy of the heart with thinning and dilatation of the arch and the upper part of the thoracic aorta. No change was found in the abdominal aorta. The carotids, however, were larger than normal and they showed typical intimal sclerosis with connective tissue thickening.

Neither I nor others have been able to confirm this experiment, so it is very doubtful whether mechanical pressure alone can produce true arteriosclerosis. Some evidence is adduced to bear on this point, however, in the fact that sclerosis of the pulmonary artery follows often upon mitral stenosis. Yet we do not know but that factors other than pressure alone produce the arteriosclerotic change in such cases, so we are forced back on our conclusion expressed above; viz., that experiments on animals fail to sustain the purely mechanical origin of arteriosclerosis.

The changes in the intima constitute the effort on the part of nature to repair a defect in the vessel wall which is to compensate for the weakened media and the widened lumen. This applies only to true arteriosclerosis, not to[55] the condition produced experimentally by the toxin of the typhoid bacillus, for example.

When an artery loses its elasticity and begins to have connective tissue deposited in its walls, the pressure of the blood stretches the vessel which is now no longer capable of retracting when the pulse wave has passed, and, in consequence, the artery is actually lengthened. This necessarily causes a tortuosity of the vessel which can be easily seen in such arteries as the temporals, brachials, radials, and other arteries near the surface of the skin.

The exact mechanism of increase of blood pressure is not satisfactorily explained. The smaller arteries all over the body are supplied with vasoconstrictor and vasodilator nerve fibers from the sympathetic nervous system. Normally when an organ is actively functionating the vessels are widely dilated and the flow of blood is rapid. Among the many factors which influence blood pressure and blood supply must be reckoned the psychic.

We know that normally there is a certain resistance offered to the propulsion of blood through the arteries by the contraction of the heart. This tonus is essential to the maintenance of an equalized circulation. The muscular arterioles throughout the body by their tonus serve to keep up the normal blood pressure and to distribute the blood evenly to the various organs. Contraction of a large area of arterioles increases the blood pressure and, strangely enough, the arteries respond to increased arterial pressure, not by dilatation, but by contraction. It would appear that rise of blood pressure tends to throw increased work upon the musculature of the arterioles. This may be sufficient only to cause them to hypertrophy, but further strain may easily lead to exhaustion and to dilatation. "As a result strain hypertrophy of the intima shows itself with thickening, and it may also be of the adventitia, resulting in chronic periarteritis. And now with continued degeneration of the medial muscle in those muscular arteries, fibrosis of the[56] media may also show itself. I would thus regard muscular hypertrophy of the arteries and fibrosis of the different coats as different stages in one and the same process. Whether these peripheral changes are the more marked, or the central, depends upon the relative resisting power of the elastic and muscular arteries of the individual respectively." (Adami.)

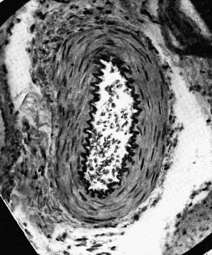
Fig. 10.—Cross-section of a small artery in the mesentery. Note that the vessel appears
capable of being much widened. The internal elastic lamina is thrown into folds
somewhat resembling the convolutions of the brain. Note also that the middle coat
of the artery is composed almost entirely of muscle. The enormous number of such
vessels in the mesentery and intestines explains the ability of the splanchnic area to
accommodate the greater part of the blood in the body. Universal constriction of these
vessels would naturally render the intestines anemic. The vasomotor control of these
vessels plays an important rōle in the distribution of the blood. Small arteries in the
skin and in other organs, possibly the brain, have a similar function. (Microphotograph,
highly magnified".) Fig. 10.—Cross-section of a small artery in the mesentery. Note that the vessel appears capable of being much widened. The internal elastic lamina is thrown into folds somewhat resembling the convolutions of the brain. Note also that the middle coat of the artery is composed almost entirely of muscle. The enormous number of such vessels in the mesentery and intestines explains the ability of the splanchnic area to accommodate the greater part of the blood in the body. Universal constriction of these vessels would naturally render the intestines anemic. The vasomotor control of these vessels plays an important rōle in the distribution of the blood. Small arteries in the skin and in other organs, possibly the brain, have a similar function. (Microphotograph, highly magnified.)

It is conceivable that in one section of the body the vessels[57] may be markedly contracted, but if there is dilatation in some other part there will be no increased work on the part of the heart, and theoretically, there should be no rise of blood pressure. The vascular system, however, while likened to a system of rubber tubes, must be regarded as a very live system, every subsystem having the property of separate control.

For blood tension to be raised all over the body, conditions must favor the generalized contraction of a large area of arterioles. Some authors consider that the so-called viscosity of the blood also is a factor in the causation of increased tension. The usual cause for the high tension is probably the presence in the blood of some poisonous substance.

It is held by some authors that the great splanchnic area is capable of holding all the blood in the body and in respect of its liability to arteriosclerosis, it is second only to the aorta and coronary arteries. The enormous area of the skin vessels could probably contain most of the blood. The tone of the vasoconstrictor center controls the distribution of blood throughout the body. The fact that the vessels in the splanchnic area are frequently attacked by sclerotic changes means, as a rule, increase of work for the heart.[1] The resistance offered to the passage of the blood must be great and signifies that, for blood to travel at the same rate that it did before the resistance set in, more power must be expended in its propulsion. In other words, the heart must gradually become accustomed to the changed conditions, and, as a result of increased work, the muscle hypertrophies. (See Fig. 11.)

Fig. 11.—Enormous hypertrophy of left ventricle probably due to prolonged increased
peripheral resistance. Note that the whole anterior surface of the heart is occupied
by the left ventricle. The right ventricle does not appear to be much affected.
× ⅔. Fig. 11.—Enormous hypertrophy of left ventricle probably due to prolonged increased peripheral resistance. Note that the whole anterior surface of the heart is occupied by the left ventricle. The right ventricle does not appear to be much affected. × ⅔.

In diffuse arteriosclerosis accompanied by chronic nephritis the heart is always hypertrophied. This is a result, not[58] a cause of the condition. In the pure type, there is hypertrophy only of the left ventricle without dilatation of the chamber. The muscle fibers are increased in number and in size, and there are frequently areas of fibrous myocarditis due to necrosis caused by insufficient nutrition of parts of the muscle. In these cases the coronary arteries share in the generalized arteriosclerotic process. The openings of the arteries behind the semilunar valves may be very small. There is often thickening and puckering of the aortic valves and of the anterior leaflet of the mitral valve leading, at times, to actual insufficiency of the orifice. Later, when the heart begins to weaken, there is dilatation of the chambers and loud murmurs result, caused by the inability of the nondistensible valves to close the dilated orifices. Until the compensation is established, it is impossible to say whether or not true insufficiency is present.

[59]In senile arteriosclerosis there is the physiologic atrophy of the media to be reckoned with. This change has already been referred to. When such degeneration has taken place, the normal blood pressure may be sufficient to cause stretching of the already weakened media with or without hypertrophy of the intima. The arteries may be so lined with deposits of calcareous matter that they appear as pipe stems. More frequently there are rings of calcified material placed closely together or irregular beading, giving to the palpating finger the impression of feeling a string of very fine beads. The arteries are often tortuous, hard, and are absolutely nondistensible. At times no pulse wave can be felt.

The larger arteries such as the brachials and femorals are most affected. The walls become thinned and show cracks, and areas apparently, but not actually denuded of intima. Yellowish-white, irregular, raised plaques are scattered here and there. Interspersed among these areas are irregularly shaped clean-cut ulcers having as a rule a smooth base, and frequently on the base is a thin plate of calcified matter. The color of these denuded areas is usually brownish red or reddish brown. White thrombi may be deposited on these areas. The danger of an embolus plugging one of the smaller arteries is great and probably happens more often than we think. The collateral circulation is able to supply the thrombosed area. Should the thrombus be on the carotid arteries, hemiplegia may result from cerebral embolism. On microscopic examination of the arteries there is seen extreme degeneration of all the coats, the degeneration of the media leading almost to an obliteration of that coat. On seeing such arteries as these one wonders how the circulation could have been maintained and the organs nourished. Senile atrophy of the internal organs naturally goes hand in hand with such arterial changes.

There is, as a rule, no increase in arterial tension; on the[60] contrary, the pressure is apt to be low. This is readily understood when the heart is seen. This organ is small, the muscle is much thinned, it is flabby and of a brownish tint, the so-called "brown atrophy." Microscopically, there is seen to be much fragmentation of the fibers with a marked increase of the brown pigment granules which surround the cell nuclei. Cases are seen, however, in which blood pressure increases as the patient grows older. The hearts in such cases are more or less hypertrophied and show extensive areas of fibroid myocarditis.

From what has been said, it follows that hypertension alone may be the cause of arteriosclerosis; that certain poisons in the blood which attack the media and cause it to degenerate and weaken cause arteriosclerosis without increased blood pressure; that the normal blood pressure may be, for the artery which is physiologically weakened in an individual over fifty, really hypertension, and arteriosclerosis may result. Our observations lead us to believe that the process is at bottom one and the same. The different types noted clinically depend upon the nature of the etiologic factors and the kind of arterial tissue with which the individual is endowed. This view at least brings some order out of previous chaos, and corresponds well with our present knowledge of the disease.

There are many cases of arteriosclerosis which lead to definite interference with the closure of the valves of the heart, particularly the aortic and the mitral. It has been said that puckerings of the valves frequently occur (Fig. 12). This arteriosclerotic endocarditis at times leads to very definite heart lesions, chiefly aortic or mitral insufficiency, or both with, at times, murmurs of a stenotic character at the base. There is rarely true aortic stenosis, however. The murmur is caused by the passage of the blood over the roughened valves and into the dilated aorta. Aortic stenosis is one of the rarest of the valvular lesions affecting the valves of the left heart, and should be diagnosed[61] only when all factors, including the typical pulse tracings, are taken into consideration.

Fig. 12.—Aortic incompetence with hypertrophy and dilatation of left ventricle, the
result of arteriosclerosis affecting the aortic valves. Note how the valves have been curled,
thickened, and shortened, the edges of valves being a half inch below the upper points
of attachment. The anterior coronary artery is shown, the lumen narrowed. (Reduced
one-half.) Fig. 12.—Aortic incompetence with hypertrophy and dilatation of left ventricle, the result of arteriosclerosis affecting the aortic valves. Note how the valves have been curled, thickened, and shortened, the edges of valves being a half inch below the upper points of attachment. The anterior coronary artery is shown, the lumen narrowed. (Reduced one-half.)

The kidneys, as a rule, show extensive sclerosis. They are small, firm, and contracted and not always to be differentiated from the contracted kidneys of chronic inflammation. The lesions of the arteriosclerotic kidney are due to narrowing and eventual obstruction of the afferent vessels. The organs are usually bright red or grayish red in color. At times there is marked fatty degeneration of cortex and medulla, giving to them a yellowish streaking. The capsule is here and there adherent, the cortex is much thinned and irregular. The surface presents a roughly[62] granular appearance. The glomeruli stand out as whitish dots and the sclerosed arteries are easily recognized, as their walls are much thickened. The process does not, as a rule, affect the whole kidney equally, but rather affects those portions corresponding to the interlobular arteries. The replacement of the normal kidney tissue by connective tissue and the resulting contraction of this latter tissue leads to the formation of scars. As the process is not regular, the scarring is deeper in some places than in others, with the result that localized rather sharply depressed areas appear on the surface. The pelvis is relatively large and is filled with fat. The renal artery is often markedly sclerosed and the whole process may be due to localized thickening of the artery, or as part of a general arteriosclerosis. The latter is the more frequent. Microscopically, it is seen that the tubules are atrophied, the Bowman's capsules are, as a rule, thickened, and the glomeruli are shrunken or have been replaced by fibrous tissue. In places they have fallen out of the section. There is marked proliferation of connective tissue in cortex and medulla. The arterioles are thickened, the sclerosis being either of the intima or media or of both. There is even occlusion of many arterioles.

Changes in other organs as the result of arteriosclerosis of their afferent vessels occur, but are not so characteristic as in the kidney. In the brain the result of gradual thickening of the arterioles is a diminished blood supply, softening of the portion supplied by the artery, and later a connective tissue deposit. The occurrence of thrombi is favored and, now and again, a thrombus plugs an artery which supplies an important and even vital part of the brain. The arteries of the brain are end arteries, hence there is no chance for collateral circulation. It is therefore evident how serious a result may follow the disturbance in or actual deprivation of blood supply to any of the brain centers or to the internal capsule.

[63]

Arteriosclerosis of the Pulmonary Arteries

There have been a number of cases of sclerosis of the pulmonary arteries, either alone, or associated with general systemic arteriosclerosis.

A primary and a secondary form are recognized, the former in conjunction with congenital malformations of the heart, the latter as the result of severe infection or of mitral stenosis. These two causes seem to be the most important in the production of the arterial changes. The cases thus far described have revealed widespread thickening of the pulmonary arteries. If one may judge by the description of the pathologic changes, the condition is quite similar to that produced in a vein by transplantation along the course of an artery. The diffuse form with connective tissue thickening of all coats has been generally described. There is also obliterating endarteritis of the smaller vessels. In the etiology of the condition severe infection seems to play a prominent rōle. The constant presence of right ventricular hypertrophy is interesting, the heart dullness extends, as a rule, far to the right of the sternum. In some of the cases no demonstrable changes were observed in the bronchial arteries or in the pulmonary veins.

Sanders has described a case of primary pulmonary arteriosclerosis with hypertrophy of the right ventricle.

Recently Warthin[2] has reported a case of syphilitic sclerosis of the pulmonary artery which places the lesion in exactly the same category as that of syphilis in the systemic arteries. There was also aneurysm of the left upper division present and, to settle the etiologic nature of the process, Spirochete pallida were found in the wall of the aneurysm sac and in that of the pulmonary artery. The microscopic picture in the pulmonary artery could not be told from that in a syphilitic aorta.

[64]

Sclerosis of the Veins

Phlebosclerosis not infrequently occurs with arteriosclerosis. It is seen in those cases characterized by high blood pressure. Such increased pressure in the veins is due, for example, to cirrhosis of the liver which affects the portal circulation, or to mitral stenosis which affects the pulmonary veins. The affected vessels are usually dilated. The intima shows compensatory thickening especially where the media is thinned. As a rule all the coats are involved in the connective tissue thickening. Occasionally hyaline degeneration or calcification of the new-formed tissue is seen. "Without existing arteriosclerosis the peripheral veins may be sclerotic usually in conditions of debility, but not infrequently in young persons." (Osler.)

In many cases of arteriosclerosis, the pathologic changes are not confined to the arteries, but are found in the veins as well as in the capillaries. Such cases could be called angiosclerosis.


[65]

CHAPTER III.

PHYSIOLOGY OF THE CIRCULATION

No attempt will be made to cover the entire subject of the physiology of the circulation. Only in so far as it relates to arteriosclerosis and blood pressure and has a bearing on the probable explanation of blood pressure phenomena will it be discussed.

"The heart and the blood vessels form a closed vascular system, containing a certain amount of blood. This blood is kept in endless circulation mainly by the force of the muscular contractions of the heart; but the bed through which it flows varies greatly in width at different parts of the circuit, and the resistance offered to the moving blood is very much greater in the capillaries than in the large vessels. It follows, from the irregularities in size of the channels through which it flows, that the blood stream is not uniform in character throughout the entire circuit—indeed, just the opposite is true. From point to point in the branching system of vessels the blood varies in regard to its velocity, its head of pressure, etc. These variations are connected in part with the fixed structure of the system and in part are dependent upon the changing properties of the living matter of which the system is composed." (W. H. Howell.)

If the vascular system were composed of a central pump, projecting at every stroke a given amount of liquid into a series of rigid tubes, the aggregate cross sections of which were equal to the cross section of the main pipe, then the velocity at the openings would be the same as at the source (making allowances for friction). The problem would then be a simple one. In the circulation of the blood no such simple condition obtains. The capillary beds is an enormous[66] area through which the blood flows slowly. From the time the blood is thrown into the aorta the velocity begins to diminish until it reaches its minimum in the capillaries. In no two persons is the initial velocity at the heart the same, nor in the same person is it the same at all times of day. The size of the heart, the actual strength of the muscle, the amount of blood ejected at every beat, and the size and elasticity of the aorta are some of the factors which determine the velocity of blood at the aortic orifice. When to these factors are added the differences in arterial tissue, the activity or resting stage of the various organs, etc., the question becomes exceedingly complicated. In spite of these many disturbing elements, attempts more or less successful have been made to estimate the velocity of the blood in animals. Thus, in the carotid of the horse the velocity was found to be 300 mm. per second (Volkman) and 297 mm. (Chauveau); in the carotid of the dog, 260 mm. (Vierordt). In the jugular vein of the dog Vierordt found the velocity to be 225 mm. per second. These figures do not represent the actual velocity of the blood in all horses or all dogs, but they do give us some general idea of the rate of flow of the blood. For man it has been calculated that the velocity in the aorta is about 320 mm. per second. The velocity is not uniform in the large arteries, where at every heart beat there is a sudden increase followed by a decrease as the heart goes into diastole. The farther away from the heart the measurements are made the more even is the flow.

Observations by W. H. Luedde with the Zeiss binocular corneal microscope on the rate of flow in the conjunctival capillaries must modify somewhat our former conceptions. He finds that "The rate varies in the different arteries, capillaries, and veins from a barely perceptible motion to a little more than 1 mm. per second. Further, some parts of the capillary network are ordinarily supplied with blood elements only occasionally. This is shown by the passage[67] of a column of corpuscles along a certain line, followed after an interval of seconds, during which no corpuscles pass, by another column in the same line as before."

The vessels of the conjunctiva probably are quite like superficial vessels in the skin and mucous membranes. Therefore, we must be free to admit that the circulation in them is not absolutely steady. Luedde found further that in syphilitics there were tortuosities, irregularities, minute aneurysmal dilatations and even obliterations of capillaries. Some of the changes occurred as early as one month after infection.

The rate in the capillaries of man is estimated to be between 0.5 mm. and 0.9 mm. per second. As the blood is collected into the veins and the bed becomes smaller, the velocity increases until at the heart it is almost the same as in the aorta. That the velocity could not be exactly the same is evident from the fact that the cross section of the veins, which return the blood to the right auricle, is greater than is the cross section of the aorta.

The volume of the bed is subject to rapid and wide fluctuations, which are dependent on many causes, both physiologic and pathologic. The call of an actively functionating organ or group of organs causes a widening of a more or less extensive area, and the velocity necessarily varies. In states of great relaxation of the vessels there may be a capillary pulse. In order to force blood at the same rate through dilated vessels as through normal vessels, there must be more blood or there must be a more rapid contraction of the central pump. What actually happens, as a rule, is an increase in the rate of the heart beat. There are conditions—such, for example, as aortic insufficiency—where actually more blood is thrown into the circulation at every beat, so that the rate is not changed.

It has been calculated that the average amount of blood thrown into the aorta at every systole of the heart is from[68] 50 to 100 c.c. This is forcibly ejected into a vessel already filled (apparently) with blood. In order to accommodate this sudden accession of fluid, the aorta must expand. The aortic valves close, and during diastole the blood is forced through the vascular system by the forcible, steady contraction of the highly elastic aorta. Other large vessels which branch from the aorta also have a part in this steady propulsion of blood. From seventy to eighty times a minute the aorta is normally forcibly expanded to accommodate the charge of the ventricle. It is not difficult to understand the great frequency of patches of sclerosis in the arch when these facts are borne in mind.

What relationship the viscosity of the blood has to the rate and volume of flow is not fully understood. As yet there is not much known about the subject, and no one has devised a satisfactory means of measuring the viscosity. It is thought by some that an increased viscosity assists in producing an increased amount of work for the heart.

Blood Pressure

Blood pressure is the expression used for a series of phenomena resulting from the action of the heart. As every heart beat is actual work done by the heart in overcoming resistance to the outflow of blood, this force is approximately measurable in a large artery such as the brachial. It has been determined that the pressure in the brachial artery is almost equal to the intraventricular pressure in the left ventricle. In animals it is easy to attach manometers to the carotid artery and to measure the blood pressure accurately. Formerly the method consisted in attaching a tube and allowing the blood to rise in the tube. The height to which the blood rose measured the maximum pressure. This is a crude method and has been replaced by the U-tube of mercury with connection made to the artery by saline or Ringer's solution. This apparatus is familiar to all physiologists.

[69]In man the measurement is most conveniently made from the brachial artery. There is some difference in the pressure in the femoral and the brachial and some use both arteries. However, the difficulty of adjusting instruments to the upper leg, the great force which must be used to compress the femoral artery and the relative inaccessibility of the leg as compared to the arm, make the leg an inconvenient part for use in blood pressure determinations. It is not to be recommended.

Blood pressure is a valuable aid in diagnosis and of material help in many cases in prognosis, but it is not infallible neither can it be used alone to diagnose a case. Blood pressure is only one of many links in a chain of evidence leading to diagnosis. It has been badly used and much abused. It has been condemned unjustly when it did not furnish all the evidence. It has been made a fetish and worshipped by both doctors and patients. A sane conception of blood pressure must be widely disseminated lest we find it being discarded altogether.

Blood pressure consists of more than the estimation of the systolic pressure. The blood pressure picture consists of (1) the systolic pressure, (2) the diastolic pressure, (3) the pulse pressure which is the difference between the systolic and diastolic pressure, (4) the pulse rate. Expressed in the literature it should read thus: 120-80-40; 72. That tells the whole story in a brief, accurate form. This is recommended in history reporting. It must be ever kept in mind that a blood pressure reading represents the work of the heart at the moment when it was taken. Within a few minutes the pressure may vary up or down. There is no normal pressure as such, but an average pressure for any group of people of the same age living under similar conditions. The habit of speaking of any systolic figure as normal should be broken. A pressure picture may be normal but a systolic reading, whatever it may be, is not accurately designated as normal. This distinction is worth insisting upon.

[70]

Blood Pressure Instruments

There are several instruments which are in common use for the purpose of recording blood pressure in man.

Historically, the determination of blood pressure for man began with the attempt of K. Vierordt in 1855 to measure the blood pressure by placing weights on the radial pulse until this was obliterated. The first useful instrument, however, was devised by Marcy in 1876. He placed the hand in a closed vessel containing water connected by tubing with a bottle for raising the pressure and by another tube with a tambour and lever for recording the size of the pulse waves. He maintained that when pressure on the hand was made, the point where oscillations of the lever ceased was the maximal pressure, the point where the oscillations of the recording lever was largest, was the minimal pressure.

This pioneer work was practically forgotten for twenty-five years. It was not until 1887 that V. Basch devised an instrument which was used to some extent. This instrument recorded only maximum pressure. It consisted of a small rubber bulb filled with water communicating with a mercury manometer. The bulb was pressed on the radial artery until the pulse below it was obliterated and the pressure then read off on the column of mercury. V. Basch later substituted a spring manometer for the mercury column. Potain modified the apparatus by using air in the bulb with an aneroid barometer for recording the pressure. These instruments are necessarily grossly inaccurate. Moreover, they do not record the diastolic pressure.

In 1896 and 1897 further attempts were made to record blood pressure by the introduction of a flat rubber bag encased in some nonyielding material, which was placed around the upper arm. Riva-Rocci used silk, while Hill and Barnard used leather. The latter used a bulb or Davidson syringe to force air into the cuff around the arm[71] and palpated the radial artery at the wrist, noting the point of return of the pulse after compression of the upper arm, and reading the pressure on a column of mercury in a tube.

Except that the width of the cuff has been increased from 5 cm. to 12 cm., this is the general principle upon which all the blood pressure instruments now in use are based. Most of the apparatuses make use of a column of mercury in a U-tube to record the millimeters of pressure. As the mercury is depressed in one arm to the same extent as it is raised in the other arm the scale where readings are made is .5 cm. and the divisions represent 2 mm. of mercury but are actually 1 mm. apart.

The cuff was made 12 cm. in diameter because it was shown (v. Recklinghausen) that with narrow cuffs much pressure was dissipated in squeezing the tissues. Janeway has shown that with the use of the 12 cm. cuff accurate values are obtained independently of the amount of muscle and fat around the brachial artery. In other words if an actual systolic blood pressure of 140 mm. is present in two individuals, the one with a thin arm, the other with a thick arm, the instrument will record these pressures the same where a 12 cm. arm band is used. We need have no fear of obtaining too high a reading when we are taking pressure in a stout or very muscular individual. Janeway also was the first to call attention to the fact that the diastolic or minimal pressure was at the point where the greatest oscillation of the mercury took place. This is difficult to estimate in many cases as the eye can not follow slight changes in the oscillation when the pressure in the cuff is gradually reduced. Practically this is the case in small pulses.

The Riva-Rocci instrument was modified by Cook. (See Fig. 13.) He used a glass bulb containing mercury into which a glass tube projected. The bulb was connected by outlet and tubing to the cuff and syringe. The glass tube was marked off in centimeters and millimeters and for convenience[72] was jointed half way in its length. The instrument could be carried in a box of convenient size. This instrument is fragile and more cumbersome, although lighter in weight, than others and is very little used at present.

Fig. 13.—Cook's modification of Riva-Rocci's blood pressure instrument. Fig. 13.—Cook's modification of Riva-Rocci's blood pressure instrument.

Stanton's instrument (Fig. 14) is practically Cook's made more rigid in every way but without the jointed tube. The cuff has a leather casing, the pressure bulb is of heavy rubber, the glass tube in which the mercury rises is fixed against a piece of flat metal and there are stopcocks in a metal chamber introduced between the bulb and mercury with which to regulate the in- and out-flow of air. The pressure can be gradually lowered conveniently without removing the pressure bulb.

Fig. 14.—Stanton's sphygmomanometer. Fig. 14.—Stanton's sphygmomanometer.

The most accurate mercury manometer is that of Erlanger. (Fig. 15.) The instrument is bulky and is not practicable for the physician in practice. The principle is that used by Riva-Rocci. There is an extra T-tube introduced[73] between the manometer and air bulb connecting with a rubber bulb in a glass chamber. The oscillations of this are communicated to a Marey tambour and recorded on smoked paper revolving on a drum. There is a complicated valve which enables the operator to reduce the pressure with varying degrees of slowness. The mercury is placed in a U-tube with a scale alongside it. The instrument is expensive and not as easy to manipulate as its advocates would have us believe. Hirschfelder has added to the usefulness (as well as to the complexity) of the Erlanger instrument, by placing two recording tambours for the simultaneous registering of the carotid and venous pulses. In spite of its complexity and necessary bulkiness, very valuable data are obtained concerning the auricular contractions.

[74]

Fig. 15.—The Erlanger sphygmomanometer with the Hirschfelder attachments by
means of which simultaneous tracings can be obtained from the brachial, carotid, and
venous pulses. Fig. 15.—The Erlanger sphygmomanometer with the Hirschfelder attachments by means of which simultaneous tracings can be obtained from the brachial, carotid, and venous pulses.

One of the best of the mercury instruments is the Brown sphygmomanometer. In this (Fig. 16) the mercury is in a closed, all-glass tube so that it can not spill under any[75] sort of manipulation. It is in this sense "fool-proof." The cuff, however, is poorly constructed. It is too short and there are strings to tie it around the arm. I have found that this causes undue pressure in a narrow circle and renders the reading inaccurate. In the clinic we use this mercury instrument with a long cuff like that provided by the Tycos instrument.

Fig. 16.—Desk model Baumanometer. Fig. 16.—Desk model Baumanometer.

The Faught instrument (Fig. 17) is larger than the Brown, but is less easily broken and is not too cumbersome[76] to carry around. The substitution of a metal air pump for the rubber makes the apparatus more durable.

Fig. 17.—The Faught blood pressure instrument. An excellent instrument which is
quite easily carried about and is not easily broken. Fig. 17.—The Faught blood pressure instrument. An excellent instrument which is quite easily carried about and is not easily broken.

The v. Recklinghausen instrument is not employed to any extent in this country. It is both expensive and cumbersome, and has no advantages over the other instruments.

Several other instruments have been devised and new ones are constantly being added to the already large list. With those employing mercury the principle is the same. The aim is to make an instrument which is easily carried, durable, and accurate.

In all the mercury instruments the diameter of the tube is 2 mm. One would suppose that there would be noticeable differences in the readings of the different mercury instruments depending upon the amount of mercury used in the tube. By actual weight there is from 35 to 45 gms. of mercury in the several instruments. After many trials, no noticeable differences in blood pressure readings can be made out between a column weighing 35 gm. and one weighing 45 gm.

There is, however, the inertia of the mercury to be overcome,[77] friction between the tube and the mercury, and vapor tension. The mercury is therefore not as sensitive to rapid changes of pressure in the cuff as a lighter fluid would be. The mercury must be clean and the tube dry so that there is no more friction than what is inherent between the mercury and glass. In making readings on a rapid pulse the oscillations of the mercury column are apt to be irregular or to cease now and then, due to the fact that the downward oscillation coincides with a pulse wave, or an upward oscillation receives the impact of two pulse waves transmitted through the cuff. Instruments have been devised to obviate this difficulty, but they have not come into favor. They are usually too complicated and at present can not be recommended.

Fig. 18.—Rogers' "Tycos" dial sphygmomanometer. Fig. 18.—Rogers' "Tycos" dial sphygmomanometer.

An instrument devised by Dr. Rogers (the "Tycos") has met with considerable popularity. (Fig. 18.) This is not an instrument which operates with a spring and lever. The instrument is composed essentially of two metal discs carefully ground and attached at their circumferences to the metal casing below the dial. There is an air chamber between these discs through the center of which air is forced by the syringe bulb. When air is forced into the space between these two discs, they are forced apart to a very slight extent, with the highest pressures only 2-3 mm. of bulging occurs. From data gathered after extensive use[78] for five years these discs were not found to have sprung. A lever attached to a cog which in turn is attached to the dial needle magnifies to an enormous extent the slightest expansion of the discs. Every dial is handmade and every division is actually determined by using a U. S. government mercury manometer of standard type. No two dials therefore are alike in the spacing of the divisions of the scale but every one is calibrated as an individual instrument. There is no doubt in the author's mind that for the general practitioner the instrument has some advantages over the mercury instruments. It reveals the slightest irregularity in force of the heart beat. The oscillation of the dial needle is more accurately followed by the eye than is that of the column of mercury. The needle passes directly over the divisions of the scale, while with usual mercury[79] instruments the scale is an appreciable distance (sometimes .5 cm.) from the column of mercury at the side. (Fig. 19.) The diastolic pressure is more easily read on the[80] "Tycos." It is where the maximum oscillation of the needle occurs as the pressure is slowly released from the cuff. Although it does not appear that this instrument, if properly made and standardized, could become inaccurate, nevertheless it is advisable to check it every few months against a known accurate mercury manometer instrument.

Fig. 19.—Detail of the dial in the "Tycos" instrument. Fig. 19.—Detail of the dial in the "Tycos" instrument.
Fig. 20.—Faught dial instrument. Fig. 20.—Faught dial instrument.
Fig. 21.—Detail of the dial of the Faught instrument. Fig. 21.—Detail of the dial of the Faught instrument.

Another perfectly satisfactory dial instrument is the Faught (Figs. 20 and 21). The general plan of this differs in some minor points from the "Tycos." I have compared the two and have found no difference in the readings. Both can be recommended.

Fig. 22.—The Sanborn instrument. Fig. 22.—The Sanborn instrument.

One or two other cheaper dial instruments are on the market. The Sanborn seems to be quite satisfactory. (Fig. 22.) It is cheaper than the other dial instruments. There is this much to be said, no instrument using a spring as resistance to measure pressure can be recommended.

Technic

The same technic applies to all the mercury instruments. The patient sits or lies down comfortably. The right or left arm is bared to the shoulder, the cuff is then slipped over the hand to the upper arm. (See Fig. 23.) At least an inch of bare arm should show between the lower end of the cuff and the bend of the elbow. The rubber is adjusted so that the actual pressure from the bag is against the inner side[81] of the arm. The straps are tightened, care being taken not to compress the veins. The upper part of the cuff should fit more snugly than the lower part. The part of the instrument carrying the mercury column is now placed on a level surface; the two arms of the mercury in the tube must be even, and at 0 on the scale. With the fingers of one hand on the radial pulse, the bag is compressed until the pulse is no longer felt. (See Fig. 24.) One should raise the pressure from 10-12 mm. above this, and close the stopcock between the bulb and the mercury tube. In a good instrument the column should not fall. If it does there is a leak of air in the system of tubing and arm bag. Now with the finger on the pulse, or where the pulse was last felt, gradually allow air to escape by turning the stopcock so that the column of mercury falls about 2 mm. (one division on the scale) for every heart beat or two. One must not allow the column of mercury to descend too slowly as it is uncomfortable[82] for the patient and introduces a psychic element of annoyance which affects the blood pressure. On the other hand, the pressure must not be released too rapidly, else one runs over the points of systolic and diastolic pressure and the readings are grossly inaccurate. It is impossible to say how rapidly the mercury must fall. Every operator must find that out for himself by practice. The first perceptible pulse wave felt beneath the palpating finger at the wrist, represents on the scale the systolic pressure. This can be seen to correspond to a sudden increase in the magnitude of the oscillation of the mercury column. The systolic pressure, thus obtained, is from 5-10 mm. lower than the real systolic pressure. The more sensitive the palpating finger, the more nearly does the systolic pressure reading approach that found by using such an instrument as Erlanger's, where the first pulse wave is magnified by the lever of the tambour.

Fig. 23.—Method of taking blood pressure with a patient in sitting position. Fig. 23.—Method of taking blood pressure with a patient in sitting position.
Fig. 24.—Method of taking blood pressure with patient lying down. Fig. 24.—Method of taking blood pressure with patient lying down.

The pressure is now allowed to fall, until the palpating[83] finger feels the largest possible pulse wave, which is coincident with the greatest oscillation of the mercury. This is the diastolic pressure. Beyond this point there is no oscillation of the mercury column. The difference between the two is the pulse pressure. Thus the pulse is felt after compression at 120 on the scale, and the maximum oscillation occurs at 80. The systolic pressure is 120 mm., the diastolic is 80 mm., and the pulse pressure is 40 mm.

With the "Tycos" or Faught the arm band is snugly wound around the arm, the bag next to the skin and the end tucked in, so that the whole band will not loosen when air is forced into the bag. The cuff is blown up until the pulse is no longer felt. One should raise the pressure not more than 10 mm. above the point of obliteration of the pulse. The valve is then carefully opened so that the needle gradually turns toward zero. At the first return of the pulse wave felt at the wrist, the needle is sure to give a sudden jump. This is the systolic pressure and is read off on the scale. The needle is now carefully watched until it shows the maximum oscillation. This is the diastolic pressure. The difference between the two is, as above, the pulse pressure.

In taking pressure one should take the average of several, three or four. Moreover, one must not take consecutive readings too quickly and one must be sure that between every two readings all the air is out of the cuff and that the mercury or dial is at zero. It has been repeatedly shown that in a cyanosed arm the systolic pressure is raised so that even slight cyanosis between readings must be carefully avoided.

The only accurate method of determining both the systolic and diastolic pressure, but especially the diastolic, is by the so-called auscultatory method. (See Fig. 25.) The cuff is adjusted in the usual way and one places the bell of a binaural stethoscope over the brachial artery from one to two centimeters below the lower edge of the[84] cuff.[3] Care must be taken that the bell is not pressed too firmly against the arm and that the edge of the bell nearest the cuff is not pressed more firmly than the opposite end. For this purpose, one can not use the ordinary Bowles stethoscope or any of the other much lauded stethoscopes, because the surface of the bell is too large. The diameter of the bell must not be more than twenty-five millimeters, twenty is still better. It is advisable before beginning the observation to locate with the finger the pulse in the brachial artery just above the elbow, so that the stethoscope may be placed over the course of the artery. (Fig. 26.) The first wave which comes through is heard as a click, and occurs at a point on the manometer or dial scale from 5-10 mm. higher than can usually be palpated at the radial artery. This is the true systolic pressure. By keeping[85] the bell of the stethoscope over the brachial artery while the pressure is falling, one comes to a point when all sound suddenly ceases. This is said to be the diastolic pressure. This is incorrect as will be shown later.

Fig. 25.—Observation by the auscultatory method and a mercury instrument. One hand
regulates the stop cock which releases air gradually. Fig. 25.—Observation by the auscultatory method and a mercury instrument. One hand regulates the stop cock which releases air gradually.
Fig. 26.—Observation by the auscultatory method and a dial instrument. The right
hand holds the bulb and regulates the air valve. Fig. 26.—Observation by the auscultatory method and a dial instrument. The right hand holds the bulb and regulates the air valve.

Arterial Pressure

The arterial pressure in the large arteries undergoes extensive fluctuations with every heart beat. The maximum pressure produced by the systole of the left ventricle of the heart is known as the maximum or systolic pressure. It practically equals the intraventricular pressure. The minimum pressure in the artery, the pressure at the end of diastole, is called the diastolic pressure. The difference between the systolic and diastolic pressures is known as the pulse pressure. There is yet another term known as the mean pressure. For convenience, this may be said to be the[86] arithmetical mean of the systolic and diastolic pressures. Actually, however, this can not be the case, owing to the form of the pulse wave, which is not a uniform rise and fall—the upstroke being a straight line, but the downstroke being broken usually by two notches. We do not make use of the mean pressure in recording results. It is of experimental interest and needs only to be mentioned here.

Fig. 27.—Schema to illustrate the gradual decrease in pressure from the heart to the
vena cava: (a), arteries; (c), capillaries; (v), veins; (A), aorta, pressure 150 mm.;
(B), brachial artery, pressure 130 mm.; (F), femoral vein, 20 mm.; (IVC), inferior
vena cava, 3 mm. (Modified from Howell.) Fig. 27.—Schema to illustrate the gradual decrease in pressure from the heart to the vena cava: (a), arteries; (c), capillaries; (v), veins; (A), aorta, pressure 150 mm.; (B), brachial artery, pressure 130 mm.; (F), femoral vein, 20 mm.; (IVC), inferior vena cava, 3 mm. (Modified from Howell.)

It has been shown that the mean pressure is quite constant throughout the whole arterial system. The maximum pressure necessarily falls as the periphery of the vascular system is approached. In general it may be said that the minimal pressure is quite constant. Too little attention is paid to minimal and pulse pressure. The minimal pressure is important, for it gives us valuable data as to the actual propulsive force driving the blood forward to the periphery at the end of diastole.

It is readily understood how the maximum pressure falls as the periphery is approached, until in the arterioles the maximum and minimum pressures are about equal. The pressure then in these arterioles is practically the same as the diastolic pressure. Actually it is a few millimeters less. The diastolic blood pressure would, therefore, measure the peripheral resistance and, as the maximum for systolic pressure represents approximately the intraventricular[87] pressure, the difference between the two, the pulse pressure, actually represents the force which is driving the blood onward from the heart to the periphery. It is hence very evident that the mere estimation of the systolic pressure gives us but a portion of the information we are seeking.

The pulse pressure is subject to wide fluctuations but as a rule for any one normal heart it remains fairly constant as the rate varies. In a rapidly beating heart the diastole is short and the diastolic pressure rises. If the systolic pressure does not also rise, as in a normal heart following exercise, we will say, the pulse pressure falls. We know that when the pulse rate is constant, vasodilatation causes a fall in diastolic pressure and a rise in pulse pressure. On the contrary, vasoconstriction causes a rise in diastolic pressure and a fall in pulse pressure.

It is very probably the case that with two individuals of equal age and equal pulse rate, and equal systolic pressure of 160 mm., the one with a diastolic pressure of 110 mm. and, therefore, a pulse pressure of 50 mm. is much worse off than the other with a diastolic pressure of 90 mm. and a pulse pressure of 70 mm. The latter may be normal for the age of the person especially when certain forms of fibrous arteriosclerosis accompanied by enlarged heart are present.

The former is not normal for any age. Low pulse pressure usually means a weak vasomotor control and is only found in failing circulation or in markedly run down states, such as after serious illness or in tuberculosis. Therefore, it is most important to estimate accurately the diastolic pressure as well as the systolic pressure, for only in this way can we obtain any data of value regarding the driving power of the heart and the condition of the vasomotor system. A high systolic pressure does not necessarily mean that a great deal of blood is forced into the capillaries. Actually it may mean that very little blood enters the periphery. The heart wastes its strength in dilating constricted[88] vessels without actually carrying on the circulation adequately.

Normal Pressure Variations

The systolic pressure varies considerably under conditions which are by no means abnormal. Thus, the average for men at all ages is about 127 mm. Hg. (All measurements are taken from the brachial artery, with the individuals in the sitting posture.) For women the average is somewhat lower, 120 mm. Hg. The pressure is lowest in children. In children from 6-12 years the average systolic pressure is 112 mm. Normally, there is a gradual increase as age comes on, due, as will be shown in the succeeding chapter, to physiologic changes which take place in the arteries from birth to old age. In the chart here appended is graphically shown the normal variations in the blood pressure at different ages compiled from observations made on one thousand presumably normal persons. (Fig. 28.)

Fig. 28.—Chart showing the normal limits of variation in systolic blood pressure. (After
Woley.) Fig. 28.—Chart showing the normal limits of variation in systolic blood pressure. (After Woley.)

The diastolic pressure has been estimated to be about 35 to 45 mm. Hg lower than the systolic pressure, and consequently these figures represent the pulse pressure in the brachial artery of man. This is equivalent to saying that every systole of the left ventricle distends this artery by a sudden increase in pressure equal to the weight of a column of mercury 2 mm. in diameter and 35 to 45 mm. high. Naturally, at the heart the pressure is highest. As the blood goes toward the capillary area the pressure gradually decreases until, at the openings of the great veins into the heart, the pressure is least. At the aorta (A) the pressure (systolic) is approximately 150 mm. Hg, at the brachial artery (B) it is 130 mm., in the capillary system (C) it is 30 mm., in the femoral vein (F) it is 20 mm., at the opening of the inferior vena cava (I) it is 3 mm.

Attention has been called to the normal systolic pressure at different ages. This is not the only cause for variations in the blood pressure. Normally, it is greater when in the[89] erect position than when seated, and greater when seated than when lying down. During the day there are well-recognized changes. The pressure is lowest during the early morning hours, when the person is asleep. In women there are variations due to menstruation. Muscular exercise raises the blood pressure markedly. The effect of a full meal is to raise the blood pressure. The explanation is that during and following a meal there is dilatation of the abdominal vessels. This takes blood from other parts of the body, provided that the other factors in the circulation[90] remain constant. A fall of pressure would necessarily occur in the aorta. To compensate for this, there is increased work on the part of the heart, which reveals itself as increased pressure and pulse pressure. It is well known that the interest in the process taken by an individual upon whom the blood pressure is estimated for the first time tends to increase the rate of the heart and to raise the blood pressure. For this reason the first few readings on the instrument must be discarded, and not until the patient looks upon the procedure calmly can the true blood pressure be obtained. As a corollary to this statement, mental excitement, of whatever kind, has a marked influence on the pressure. The patient must remain absolutely quiet. Raising the head or the free arm causes the pressure to rise. Another important physiologic variation is produced by concentrated mental activity. This tends to hurry the heart and increase the force of the beat. In short, it may be stated as a general rule that any active functioning of a part of the body which naturally requires a great excess of blood tends to elevate the blood pressure. At rest the pressure is constant. Variations caused by the factors mentioned act only transitorily, and the pressure shortly returns to normal.

The Auscultatory Blood Pressure Phenomenon

Since the first description of the auscultatory blood pressure sounds by Korotkov in 1905, this method has been more and more employed until today it is the standard, recognized method of determining the points in the blood pressure reading. When one applies the 12 cm. arm band over the brachial artery and listens with the bell of the stethoscope about one cm. below the cuff directly over the brachial artery near the bend of the elbow, one hears an interesting series of sounds when the air in the cuff is gradually reduced. The cuff is blown up above the maximum pressure. As the air pressure around the arm gradually is[91] lowered, the series of sounds begins with a rather low-pitched, clear, clicking sound. This is the first phase. This only lasts through a few millimeters fall when a murmur is added and the tone becomes louder. This click and murmur phase is the second phase. A few millimeters more of drop in pressure and a clear, sharp, loud tone is audible. Usually this tone lasts through a greater drop than any of the other tones. This is the third phase. Rather suddenly the loud, clear tone gives place to a dull muffled tone. In general the transition is quite sharp and distinct. This is the fourth phase. The tone gradually or quickly ceases until no tone is heard. This is the fifth phase (Ettinger.)

The first phase is due to the sudden expansion of the collapsed portion of the artery below the cuff and to the rapidity of the blood flow. This causes the first sharp clicking sound which measures the systolic pressure.

The second, or murmur and sound phase, is due to the whorls in the blood stream as the pressure is further released and the part of the artery below the cuff begins to fill with blood.

The third tone phase is due to the greater expansion of the artery and to the lowered velocity in the artery. A loud tone may be produced by a stiff artery and a slow stream or by an elastic artery and a rapid stream. This tone is clear cut and in general is louder than the first phase.

The fourth phase is a transition from the third and becomes duller in sound as the artery approaches the normal size.

The fifth phase, no sound phase, occurs when the pressure in the cuff exerts no compression on the artery and the vessel is full throughout its length.

It is generally conceded that the sounds heard are produced in the artery itself and not at the heart.

The tones vary greatly in different hearts. A very strong third tone phase or prolongation of this phase usually[92] means that the heart which produces the tone is a strongly acting one, although allowances must be made for a sclerosed artery in which there is a tendency to the production of a sharp third phase.

Weakness of the third phase, as a rule, indicates weakness of the heart and this dulling of the third phase may be so excessive that no sound is produced. Goodman and Howell have carried this method further by measuring the individual phases and calculating the percentage of each phase to the pulse pressure. Thus, if in a normal individual the systolic pressure is 130 mm., the diastolic 85 mm., and the pulse pressure 45 mm., the first phase lasts from 130 to 116 or 14 mm., the second from 116 to 96, or 20 mm., the third from 96 to 91 or 5 mm., the fourth from 91 to 85, or 6 mm. The first phase would then be 31.1 per cent of the total pulse pressure, the second phase 44.4 per cent, the third phase 11.1 per cent, and the fourth phase 13.3 per cent. They consider that the second and third phases represent cardiac strength (C. S.) and the first and fourth represent cardiac weakness (C. W.). They believe that C. S. should normally be greater than C. W. In the example above C. S.:C. W. = 55.5:44.4. In weak hearts, especially in uncompensated hearts, the conditions are reversed and C. W. > C. S. This is often the case. As a heart improves C. S. again tends to become greater than C. W. They think that the phases should be studied in respect to the sounds and also to the encroachment of one sound upon another.

These observations are interesting but we have not found the division into phases as helpful as it was thought to be. We spent a great deal of time on this question. All that can be said, in my opinion, is that a loud, long third phase is usually evidence of cardiac strength.

A further interesting feature which can be heard in all irregular hearts is a great difference in intensity of the individual sounds. Goodman and Howell call this phenomenon tonal arrhythmia. Irregularities can be made out by[93] the auscultatory method which can not be heard at the heart.

In anemia the sounds are very loud and clear and do not seem to represent the actual strength of the heart.

The general lack of vasomotor tone in the blood vessels together with some atrophy and flabbiness of the coats probably explains the loud sounds.

In polycythemia the sounds have a curious, dull, sticky character and can not be differentiated accurately into phases, a condition which was predicted from the knowledge of the sharp sounds in anemia.

In not all cases can all phases be made out. It is usually the fourth phase which fails to be heard.

In such cases the loud third tone almost immediately passes to the fifth phase or no sound phase. The importance of this will later be taken up.

"In arteriosclerosis, with hardening and loss of elasticity of the vessel walls, the auscultatory phenomena, according to Krylow, are apt to be more pronounced, since the back pressure at the cuff probably causes some dilatation of the vessel above it, while the lumen of the vessel is smaller than normal. Both of these factors cause an increased rapidity in the transmission of the blood wave when pressure in the cuff is released, which in time favors the vibration of the vessel walls.

"In high grade thickening of the arterial walls, however, especially where calcification had occurred, Fischer found that the sounds were distinctly less loud than normal, the more so in the arm, which showed the greater degree of hardening. According to Ettinger's experience, the rapidity of the flow distinctly increases the auscultatory phenomenon." (Gittings.)

The sounds depend upon the resonating character of the cuff, upon the size and accessibility of the vessel, upon the force of the heart beat, and upon the velocity of the blood.

[94]

The Maximum and Minimum Pressures

The maximum (systolic) pressure is read at the point where the first audible click is heard after the cuff is blown up and the pressure gradually reduced by means of the needle valve in the hand bulb or on the upright of the glass containing the mercury. All are agreed upon this point. There has been some dispute as to the place where the diastolic pressure should be read. Korotkov considered that the diastolic pressure should be read at the fourth phase when the loud tone suddenly becomes dulled. Others held that the diastolic pressure should be read at the fifth phase, the absence of all sound. Experiments carried out to determine this point were made by me with the assistance of Prof. Eyster and Dr. Meek at the Physiological Laboratory of the University of Wisconsin. We arranged apparatus making it possible to hold the pressure in the carotid artery of dogs at maximum or minimum. A femoral[95] artery was then dissected and an instrument devised to compress the artery with a water jacket. The whole was connected up with a kymograph. A time marker was put in so as to record the place where changes in sound were heard while listening below the cuff around the femoral artery. Two sets of records were taken. One with pressure greater than minimum pressure and a falling pressure over the femoral artery (Fig. 29), the other with pressure at zero and gradually raised to minimum pressure (Fig. 30). Both sets of records showed the same result; viz., that at a point corresponding to the sudden change of tone the pressure on the artery corresponded to the minimum pressure. It was therefore concluded that experimentally in dogs the point where diastolic pressure should be read is at the tone change from clear to dull, not at the point where all sound disappears.

Fig. 29.—Tracing of auscultatory phenomena. (See explanation in legend of Fig. 30.) Fig. 29.—Tracing of auscultatory phenomena. (See explanation in legend of Fig. 30.)
Fig. 30.—Figures are to be read from left to right. The top line records the points
where sounds were heard, the figures above the short vertical lines refer to tones (see
text). Mx. B. P., maximum blood-pressure. M. B. P., minimum blood-pressure. P. B.,
pressure bulb recorder. It was impossible to lower and raise this bulb by hand without
obtaining the great irregular oscillations of the attached lever above the mercury manometer.
B. L., base line. Fig. 30.—Figures are to be read from left to right. The top line records the points where sounds were heard, the figures above the short vertical lines refer to tones (see text). Mx. B. P., maximum blood-pressure. M. B. P., minimum blood-pressure. P. B., pressure bulb recorder. It was impossible to lower and raise this bulb by hand without obtaining the great irregular oscillations of the attached lever above the mercury manometer. B. L., base line.

Erlanger showed some years ago, that with his instrument, the point at which diastolic pressure should be read was at the instant when the maximum oscillation of the[96] lever suddenly became smaller. While checking up the graphic with the auscultatory method using Erlanger's instrument, it was noticed that the disappearance of all sound did not correspond with the sudden diminution of the oscillation of the lever connected with the brachial artery. A series of records were carefully made on patients. It was seen that during the period of the third tone phase the oscillations of the lever on the drum reached a maximum (Fig. 31) and remained at approximately the same height for some millimeters while the pressure was gradually falling. At a point at which the third tone, clear and distinct, became dull, there was an appreciable decrease in the height of the pulse wave. From this point to the disappearance of all sound there was a gradual diminution of the size of the pulse waves.[97]

Fig. 31.—Fast drum. Sudden decrease in size of pulse wave at 4, marking the change
from clear sharp tone to dull tone. Fig. 31.—Fast drum. Sudden decrease in size of pulse wave at 4, marking the change from clear sharp tone to dull tone.
Fig. 32.—Slow drum. Sudden decrease in amplitude at 4. Fig. 32.—Slow drum. Sudden decrease in amplitude at 4.

For normal pressures the difference between the fourth (dull) tone and the fifth (disappearance of all tone) phase, amounted to 4 to 10 mm. Occasionally the difference was so little, the change from sharp third tone through fourth dull tone to disappearance of all sound was so abrupt, that one could take the disappearance of all sound as the diastolic pressure, with an error of not more than 2 to 4 mm. This is within the limits of normal error and practically may be used by those who have difficulty in noting the change from third to fourth phase. For high pressures, however, the difference between fourth and fifth phases was never less than 8 mm., and was found as much as 16 mm. The diastolic, therefore, should always be taken at the fourth phase if possible.

It was found that with the dial instrument the greatest fling of the lever corresponded to the third phase and the sudden lessened amplitude of the oscillation was at the fourth phase and was coincident with the change of tone from sharp to dull. Thus the diastolic pressure may be read off on the dial scale by watching the fling of the hand and with some practice one might acquire considerable accuracy. It is better, simpler, and, for most observers, more accurate to use the stethoscope and hear the change of sound.

The Relative Importance of the Systolic and Diastolic Pressures

The systolic pressure represents the maximum force of the heart. It is measured by noting the first sound audible over the brachial artery using the auscultatory method. It is the summation of two factors largely; the force expended in opening the aortic valves (potential) and the force expended from that point to the end of systole, the force which is actually driving the blood to the periphery (kinetic). To start the blood in motion, the heart must overcome a dead weight equal to the sum of all the forces[98] holding the aortic valves closed. This sum of factors, called the peripheral resistance, must be reached and passed by the force of the ventricular beat before one drop of blood is set in motion along the aorta. This factor of resistance assumes a great importance.

The systolic pressure is always fluctuating as it depends upon so many conditions, and the calls of the body except during sleep are many and various. In a study of diurnal variations in arterial blood pressure it has been found that—(1) A rise of maximum pressure averaging 8 mm. of Hg. occurs immediately on the ingestion of food. A gradual fall then takes place until the beginning of the next meal. There is also a slight general rise of the maximum pressure during the day. (2) The range of maximum pressure varies considerably in different individuals, but the highest and lowest maximum pressures are practically equidistant from the average pressure of any one individual.[4]

The pressure is lowest during sleep and gradually rises near the end of sleep, so that on awakening the pressure was the same as before sleep.

Physiologically there are many conditions which modify the systolic pressure. Sleep, position, meals, exercise, emotional states cause often wide fluctuations which may be very sudden. It should be constantly borne in mind, that the systolic pressure reading which is made, is the maximum effort of the heart at that moment only.

The diastolic pressure measures the peripheral resistance. It measures the work of the heart, the potential energy, up to the moment of the opening of the aortic valves. It is the actual pressure in the aorta. The diastolic pressure is not very variable; it is not subject to the same influences which disturb the systolic pressure. It fluctuates as a rule, within a small range. It is not affected by diet, by mental excitement, by subconscious psychic influences, to anything like the extent to which the systolic pressure is affected by[99] the action of these factors. The diastolic pressure is determined by the tone in the arterioles and is under the control of the vasomotor sympathetic system. Any agent which causes chronic irritation of the whole vasomotor system produces increase in the peripheral resistance with consequent rise in the diastolic pressure. Any agent which acts to produce thickening of the walls of the arterioles, narrowing their lumina, produces the same effect.

Such states naturally result in increased work on the part of the heart, which as a result, hypertrophies in the left ventricle. The increase in size and strength is a compensatory process in order to keep the tissues supplied with their requisite quota of blood. Conversely, paralysis of the vasomotor system produces fall of diastolic pressure which, if long continued, results in death.

The diastolic pressure then is of importance for the following reasons:

1. It measures peripheral resistance.

2. It is the measure of the tonus of the vasomotor system.

3. It is one of the points to determine pulse pressure.

4. Pulse pressure measures the actual driving force, the kinetic energy of the heart.

5. It enables us to judge of the volume output, for pulse pressure which is only determined by measuring both systolic and diastolic pressure, is such an index.

6. It is more stable than the systolic pressure, subject to fewer more or less unknown influences.

7. It is increased by exercise.

8. It is increased by conditions which increase peripheral resistance.

9. The gradual increase of diastolic pressure means harder work for the heart to supply the parts of the body with blood.

10. Increased diastolic pressure is always accompanied by increased pulse pressure, and increased size of the left ventricle, temporarily (exercise) or permanently.

[100]11. Decreased diastolic pressure goes hand in hand with vasomotor relaxation, as in fevers, etc.

12. Low diastolic pressure is frequently pathognomonic of aortic insufficiency.

13. When the systolic and diastolic pressures approach, heart failure is imminent either when pressure picture is high or low.

When all these factors are taken into consideration, it becomes apparent that the diastolic pressure is most important, if not the most important part of the pressure picture.

Up to within a very brief time all the statistical evidence of blood pressure was based on systolic readings alone. This data is most valuable and much has been learned as to diagnosis and prognosis, but it is a mass of data based on a one-sided picture and can not be as valuable as the statistics which will undoubtedly be published later when all the pressure picture figures can be analyzed.

Pulse Pressure

The pulse pressure is the actual head of pressure which is forcing the blood to the periphery. At every systole a certain amount of blood 75-90 c.c. (Howell) is thrown violently into an already comfortably filled aorta. The sudden ejection of this blood instigates a wave which rapidly passes down the arteries as the pulse wave. The elastic recoil of the aorta and large arteries near the heart contract upon the blood and keep it moving during diastole. Normally the blood-vessels are highly elastic tubes with an almost perfect coefficient of elasticity. The pulse pressure varies under normal conditions from 30 to 50 mm. Hg. There is a very definite relationship between the velocity of blood and the pulse pressure which is expressed thus; velocity = pulse rate × pulse pressure.[5]

[101]

Further it has been demonstrated that under normal conditions and during various procedures—the pulse pressure is a reliable index of the systolic output.[6]

Increased pulse pressure therefore goes hand in hand with greater systolic output. Physiologically this is most ideally seen during exercise. Following exercise the pulse rate increases, the systolic pressure rises greatly, the diastolic slightly or not at all. The pulse pressure therefore is increased. The velocity also is much increased. The call comes for more blood and the heart responds. In the chronic high pulse pressures there are four correlated conditions which, so far as I have studied them, are always present. These are: (1) An increase in size of the cavity of the left ventricle. The ventricle actually by measurement contains more blood than normal, and therefore throws out more blood at every systole. The volume output is greater per unit of time. (2) There is actual permanent increase in diameter of the arch of the aorta. This is a compensating process to accommodate the increased charge from the left ventricle. (3) There are on careful auscultation over the manubrium, particularly the lower half, breath sounds which vary from bronchial to intensely tubular, depending upon the anatomic placing of the aorta, the shape of the chest, and the degree of dilatation. Often there is very slight impairment of the percussion note as well. (4) There is increase in size of all the large distributing arteries, carotids, brachials, femorals, renals, celiac axis, etc., with fibrous changes in the media, loss of some elasticity, and increase in size of the pulse wave. Increased pulse pressure means increased volume output, but does not always mean increased velocity. The proper distribution of blood to the various organs of the body is regulated by the vasomotor system acting upon the small arteries which contain considerable unstriated muscle. When fibrous arteriosclerosis is present there is loss of elasticity in the distributing[102] arteries and a greater volume of blood must be thrown out by the ventricle at every systole in order that every organ shall have its full quota of blood. A force which is sufficient to send blood through elastic normal distributing tubes becomes totally insufficient to send the same amount of blood through tortuous and more or less inelastic tubes.

It is evident then that pulse pressure is exceedingly important. It can only be determined by measuring both the systolic and diastolic pressure. The pulse rate must also be known in order to compute the velocity. It is essential to have the whole pressure picture for all cases if correct conclusions are to be drawn.

In an irregular heart, especially in the cases due to myocardial disease, it is quite impossible to determine the true diastolic pressure. One can only approximate it and say that the pulse pressure is low or high. As a matter of fact the real systolic pressure can not be determined. For this figure the place on the scale where most of the beats are heard may be taken for the average systolic pressure. No one can seriously maintain that he can measure the diastolic pressure under all circumstances.

By means of the auscultatory method of measuring blood pressure we are able to determine irregularities of force in the heart beats more easily than by listening to the heart sounds. A pulsus alternans is readily made out. The irregular tones heard over the brachial artery in cases of irregular heart action have been called "tonal arrhythmias."

Blood Pressure Variations

A recent study of diurnal variations in blood pressure has shown that while the maximum pressure rises after the ingestion of food and steadily rises slightly throughout the day, the minimum blood pressure is very uniform throughout the day, and is little affected by the ingestion and digestion of meals. When it is affected, a rise or a fall may[103] take place. Throughout the day, it tends to become slightly lower. The pulse pressure then is greater towards evening.

Weysse and Lutz in a study of this question draw the following conclusions:

1. A rise of maximum pressure averaging 8 mm. of Hg occurs immediately on the ingestion of food. A gradual fall then takes place until the beginning of the next meal. There is also a slight general rise of the maximum pressure during the day.

2. The average maximum blood pressure for healthy young men in the neighborhood of 20 years of age is 120 mm. of Hg. This pressure obtains commonly one hour after meals. The higher maximum pressures occur immediately after meals, and the lower, as a rule, immediately before meals.

3. The range of maximum pressure varies considerably in different individuals, but the highest and lowest maximum pressures are practically equidistant from the average pressure of any one individual.

4. The minimum blood pressure is very uniform throughout the day, and is little affected by the ingestion and digestion of meals. When it is affected a rise or fall may take place. There is a tendency for a slight general lowering of the minimum pressure throughout the day.

5. The average minimum blood pressure for healthy young men in the neighborhood of 20 years of age is 85 mm. of Hg. Thus we get an average pulse pressure of 35 mm. of Hg.

6. Pulse pressure, pulse rate, and the relative velocity of the blood flow are increased immediately upon the ingestion of meals. They attain the maximum, as a rule, in half an hour, and then decline slowly until the next meal. There is a general increase in each throughout the day.

These measurements were made upon persons at rest. Almost any form of exercise would have made the variations much greater. No account is taken of the psychic variations which for the physician are the most important to bear in mind. Neglect to take this variation into account will inevitably lead to false conclusions.

The Average Diurnal Blood Pressure Record of the Ten Subjects
TIME MAXIMUM MINIMUM MEAN PULSE PULSE PP x PR NOTES
        PRESSURE RATE    
 mm.Hgmm.Hgmm.Hgmm.Hg
4:30 p.m.119.584.1101.835.472.02549
5:00 p.m.117.783.5100.634.271.12432
6:00 p.m.118.084.0101.034.074.92547Before dinner
6:45 p.m.127.288.2107.739.078.13046After dinner
7:00 p.m.124.787.7106.237.076.02812
7:30 p.m.122.083.4102.738.676.02934
8:00 p.m.122.485.5103.436.971.22527
8:30 p.m.120.085.0102.535.069.72439
9:00 p.m.120.584.7102.535.865.22334
9:30 p.m.118.284.4101.633.864.42177
7:30 a.m.118.487.6103.030.870.32165
8:00 a.m.116.486.4101.430.069.82094Before breakfast
8:30 a.m.124.285.4104.838.879.43081After breakfast
9:00 a.m.123.884.4104.139.484.13313
10:00 a.m.118.283.6100.934.670.72446
11:00 a.m.116.284.8100.531.467.72126
12:00 m114.483.298.831.266.22065Before luncheon
12:30 p.m.122.883.2103.039.670.92808After luncheon
1:00 p.m.122.382.0102.140.379.73212
2:00 p.m.118.481.499.937.077.62871
3:00 p.m.118.882.6100.736.275.12719
4:00 p.m.115.882.098.933.871.92420
5:00 p.m.117.283.4100.333.869.62352
6:00 p.m.117.484.4100.933.072.82402Before dinner
6:45 p.m.124.683.1103.841.580.43337After dinner
7:00 p.m.125.284.2104.741.076.13120
7:30 p.m.122.084.0103.038.073.72801
8:00 p.m.119.685.0102.334.672.32502
8:30 p.m.119.784.0101.334.769.02394
9:00 p.m.120.086.2103.133.868.02298
Average120.085.0102.535.072.02550
(Taken from Weysse and Lutz.)

In some experiments to determine the changes upon the blood pressure induced by hot and cold applications on and within the abdomen, Hammett, Tice and Larson found that heat applied to the outside of the abdomen raises the blood pressure. The application of cold produces no change. Either hot or cold saline introduced within the abdomen causes a fall in blood pressure.

[105]Experimentally, certain drugs such as adrenalin, barium chloride, nicotine, digitalis, strophanthus and the infundibular portion of the pituitary body known as pituitrin raise the maximum pressure. In the clinic it is difficult to conclude always whether the drug alone is responsible for rise in maximum pressure. Adrenalin given intravenously will raise the pressure. So will digitalis and strophanthus. I have watched the maximum pressure rise within three minutes following an intravenous injection of gr. 1100 (0.0006 gm.) strophanthin 20 mm. of Hg: I have seen the subcutaneous injection of 10 minims of adrenalin repeated several times daily for six months fail to have the least effect on the blood pressure picture.

Elevation of the foot of the bed about nine inches proved so efficacious in steadying failing hearts in acute infectious diseases, particularly typhoid, that a study was made of the effect upon blood pressure. Many observations were made, but no instrumental proof of rise in blood pressure could be adduced.

Exercise always raises blood pressure, the maximum much more than the minimum. In athletes the minimum pressure may actually fall, the maximum rise so that a greater volume output results from the greater pulse pressure.

Shock and hemorrhage lower it. Hemorrhage lowers also the pulse pressure, and it may be possible to prognosticate internal hemorrhage by frequent estimations of the systolic and diastolic pressures (Wiggers). Compression of the superior mesenteric artery or the celiac axis in dogs raises the blood pressure measured in the carotid artery for a period of at least an hour. This seems to be dependent on purely mechanical causes, and is not a reflex vasomotor phenomenon. (Longcope and McClintock.)

Experimentally blood pressure can be increased by direct compression of the brain as Cushing has shown. It was thought at one time that in man the same effect would result[106] from tumor of the brain or especially from subdural or extradural hemorrhage following head injuries. This, however, is not the case. No information of great value can be obtained by the measurement of blood pressure in these states. We do know that too high and too prolonged compression of the medulla brings about exhaustion of the cardiac center accompanied with rapid pulse, low pressure and eventual death.

Hypertension

All the conflict during the past few years over the subject of blood pressure has revolved around this much overworked word. Hypertension means high pressure, and yet it carries with it a suggestion of high pressure which is harmful to the individual. As a matter of fact hypertension is a compensatory process, it is often a saving process in spite of the fact that it carries possibilities of harm in its possessor. It has been made a fetish, a god to fall down before and worship and it has been the means of holding a torch of fear over a patient which has not been lost on the charlatans. Popularization of blood pressure has brought its crop of evils, no one of which has been as fruitful in dollars to unprincipled quacks as hypertension.

Hypertension is the expression on the part of the circulation to meet new conditions in the tissues so that all tissues will be nourished and all will be enabled to function. Looked at from that point of view it is a conservative process and in many cases it is. It is not an average normal state, but it is normal state for the man who has it in chronic form. Hypertension should be viewed rationally and its proper place in the whole make-up of the patient determined. Hypertension is a relative term. What might be high pressure in a man of sedentary habits who reaches the age of fifty, might not be high pressure in a full blooded formerly athletic man of the same age. Temporary hypertension due to excitement, exercise, etc., must be kept in[107] mind. It is not intended to convey the impression that hypertension is of no moment. It is a matter for investigation, but not a matter to worship as the all-in-all.

Hypertension is, after all, a physiologic response on the part of the organism in order to maintain the circulation in equilibrium in the face of conditions which tend to produce vasoconstriction in large areas and, therefore tend to deprive these areas of blood. That there must be some substance in the blood stream which causes this constriction seems certain. What it is, is not at present known. Recently, Voegtlin and Macht[7] have isolated a crystalline substance from the blood of man and other mammals which they regard as a lipoid and closely related to cholesterin. This substance was recovered by them from the cortex of the adrenal gland. This becomes of added interest in the light of observations made by Gubar (quoted by Voegtlin and Macht). He noted "that the vasoconstricting properties of blood serum vary in different pathologic conditions, being increased in nephritis, for instance, and diminished in others." In some experiments made in the summer of 1913, we found there was no marked difference in the anaphylactic shock produced in half-grown rabbits by the injection of normal and uremic blood serum. As lipoids do not cause anaphylaxis, there should be no difference in the reaction of normal and uremic sera unless in one there was some form of protein not in the other. This does not seem to be the case. The presence of something in the circulation, therefore, produces constriction of vessels. This calls for more force in contraction on the part of the heart. This substance may be of lipoid nature. The continued presence of this hypothetical substance naturally would lead to hypertrophy of the heart.

What makes hypertension of significance is not the hypertension itself, but the fact that it is the expression of[108] processes going on in the body which demand exhaustive investigation. To attach a blood pressure cuff to the arm, find the pressure, and diagnose hypertension is like putting a thermometer under the tongue, noting a rise in the mercury, and diagnosing fever. What causes the hypertension? Can the causes be removed? Those are the really vital questions after the symptom hypertension has been discovered.

All states of hypertension are accompanied by more or less increase of pulse pressure. In other words the systolic pressure is always increased to greater degree than the diastolic pressure. In studies carried out in the wards and Pathological Laboratory of the Milwaukee County Hospital, Milwaukee, we found that in all of the cases of chronic high blood pressure with resulting high pulse pressure four correlated factors were found. If any one of these factors is present, the other three are found.

1. In all high pulse pressure cases there is increase in the size of the cavity of the left ventricle. The ventricle actually contains more blood when it is full, and throws out, therefore, more blood at each systole. The actual volume output is greater per unit of time. Such hearts always show increase in thickness of the ventricular wall. I quite agree with Stone,[8] who says, "It is merely to be emphasized that when the pulse pressure persistently equals the diastolic pressure (high pressure pulse, in other words) with a resulting 50 per cent, overload, which means the expenditure of double the normal amount of kinetic energy on the part of the heart muscle, cardiac hypertrophy has occurred." They are found in aortic insufficiency, in chronic nephritis, in the diffuse fibrous type of arteriosclerosis, and in some cases of exophthalmic goiter. Such a condition occurs temporarily after exercise.

[109]

2. In all high pulse pressure cases there is actual permanent increase in diameter of the arch of the aorta. This is a compensating process to accommodate the increased charge from the left ventricle. Smith and Kilgore[9] have shown this to be true in cases of chronic nephritis with hypertension. Their research confirms my own observations. They found dilatation of the arch in (1) syphilis (that is, aortitis); (2) age over 50 (that is, probable factor of arteriosclerosis); (3) other serious cardiac enlargement, and (4) hypertension (with more or less hypertrophy, as in chronic nephritis).

In ten cases showing arches at the upper limit of normal (that is, 6 cm. in diameter) and hypertrophy of the heart, three were chronic mitral endocarditis; one was chronic aortic endocarditis; three were chronic mitral and aortic endocarditis, and there was one each of hyperthyroidism, pericarditis and adherent pericardium.

In fourteen cases of hypertension (highest systolic 270 mm., average systolic, 215 mm.), all showed cardiac hypertrophy. "All but three of these cases had great vessels whose transverse diameters measured over the normal limit of 6 cm., and in one of those measuring 6 cm. the Roentgen-ray diagnosis was 'slight dilatation' of the arch." Smith and Kilgore are at a loss to explain the three exceptions. They did not give diastolic pressures, so pulse pressures are not known. Possibly the three exceptions were cases of high diastolic pressure in which the pulse pressure possible was not over 60 mm. Such cases might show "slight dilatation of the arch," but not marked dilatation, such as was found in the other, evidently high pulse pressure cases.

We have found that only the high pulse pressure cases show dilatation of the arch. Certain high tension cases which have had a very high diastolic pressure do not reveal any accurately measurable dilatation of the aortic[110] arch. An empty aorta after death is quite different from a functionating aorta during life. Hence the dilatation which is found postmortem must have been considerable during life. And conversely, a dilatation which was present during life might not be looked on as such after death.

3. In all high pulse pressure cases one will find on careful auscultation over the manubrium, particularly its lower half, breath sounds which vary from bronchial to intensely tubular. At times the percussion note will be slightly impaired, as McCrae[10] has shown in dilatation of the arch of the aorta. This auscultatory sign is evidence of some more or less solid body in the anterior mediastinum which is lying on the trachea and permits the normal tubular breathing in the trachea to be audible over the upper part of the sternum. It is found in cases of dilated aortic arch. Fluoroscopic examination has confirmed the findings on auscultation.

4. In all high pulse pressure cases, in which the pulse pressure is over 70 mm. of mercury, there is increase in the size of all large distributing arteries, carotids, brachials, femorals, renals, celiac axis, etc., with fibrous changes in the media, loss of some of the elasticity, and in the palpable superficial arteries, increase in size of the pulse wave.

Increased pulse pressure means increased volume output, but does not always mean increased velocity. The proper distribution of blood to the various organs of the body is regulated by the vasomotor system acting on the small arteries which contain considerable unstriated muscle. In order that there may be enough blood at all times and under varying conditions of rest and function, there must be a proper supply coming through the distributing vessels, the large arteries, those containing much elastic tissue, and only a very small amount of unstriated muscle tissue or none whatever. Fibrous sclerosis of these vessels causes them to become enlarged and tortuous and to lose much[111] of their elasticity, which is essential for the even distribution of blood. A greater blood volume is therefore necessary in order that the organs may receive their quota of blood. A force which is sufficient to send blood through elastic normal distributing tubes becomes totally insufficient to send the same amount of blood through tortuous and more or less inelastic tubes. As a compensatory process the pulse pressure increases. For this to increase, the left ventricular cavity dilates, the arch dilates, and as a greater force must be exerted to keep the increased mass in motion, the heart responds by hypertrophy of its left ventricle and becomes itself the subject of fibrous changes in the myocardium. The mass movement of blood is therefore greater in high pulse pressure cases than in cases of normal pulse pressure.

In cases of chronic interstitial nephritis—contracted granular kidney—it may well be that the sclerosis of the arteries is a secondary process caused, as Adami thinks, by the hypertension itself. In aortic insufficiency the situation is somewhat different. The high pulse pressure is due to a very low diastolic pressure, for in my experience with uncomplicated aortic insufficiency the systolic pressure is, as a rule, not much increased above the normal for the individual's age. Here peripheral resistance is so low that a capillary pulse is common. The volume output per unit of time is greatly increased, the arch of the aorta is dilated, and the pulse is large. The fact that a large part of the blood regurgitates during diastole back into the ventricle, and the fact that the diastolic pressure is low means that there is no increased resistance to overcome, and the systolic pressure is not raised.

Stone[11] has divided the cases of hypertension into the cerebral and cardiac types. He finds that there is a difference in prognosis and in the mode of death in the two groups. He has further attempted to judge of the work placed upon[112] the heart by calculating what he calls the heart load or pressure-ratio. For example, he takes a normal pressure at 120-80-40. The relation between 80 and 40 is ½ or 50 per cent. That he considers normal. When the heart load increases so that the pulse pressure equals or exceeds the diastolic pressure, the heart load is 100 per cent or more, he considers the danger of myocardial exhaustion graver than when the heart load is normal or less than 50 per cent.

It is his opinion, in which I heartily concur, "that an individual with a systolic pressure of 200 and a diastolic pressure of 140, is in greater danger of cerebral death than an individual with a systolic pressure of 200 and a diastolic pressure of 100." He is "likewise certain that the individual with a systolic pressure of 200 and a diastolic of 90 to 100 is in greater danger of a cardiac death. It is apparently the constant high diastolic pressure rather than the intermittently high systolic pressure which predisposes to cerebral accident."

I have not been able to confirm all of Stone's conclusions. His contention holds good for some cases, but not, in my experience, for the great majority of the hypertension cases. I feel that in the classification of the chronic high pressure case we can go one step farther and split his first group into two usually differentiable groups. Syphilis is not an etiological factor in any of these groups. It is not considered that these groups are absolutely distinct and can always be rigidly separated. There are variations and combinations which render an exact separation impossible. But bearing this in mind the following classification is proposed as a working classification.

Group A. Chronic nephritis.

Group B. Essential hypertension.

Group C. Arteriosclerotic hypertension.

Group A. Chronic Nephritis. These are the cases with a high-pressure picture, that is to say, high systolic (200+) and high diastolic (120-140+). The pulse pressure is much[113] increased. The palpable arteries are hard and fibrous. There is puffiness of the under eyelids, which is more pronounced in the morning on arising. Polyuria with low specific gravity and nycturia are present. There are almost constant traces of albumin in the urine, with hyaline and finely granular casts.

Functionally these kidneys are much under normal. The functional capacity determined by Mosenthal's modification of the Schlayer-Hedinger method shows a marked inability to concentrate salts and nitrogen. The phthalein output is below normal. As the case advances the phthalein output becomes less and less, until a period is reached when there are only traces or complete suppression at the end of a two-hour period. Such patients may live for ten weeks (one of our cases) or longer, all the time showing mild uremic symptoms, and suddenly pass into coma and die.

The natural end of patients in this group is either uremia or cardiac decompensation (so-called cardiorenal disease). Cerebral accidents may happen to a small number. It is only to this group, in my opinion, that the term cardiorenal disease should be applied. Formerly I believed that all high systolic pressure cases were cases of chronic nephritis of some definite degree. From the purely pathologic standpoint that is true, but from the important, functional standpoint it is far from being the true state of the cases.

In this group there is marked hypertrophy and moderate dilatation of the left ventricle with dilatation and nodular sclerosis of the aorta. The kidneys are firm, red, small, coarsely granular, the cortex much reduced, the capsule adherent. Cysts are common. It is the familiar primary contracted kidney. Mallory calls this capsular-glomerulonephritis. The etiology is obscure. Often no cause can be found. Again, there is a history of some kidney involvement following one of the acute infectious diseases, or it may follow the nephritis of pregnancy. Usually, however,[114] these cases fall into the group of secondary contracted kidneys, chronic parenchymatous nephritis.

Illustrative Case.—R. Z., a woman, aged thirty-six years, was seen July 26, 1916, in coma. There was a history of typhoid fever at nineteen years, but no other disease. She had had nine full-term pregnancies, the last one thirteen months previously. For a week before the onset of the present illness she had complained of severe headaches and dizziness. There were no heart symptoms. For the past year she has had nycturia. Physical examination revealed tubular breathing beneath the manubrium, a few rales in the chest, an enlarged heart (left side), with a systolic murmur over the aortic area. Blood pressure was 178-125-53, the pulse rate 96, leucocytes 27,250. Venesection of 500 c.c. of blood and intravenous injections of 500 c.c. of 5 per cent NaHCO3 in normal saline were employed. Lumbar puncture withdrew 60 c.c. of clear fluid under pressure with 6 cells per cubic millimeter. The eye grounds showed distinct haziness of the disks and dilatation of the veins. Blood pressure after venesection was 164-122-42, pulse 76, but in a few days rose to 222-142-80, pulse 70. A second venesection of 400 c.c. and proctoclysis of 1000 c.c. saline solution was tried. The blood-pressure now was 198-140-58. The pH of the blood was 7.6, the alkaline reserve was 35 volume per cent (van Slyke), and the CO2 tension of the alveolar air (Marriott) was 25 mm. The phthalein on the day following the second venesection was 45 per cent in two hours. The urine at first showed 500 c.c. in twenty-four hours, specific gravity 1016, albumin and casts. Later she passed 1300 to 1600 c.c. with specific gravity around 1010. The blood-pressure fluctuated considerably, reaching as low as 138-98-40, pulse 88. She was discharged improved September 10, 1916. She had constant headache but managed to keep up. In June, 1917, she suddenly died in an uremic coma.

Group B. This one might designate as the hereditary type, although there is not always a history in the antecedent. This group includes the robust, florid, exuberantly healthy people. They often are heard to boast that they have never had a doctor in their lives. They are usually thick-set or very large, fleshy people. The pressure picture is exceedingly high. The pulse pressure is moderately increased. The arteries are rather large, fibrous, and often quite tortuous, although this is not always the case. Some persons have hard, small, fibrous arteries. There is no puffiness beneath the eyes, no polyuria, and no nycturia as a rule. The urine is of normal amount, color, and specific gravity. Albumin is only rarely found and then in traces, but careful search of a centrifuged specimen invariably reveals[115] a few hyaline casts. The phthalein excretion is normal or only slightly reduced. The kidneys excrete salt and nitrogen normally. It is in this group that apoplexy is found most frequently. The rupture of the vessel occurs when the victim is in perfect health, often without any warning. Occasionally when such a case recovers sufficiently to be around, cardiac decompensation sets in later and he dies then of the cardiac complications.

Pathologically the hearts of such persons are found to have the most enormous hypertrophy of the wall of the left ventricle. The cavity is somewhat enlarged, as is always the case when the pulse-pressure is increased, but the size of the cavity is not the striking feature. The aorta is fibrous, thick walled, and the arch is slightly dilated. There are patches of arteriosclerosis. One such case seen only at autopsy had a rupture of the aorta just above the sinus of Valsalva and died of hemopericardium. The kidneys are of normal size, dark red, firm, the capsule strips readily, the surface is smooth or finely granular, the cortex is not decreased. The pyramids are congested and red streaks extend into the cortex. Microscopically the capsules of the glomeruli are a trifle thickened; a few show hyaline changes. There is rather diffuse, mild, round-cell infiltration between the tubules. The tubular epithelium shows little or no demonstrable changes. The arterioles are generally the seat of a moderate thickening of the intima and media, but it is not usual to find obliterating endarteritis. There is evidently a diffuse fibrous change which has not affected either the tubules or glomeruli to any great extent.

Illustrative Case.—L. C., a man, aged fifty-six years, stonemason by trade, is a stocky, thick-necked individual. He had never been ill in his life until a year ago, when he fell from his chair unconscious. He had a right-sided hemiplegia which has cleared up so completely that except for a very slight drag to his foot he walks perfectly well. He came in complaining of shortness of breath and cough. There was no swelling of the feet. Here evidently was left-heart decompensation. Examination showed the blood pressure to be 240-130-110, pulse irregular, 104 to the minute. There were cyanosis and rales throughout both chests. The urine was normal in color, specific[116] gravity 1025, small amount of albumin, few casts, hyaline and granular. The phthalein elimination was 65 per cent in two hours. Under rest, purgatives, and digitalis he was much improved. He has since had two other apoplectic strokes, the last of which was fatal.

When these patients are seen with acute cardiac decompensation, there are, of course, much albumin and many casts in the urine, and the phthalein output is, for the time being, decreased.

Group C. This might be called the arteriosclerotic high-tension group (Stone's cardiac group). The cases are usually over fifty years old. They are men and women who have lived high and thought hard. Often they have had periods of great mental strain. Many men in this group were athletes in their young manhood. Many have been fairly heavy drinkers, although never drinking to excess. They are usually well nourished and inclined to stoutness. The pressure picture is high systolic with normal or only slightly increased diastolic and large pulse pressure. The arteries are large, full, fibrous, usually tortuous. The heart is very large, the apex far down and out. There is no polyuria; nycturia is uncommon, quite the exception. The urine is normal in color, amount, and specific gravity. Albumin is only rarely found and hyaline casts are not invariably present. The phthalein excretion is quite normal and the excretions of salt and nitrogen are also normal. The terminal condition in most of the patients in this group is cardiac decompensation. They may have several attacks from which they recover, but after every attack the succeeding one is produced by less exertion than the preceding one, and it becomes more and more difficult to control attacks. Eventually the patients become bed- or chair-ridden, and finally die of acute dilatation of the heart.

Occasionally patients in this group may have a cerebral attack, but in my experience this is uncommon. Pathologically the heart is large, at times true cor bovinum, dilated and hypertrophied. The cavity of the left ventricle is much dilated. The aorta is dilated and sclerosed.

[117]The kidneys are increased in size, are firm, dark red in color, with fatty streaks in the cortex. The capsule strips readily and the cortex is normal in thickness or only slightly increased. The organ offers some resistance to the knife. The microscope shows small areas scattered throughout where the glomeruli are hyalinized, the stroma full of small round cells, the tubules dilated, and the cells are almost bare of protoplasm. Naturally the tubules are full of granular cast material. Also the arterioles show extensive intimal thickening, fibrous in character, with occasional obliterating endarteritis. One gets the impression that the small sclerotic lesions are the result of anemia and gradual replacement of scattered glomeruli by fibrous tissue. For the most part the kidney, except for the chronic passive congestion, appears quite normal. One can readily understand that in such a kidney function could not have been much interfered with.

Illustrative Case.—C. K., an active, stout, business man, aged fifty-six years, consulted me on account of shortness of breath and swelling of the feet in May, 1915. He had just returned from a hospital in another city, where he had gone with what was apparently cardiac decompensation. In his early manhood he had been a gymnast and a prize winner. He has worked hard, often given way to violent paroxysms of temper, has eaten heavily but drunk very moderately. The heart was greatly enlarged, the arch of the aorta dilated, a mitral murmur was audible at the apex. The radials and temporals were large, tortuous, and fibrous. The blood pressure picture ranged around 180-90-90. He was easily made dyspneic and had a tendency to swelling of the lower legs. The urine was acid, of normal specific gravity, normal in amount, normal phthalein, normal concentration of salt and nitrogen, contained albumin only when he was suffering from decompensation of the heart. Casts were always found. He finally died, after sixteen months, with all the symptoms of chronic myocardial insufficiency. The heart was enormous, a true cor bovinum. The kidneys were typical of this condition, possibly somewhat larger than usual.

Hypotension

When the pressure is constantly below the normal, it is called hypotension. This may be transient—as in fainting—it may be a normal state of the individual, it occurs in[118] most fevers and in a great variety of diseases, including anemias.

In arteriosclerosis, especially the diffuse (senile) type, the blood pressure is invariably low, and may be spoken of as hypotension. The heart in such a case is small, the muscle is flabby, there is brown atrophy of the fibers, and some replacement of the muscle cells by connective tissue. The same causes which have produced general arteriosclerosis have also produced sclerosis of the coronary arteries, and probably the lessened blood supply accounts for much of the atrophy of the heart muscle.

In typhoid fever the maximum blood pressure during beginning convalescence may be as low as 65 mm. Hg. I have frequently seen hypotension of 80 mm. This is common.

Meningitis is the only acute infectious disease in which the blood pressure is more often high than low. This is accounted for by the increased intracranial tension.

Following large hemorrhages the blood pressure is reduced. In venesection the withdrawal of blood may not affect the blood pressure. The procedure is done to relieve overdistension of the heart.

In pleurisy with effusion and in pericarditis with effusion there is hypotension.

Collapse, whether from poisoning by drugs or as the result of dysentery, cholera, or profuse vomiting from whatever cause, reduces the blood pressure.

In cachectic states, such as cancer, the blood pressure is low. General wasting of the whole musculature includes that of the heart and the heart muscle shows the condition known as "brown atrophy."

A most interesting and important condition in which hypotension occurs is pulmonary tuberculosis. Haven Emerson has recently gone over the whole subject in a careful piece of work and his summary is as follows:

"Hypotension or subnormal blood pressure is universally[119] found in advanced pulmonary tuberculosis, in which condition emaciation may play a part in its causation. Hypotension is found in almost all cases of moderately advanced tuberculosis, or in early cases in which the toxemia is marked except when arteriosclerosis, the so-called arthritic or gouty diathesis, chronic nephritis, or diabetes complicate the tuberculosis and bring about a normal pressure or a hypertension. Occasionally the period just preceding a hemoptysis or during a hemoptysis may show hypertension in a patient whose usual condition is that of hypotension.

"Hypotension has been found by so many observers in early, doubtful or suspected cases with or before physical signs of the disease in the lungs, and is considered by competent clinicians so useful a differential sign between various conditions and tuberculosis, that it should be sought for as carefully as it is the custom at present to search for pulmonary signs.

"Hypotension when found persistently in individuals or families or classes living under certain unhygienic conditions should put us on our guard against at least a predisposition to tuberculosis. Most unhygienic conditions, overwork, undernourishment and insufficient air, are of themselves causes of a diminished resistance, and it seems likely that a failure of normal cardiovascular response to exercise or change of position may be found to indicate this stage of susceptibility, especially to tuberculous infection.

"... Hypotension, when it is present in tuberculosis, increases with an extension of the process. Recovery from hypotension accompanies arrest or improvement. Return to normal pressure is commonly found in those who are cured. Continuation of hypotension seems never to accompany improvement. Prognosis can as safely be based on the alteration in the blood pressure as on changes in the pulse or temperature...."

There are a few drugs which lower the blood pressure,[120] but, as a rule, their effects are more or less transitory. We know of no drug, unless it be iodide of potassium, which has the property of causing changes in the blood (decrease in viscosity?), which tends to reduce the blood pressure when it is excessive. This drug fails us many times.

SOME DRUGS WHICH INFLUENCE THE BLOOD PRESSURE

Pressure Raisers

Adrenalin, when injected directly
into a vein or deep into the muscles.
The action is transitory.

Caffeine, preferably in the form
of caffeine-sodium-benzoate. A good
drug.

Strychnine, which does not act directly
but seemingly through the
higher centers.

Ergot, somewhat uncertain.

Nicotine, not used therapeutically.

Camphor, used in sterile olive oil
and injected deeply into the muscles.

Digitalis, when the cardiac tone is
low and decompensation is present.
Its action is prolonged but slow. Injections
of the infundibular portion
of the pituitary body. Not in use
clinically.


Pressure Depressors

Nitroglycerine and amyl nitrite,
action transitory but rapid.

Sodium nitrite and erythrol tetranitrate.
Action somewhat more prolonged.

Aconite, veratrum viride, chloral,
etc. These depress the heart.

Purgatives, drastic and hydragogue.

Potassium and sodium iodide may
lower blood pressure. When they do,
the action is prolonged.

Diuretin and theocin-sodium-acetate.

Venous Pressure

Comparatively little work has been done upon the determination of the pressure in the veins in man. It is conceivable that this procedure may, at times, be of great value. A number of attempts have been made to measure the venous pressure by compressing the arm veins and noting on a manometer the force necessary to obliterate the vein. As the pressure is so slight, water is used instead of mercury, and readings have been given in centimeters of water.

Fig. 33.—Apparatus for estimating the venous blood pressure in man, devised by
Drs. Hooker and Eyster. The small figure is the detail of the box B. See explanation
in text. Fig. 33.—Apparatus for estimating the venous blood pressure in man, devised by Drs. Hooker and Eyster. The small figure is the detail of the box B. See explanation in text.

In the apparatus shown in the figure (Fig. 33), Drs. Hooker and Eyster succeeded in making estimations of the venous pressure. The box B is held in position by the tapes A, so that the vein is visible through the rectangular opening in the thin rubber covering the bottom. The box is connected with the water manometer G, by a rubber tube, from which a T-tube enters the rubber bulb E. When the bulb E is compressed between the plates D, by the coarse[121] thumbscrew C, air is forced into the box B, exerting a pressure on the vein lying exposed beneath. This pressure is transmitted directly to the manometer G, and may be read off in centimeters of water on the accompanying scale. The veins of the back of the hand are used and there must be no obstruction between them and the heart. The rubber-covered box is accurately and lightly fitted over a vein and pressure made until it is obliterated. By measuring the distance above or below the heart level that the hand was when the observation was made, and subtracting or adding[122] these figures to the manometer reading, we obtain the venous pressure at the heart level.

Eyster has modified this instrument so that it is now much simpler to operate. He uses a small glass cup with a flaring edge and a diameter of about 2 cm. This is sealed to the skin directly over a vein on the back of the hand by means of collodion. The stem of the cup has a rubber tube leading to a small hand bulb and to the manometer tube which contains colored water. Slight compression of the hand bulb obliterates the vein which can be seen through the glass cup. The pressure in centimeters of water is then read off. (Fig. 34.) The principle is the same as in the earlier instrument, but the application is easier.

Fig. 34.—New venous pressure instrument. (After Eyster.) Fig. 34.—New venous pressure instrument. (After Eyster.)

Practically Hooker and Eyster found that the normal variation in healthy subjects was from 3 to 10 cm. of water. The pressure rose in cases of decompensated hearts with[123] dyspnea and venous stasis, and returned to normal with improvement in the condition of the patient. It might be possible with this instrument to foretell an oncoming decompensation by the rise in venous pressure.

The venous pressure may also be estimated roughly by slowly elevating the arm and noting the instant at which a particular vein collapses. By measuring the height of the vein above the heart some idea may be obtained of the pressure within the right auricle.

The Pulse

There is nothing characteristic about the pulse of a person suffering from arteriosclerosis, except it be the difference in the pulse of high tension and of low tension. The pulse of high tension has a gradual rise, a more or less rounded apex, and the dicrotic wave is slightly marked and occurs about half-way down on the descending limb. In arteriosclerosis with low tension the radial artery is usually so rigid that very little pulse wave can be obtained. The general form of a low tension pulse is a sharp upstroke, a pointed summit, and a secondary wave on the base line, which corresponds to the dicrotic wave. Such a pulse can be easily palpated, and is known as a dicrotic pulse. However, such a pulse can occur only when the artery still retains all or a large part of its elasticity; hence in arteriosclerotic low tension we would never see such a pulse as the typical dicrotic.

The Venous Pulse

It would carry us too far to discuss fully the character of the venous pulse, but a brief summary of the essential features of the normal venous pulse is presented. The venous pulse is a term used to express the tracing obtained from the internal or external jugular vein at the root of the neck. Normally a very characteristic curve is produced, which can be readily analyzed into a series of waves corresponding[124] to the fluctuations in the cardiac cycle. To understand these waves and their values, the accompanying figure is helpful. (Fig. 35.)

Fig. 35.—Semidiagrammatic representation of the events in the cardiac cycle: Jug.,
pulse in the jugular vein; Aur., contraction of auricle; V. Pr., intraventricular pressure;
Pap. M., contraction of the papillary muscles; Car., carotid pulse. Below are
given the times of occurrence of the heart sounds and of the opening and closing of
the heart valves. (After Hirschfelder.) Fig. 35.—Semidiagrammatic representation of the events in the cardiac cycle: Jug., pulse in the jugular vein; Aur., contraction of auricle; V. Pr., intraventricular pressure; Pap. M., contraction of the papillary muscles; Car., carotid pulse. Below are given the times of occurrence of the heart sounds and of the opening and closing of the heart valves. (After Hirschfelder.)

Bachmann summarizes the normal waves in the venous pulse tracing as follows:

"The physiological or so-called venous pulse consists of three positive and three negative waves, bearing a more or less definite relation to the events of the cardiac cycle, and having their origin in the various movements of the chambers and structures of the right heart. The first positive wave (a) is presystolic in time, and is due to the contraction of the auricle, causing a slowing of the venous current and producing a centrifugal wave through a sudden arrest of the inflowing blood. The second positive wave (S) is presystolic in time, and originates in the sudden projection[125] of the tricuspid valve into the cavity of the auricle during the quick, incipient rise in the intraventricular pressure occurring in the protosystolic period. The third positive wave (v) occurs toward the end of ventricular systole. It consists of two lesser waves separated by a shallow notch. The factors entering into its formation are the relaxation of the papillary muscle at a time when the intraventricular is still higher than the intraauricular pressure, resulting in an upward movement of the tricuspid leaflets and a return of the auriculoventricular septum to its position of rest.

[126]"The first negative wave (between positive wave a and S) is due to the relaxing auricle. The second negative wave (Af) occurs during the diastole of the auricle. It is due to the dilatation of its walls, to the displacement of the auriculoventricular septum toward the apex occurring at the time of ventricular systole, and to the pull of the papillary muscles on the tricuspid valve leaflets. The third negative wave (Vf) appears during ventricular diastole and in the common pause of the heart chambers. Its cause is found in the passage of the blood from the auricle into the ventricle. It is somewhat modified possibly by the continual ascent of the auriculoventricular septum and by a wave of stasis due to the accumulation of blood coming from the periphery." (Fig. 36.)

Fig. 36.—Simultaneous tracings of the jugular and carotid pulses showing normal waves
in the venous pulse and relation to carotid pulse. (After Bachmann.) Fig. 36.—Simultaneous tracings of the jugular and carotid pulses showing normal waves in the venous pulse and relation to carotid pulse. (After Bachmann.)

Hirschfelder has described another wave which he calls the "h" wave, which is due to the floating up of the tricuspid valve by the blood in the ventricle before the complete filling of the ventricle following the auricular systole. (Fig. 37.)

Fig. 37.—Jugular and carotid tracing from a normal individual with a well-marked
third heart sound showing a large "h" and a smaller pre-auricular wave "w." ? indicates
a small wave in mid-diastole following the "h" wave, occasionally found though
perhaps an artefact. (After Hirschfelder.) Fig. 37.—Jugular and carotid tracing from a normal individual with a well-marked third heart sound showing a large "h" and a smaller pre-auricular wave "w." ? indicates a small wave in mid-diastole following the "h" wave, occasionally found though perhaps an artefact. (After Hirschfelder.)

The Electrocardiogram

In the past few years an immense amount of work has been done by numerous observers on the changes in the electrical potential of the various portions of the heart during contraction. The very elaborate and delicate electrocardiograph with the string galvanometer devised by Einthoven is used. It has been definitely determined that the impulse to cardiac contraction originates in the sinus node, a collection of differentiated nerve cells situated at the junction of the superior vena cava with the right auricle. From there the impulse travels in certain fibers in the interauricular wall, passes through another node, the auriculoventricular or Tawara node, situated in the auricular wall just above the auriculoventricular ring, thence via the Y-bundle, or bundle of His to the ventricles. This sequence[127] is orderly, regular, and normally invariable. (Fig. 38.)

Fig. 38.—Right side of the heart showing diagrammatically the distribution of the
two vagus nerves to different parts of the viscus....(Hare's Practice of Medicine.) Fig. 38.—Right side of the heart showing diagrammatically the distribution of the two vagus nerves to different parts of the viscus. The impulse to contraction originates at the sino-auricular node and passes over the wall of the auricle to Tawara's node, and thence over His' bundle across the auriculoventricular septum to be distributed throughout the ventricular wall. If the upper, sino-auricular, node is damaged, or if its impulses fail to get across the wall of the auricle, Tawara's node acts in its place to start off the ventricle. If a lesion at the base of the mesial segment of the tricuspid valve damages His' bundle, so that Tawara's node is cut off from the ventricle, then the ventricle may originate its own impulses to contraction. (Hare's Practice of Medicine.)

The sino-auricular (s-a) node is the most irritable portion of the heart, it is endowed with the greatest amount[129] of rhythmicity as well. It is under the control of the vagus nerve. Its inherent rate of rhythmicity is probably more rapid than the usual numbers of impulses per minute, but it is inhibited by the vagus. Paralysis of the vagus endings increases the rate of impulse formation and therefore the rate of the heart.

The electrocardiogram is a graphic representation on a photographic film or sensitive bromide paper of the changes of electrical potential during muscular activity. The lines are made by the highly magnified string of the galvanometer as it moves across the slit in the photographic apparatus in response to the induction currents set up in the heart magnified by the special galvanometer.

The record is made in three so-called Leads.

Lead I

The electrodes are attached to right arm and left arm.

Lead II

The electrodes are attached to right arm and left leg.

Lead III

The electrodes are attached to left arm and left leg.

A series of regular figures is normally obtained in which are depressions and elevations and regular spacing of these elevations and depressions. The waves so-called have been arbitrarily designated P, Q, R, S, T. There is some difference in the three leads. "The wave P is positive in all leads. P to R interval varies slightly in the three leads. All the waves of Lead II are greater than those of Leads I and III. The wave R is positive in all leads. T is usually positive in all leads, but is occasionally negative in Lead III. Even in normal individuals there is a considerable range of variation in the electrocardiogram which is within the limits of the normal." (Hart.) (Fig. 39.)

Fig. 39.—Normal electrocardiogram. (After Hart.) Fig. 39.—Normal electrocardiogram. (After Hart.)

The P wave is admitted to be the wave of auricular contraction. Q, R, S, is the ventricular complex caused, it is[130] thought, by the current passing over the ventricles. T wave is not yet definitely settled. It has been thought by some that it represented actual ventricular contraction and its height and shape had some meaning in heart force. This is denied by others. Hart defines it as "The final activity of the ventricle." The T wave is usually increased in size during exercise.

The P-R interval is almost the most important feature of the tracing. It is the actual conduction time in fractions of a second of the impulse from s-a node to the ventricles. Normally this is about 0.2 second or slightly less. Much that was hoped for from the electrocardiograph in the clinic has not been forthcoming. Its greatest value is in states of abnormal conductivity, such as various grades of heart block, extrasystoles, whether originating in auricles or in either ventricle, abnormalities of rhythm, as flutter and fibrillation. It has, however, aided materially in the intelligent interpretation of many phenomena heretofore not well understood, and has enormously increased our knowledge of the physiology and pathologic physiology of the heart.

It is not possible to enter farther into the subject here. This brief discussion must suffice. The reader is referred to works on this subject in connection with diseases of the heart.


[131]

CHAPTER IV.

IMPORTANT CARDIAC IRREGULARITIES ASSOCIATED WITH ARTERIOSCLEROSIS

Arteriosclerosis of the aorta, of the coronary arteries, or of both, is practically always found in cases dying of various cardiac irregularities other than those the result of rheumatic cardiac lesions. It is not that arteriosclerosis causes the cardiac lesions (although the thickening of the walls of the coronary arteries does interfere mechanically with the nutrition of the heart muscle), but the arteriosclerosis is a part of the tissue reaction in the arteries to some set of causes affecting the whole body. It is true when one boils down the question to its last analysis, general arteriosclerosis may mechanically so interfere with the blood supply to tissues that the tissue is thrown out of function either in the reduction or even loss of function. So it may be that occasionally the arteriosclerosis in the arteries supplying the heart is really responsible for the cardiac irregularity. The past few years have been fruitful ones in increasing our knowledge of the various irregularities of the heart. We can do no more than sketch briefly some of them in relation to arteriosclerosis.

The chief irregularities are (1) auricular flutter, (2) auricular fibrillation, (3) ventricular fibrillation, (4) auricular extrasystole, (5) ventricular extrasystole, (6) heart block, partial or complete.

Auricular Flutter

Auricular flutter is an abnormal rhythm characterized by very rapid, but rhythmic auricular contractions usually 250 to 300 per minute. The auricular contractions are so rapid that the ventricle can not respond, so that an electrocardiagram[132] of a heart in such a state (Fig. 40) shows the ventricle beating regularly but at a much slower rate than the auricle.

Fig. 40.—(After Hart.) Fig. 40.—(After Hart.)

The majority of cases exhibiting this peculiar rhythm are over 40 years of age. In many cases sclerosis of the coronary arteries as a part of general arteriosclerosis has been found. Auricular flutter can be suspected when the pulse is regular or not particularly irregular and a fluttering, rapid pulsation is seen in the jugular vein on the right side. One can only be sure of the condition by making graphic records of the heart.

[133]Attacks usually come on suddenly and may disappear as suddenly, suggesting paroxysmal tachycardia. The patient feels a commotion in his chest, dyspnea, precordial distress, etc. The attack may last for weeks or months, in which case the patient may carry on his usual work but be conscious of palpitation in his chest. One may safely assume that the flutter is a sign of a failing myocardium and sooner or later the heart will pass to the graver stage of auricular fibrillation.

Auricular Fibrillation

In this condition the auricle is widely dilated and over its surface are countless twitchings of individual muscles giving to the auricle the appearance of a squirming bunch of worms. Such a condition may be readily produced in a dog's exposed heart by direct faradization of the auricle. It should be seen by every physician in order fully to appreciate the passive, dilated sac part which the auricle plays when in such a state. There is no auricular wave on the electrocardiogram (Figs. 41 and 42) only a series of fine tremulous lines, and the ventricles beat irregularly with many dropped beats and variations in the size and force of individual beats. Extrasystoles are also frequent. The heart is absolutely irregular. Such a condition is readily recognizable as the state of broken compensation. Graphic records are not essential as in auricular flutter to establish the condition. Inspection of the root of the neck for jugular pulsations and examination of the pulse with the patient's evident dyspneic, cyanotic, edematous condition settles the diagnosis.

Fig. 41.—Electrocardiogram showing auricular fibrillation in Leads I (upper) and II
(middle and lower). (Courtesy of Dr. G. C. Robinson.) Fig. 41.—Electrocardiogram showing auricular fibrillation in Leads I (upper) and II (middle and lower). (Courtesy of Dr. G. C. Robinson.)
Fig. 42.—Auricular fibrillation. (After Hart.) Fig. 42.—Auricular fibrillation. (After Hart.)

In no case of auricular fibrillation is the heart muscle free from extensive fibrous changes. These may be the result of general arteriosclerotic changes or may result from toxic changes. It is the general consensus of opinion that auricular fibrillation may persist for months or even years. Some hold that the state of perpetual irregular pulse is associated with auricular fibrillation. If that is true, then[135] auricular fibrillation may last for many years. Patients may go about their work but always live with the imminent danger of a sudden dilatation of the ventricle and symptoms of acute cardiac decompensation.

In these cases the blood pressure is of particular interest. It is often stated that the blood pressure is lowered as compensation returns and digitalis has exhibited its full action. As a matter of fact this statement needs some modification. If one takes the highest pressure at the strongest beat, which may be only one in a dozen or more, that may be true, but that does not represent the action of the much embarrassed heart. We know that the circulation is much interfered with, that there is hypostatic congestion, that the mass action is slow. The pulse pressure is greatly disturbed and the head of pressure which should force the blood to the periphery is so little that the circulation almost ceases.

A count of the cardiac contractions heard with the stethoscope and a count of the pulse shows a great discrepancy in number. This has been called the "pulse deficit" (Hart). In order to arrive at the true average systolic pressure the following procedure is done. "The apex and radial are[136] counted for one minute, at the same time by two observers, (if possible) then a blood pressure cuff is applied to the arm, and the pressure raised until the radial pulse is completely obliterated; the pressure is then lowered 10 mm., and a second radial count is made; this count is repeated at intervals of 10 mm. lowered pressure until the cuff-pressure is insufficient to cut off any of the radial waves (between each estimation the pressure on the arm should be lowered to zero). From the figures thus obtained the average systolic blood pressure is calculated by multiplying the number of radial beats by the pressures under which they came through, adding together these products and dividing their sum by the number of apex-beats per minute, the resulting figure is what we have called the 'average systolic blood pressure.'" (Fig. 43.)

Fig. 43.—The shaded area represents the pulse deficit; the upper edge is the apex
rate, the lower edge the radial rate. The broken line indicates the "average systolic
blood pressure." (Compare these values with the figures at the bottom of the chart,
which show the systolic blood pressure determined by the usual method.) (After Hart.) Fig. 43.—The shaded area represents the pulse deficit; the upper edge is the apex rate, the lower edge the radial rate. The broken line indicates the "average systolic blood pressure." (Compare these values with the figures at the bottom of the chart, which show the systolic blood pressure determined by the usual method.) (After Hart.)

For example: "B. S., April 29, 1910, Apex 131; radial, 101; deficit, 30.

BRACHIAL PRESSURE RADIAL COUNT
100 mm. Hg.                      0
90  mm.                          13                  13 x 90 = 1170
80  mm.                      47 - 13 =           34 x 80 = 2720
70  mm.                      75 - 47 =           28 x 70 = 1960
60  mm.                      82 - 75 =             7 x 60 =   420
50  mm.                    101 - 82 =           19 x 50 =   950
——
Apex = 131) 7220
——
Average systolic blood-pressure 55 plus

B. S., May 11, 1910, Apex 79; radial, 72; deficit 7.

BRACHIAL PRESSURE RADIAL COUNT
120 mm. Hg.                                                             0
110 mm.                           44                 44 x 110 = 4840
100 mm.                       64 - 44 =          20 x 100 = 2000
90 mm.                       72 - 64 =             8 x  90 =   720
——
Apex = 79) 7560
——
Average systolic blood-pressure 95 plus"

The diastolic pressure in these cases can not be determined except approximately. This may be done by using an instrument with a dial and noting the pressure where the oscillations of the dial hand show the maximum excursion. The diastolic pressure is not at all important under such conditions of acute cardiac breakdown. It would make no difference in treatment whether the case was one[138] of pure cardiac disease or one of the hypertension groups. After the heart has rallied and the circulation is reestablished, then a careful determination of the diastolic pressure can be made and the prognosis will rest on what is found at the compensated stage.

Ventricular Fibrillation

Ventricular fibrillation as its name implies, is fibrillation of the ventricle analogous to that of the auricle, but the condition is rarely observed as it is incompatible with life. It has been shown that hearts at the time of death at times enter a state of fibrillation of the ventricles and that cases of sudden death may be due to this condition. Recently G. Canby Robinson[12] has seen and made electrocardiograms of a case of ventricular fibrillation. (Fig. 44.) The case was that of a woman forty-five years old, "who had a series of attacks of prolonged cardiac syncope, closely resembling Stokes-Adams syndrome, from which she recovered." During an attack of unconsciousness in which there was no apex beat for about four minutes, the electrocardiogram was taken. Following this the tracings showed an almost regular heart beating at the rate of 85 to 100 per minute. The patient had three convulsions and died with edema of lungs about 30 hours after the attack of ventricular fibrillation.

Fig. 44.—Upper curve. Record obtained during period of cardiac syncopy at 2:48 p.m., Lead II. Lower curve from dog.
Ventricular fibrillation observed in the exposed heart. Lead from right foreleg and left hind leg. (Courtesy of Dr. G. C. Robinson.) Fig. 44.—Upper curve. Record obtained during period of cardiac syncopy at 2:48 p.m., Lead II. Lower curve from dog. Ventricular fibrillation observed in the exposed heart. Lead from right foreleg and left hind leg. (Courtesy of Dr. G. C. Robinson.)

Autopsy revealed chronic fibrous endocarditis of aortic and mitral valves, arteriosclerosis, bilateral carcinoma of the ovaries, and signs of general chronic passive congestion.

It is possible that the syncopal attacks in this case were the result of sclerosis of the vessels supplying the heart muscle although careful microscopical examination did not throw much light on the ultimate cause.

Extrasystole

Whenever there is a dropped beat or an intermittent pulse one may be sure that it is the result of an extrasystole.[139] Such extrasystoles are produced in the ventricle at some point other than the regular path of conduction of impulses. The extrasystole may have its origin in either the auricle or the ventricle. If there is auricular extrasystole it can not usually be recognized except by graphic methods. (Fig. 45.) The ventricular extrasystole on the contrary is commonly seen and readily recognized. Most of those seen in the clinic have their origin in some part of the ventricular wall. Their two characteristics are that they occur too early and that they are followed by a pause longer than the normal diastolic pause. (Fig. 46.)

Fig. 45.—Electrocardiogram showing auricular extrasystoles (P). (Courtesy of Dr. G. C.
Robinson.) Fig. 45.—Electrocardiogram showing auricular extrasystoles (P). (Courtesy of Dr. G. C. Robinson.)
Fig. 46.—Electrocardiogram showing ventricular extrasystole. Heart rate 56-60
beats per minute. Note that diastolic pause in which extrasystole occurs is practically
equal to two normal diastolic pauses. (Courtesy of Dr. G. C. Robinson.) Fig. 46.—Electrocardiogram showing ventricular extrasystole. Heart rate 56-60 beats per minute. Note that diastolic pause in which extrasystole occurs is practically equal to two normal diastolic pauses. (Courtesy of Dr. G. C. Robinson.)

When one listens over the chest to a heart when extrasystoles are occurring, one suddenly hears a weak beat[140] which has taken place rather too early after the previous systole to be strong enough to effect the opening of the aortic valves. Consequently there is no pulse, the blood does not move, and that beat is lost to the circulation. Moreover, when the next regular stimulus comes from the s-a node it finds the ventricle in a refractory condition, having just ceased a contraction, and it is not until the next sinus impulse that the ventricle responds normally. (Fig. 46.)

Patients who have occasional extrasystoles will say that all of a sudden the heart turns upside down in the chest. Sometimes there is slight sharp twinge of pain. Patients are at times quite alarmed about their condition. Provided there is no evidence of gross myocardial lesion, the extrasystole itself is of no great significance.

While many cases showing pathologic causes for extrasystoles have more or less marked arteriosclerosis, there are other states in which no arteriosclerosis is found where the extrasystole is present.

Heart Block

As heart block occurs frequently in cases characterized by extensive arteriosclerosis, a brief discussion of the essential features will be given. It is, however, probable that arteriosclerosis is not the cause of any of the cases of heart block directly, but it is only a result of the same etiological conditions which produce the lesion or lesions which result in heart block. We may define heart block as the condition in which the auricles and ventricles beat independently of each other. There may be delayed conduction (Fig. 47), partial (Fig. 48), or complete heart block (Fig. 49). In the former there are ventricular silences, during which the auricles beat two, three, four, five, even up to nine times, with only one ventricular contraction. It is believed by most physiologists that the essential factor in the production of heart block is an interference in the conduction of[141] impulses from the auricles to the ventricles through the band of tissue known as the auriculoventricular bundle.

Fig. 47.—Electrocardiogram showing delayed conduction (lengthening of P-R interval).
These P-R intervals are quite regular. When irregular there is apt to be extrasystole
of ventricle or occasional blocking of impulse going to ventricle. (Courtesy of
Dr. G. C. Robinson.) Fig. 47.—Electrocardiogram showing delayed conduction (lengthening of P-R interval). These P-R intervals are quite regular. When irregular there is apt to be extrasystole of ventricle or occasional blocking of impulse going to ventricle. (Courtesy of Dr. G. C. Robinson.)
Fig. 48.—Electrocardiogram showing partial heart-block in the three leads. Note
the variability of P-R interval calculated in seconds in Lead II. (Courtesy of Dr.
G. C. Robinson.) Fig. 48.—Electrocardiogram showing partial heart-block in the three leads. Note the variability of P-R interval calculated in seconds in Lead II. (Courtesy of Dr. G. C. Robinson.)
Fig. 49.—Complete heart block. (Courtesy of Dr. G. C. Robinson.) Fig. 49.—Complete heart block. (Courtesy of Dr. G. C. Robinson.)

The bundle of muscles described by His in 1905, connecting the auricles and ventricles, has been definitely shown to be the path through which impulses having their origin in the orifices of the great veins pass to the ventricles.[142] The situation and size of this bundle has been thus described in man by Retzer:

"When viewed from the left side, the bundle lies just above the muscular septum of the ventricles and below the membranous septum. In some hearts the muscular septum is so well developed that it envelops the bundle. It is then difficult to find, but occasionally it can be seen directly by means of transmitted light. From the left side the bundle can be followed no farther posteriorly than the right fibrous trigone, for here the connective tissue becomes so dense that it is difficult to dissect it away. The impression is, therefore, received that this mass of connective tissue forms the insertion of the bundle. The bundle may be followed anteriorly until it becomes intimately mixed with the musculature of the ventricles.

[143]"When viewed from the right side of the heart, the bundle can not be seen, because it is covered by the mesial leaflet of the tricuspid valve, whose line of attachment passes obliquely over the membranous septum. Then, if the endocardium is removed from the posterior part of the septum of the auricle up to the membranous septum, the posterior part of the auriculoventricular bundle will be exposed. If, in addition, the membranous septum be removed, the bundle may be traced from the point to which it could be followed when viewed from the left side as it passes posteriorly over the muscular septum. In the region of the auriculoventricular junction it loses its compactness, the fibers divide, and the bundle seems to fork. One branch passes into the superficial part of the valve musculature which descends from the auricles, and the other branch passes directly into the musculature of the auricle.

"Briefly, the auriculoventricular bundle runs posteriorly in the septum of the ventricles about 10 mm. below the posterior leaflet of the aortic semilunar valves; with a gentle curve it passes posteriorly just over the upper edge of the muscular septum and sends its fibers into the musculature of the right auricle and of the auricular valves. In the heart of the adult the bundle is 18 mm. long, 2.5 mm. wide, and 1.5 mm. thick." (Erlanger.)

All normal impulses have their origin in the sino-auricular node at the junction of the superior vena cava with the right auricle (Fig. 50). From there the impulse travels in the wall of the auricle in the interauricular septum to the node of Tawara or A-V node (Fig. 51), thence through the bundle of His to be distributed to the fibers of the right and left ventricles. This sequence is orderly and perfectly regular.

Fig. 50.—Showing alternating periods of sinus rhythm and auriculoventricular rhythm.
(After Eyster and Evans.) Fig. 50.—Showing alternating periods of sinus rhythm and auriculoventricular rhythm. (After Eyster and Evans.)
Fig. 51.—Period of auriculoventricular or "nodal" rhythm following exercise in sitting
posture. (After Eyster and Evans.) Fig. 51.—Period of auriculoventricular or "nodal" rhythm following exercise in sitting posture. (After Eyster and Evans.)

It has also been shown that the independent auricular and ventricular rates vary somewhat, that of the auricle being in general faster than that of the ventricle. A strip of mammalian ventricle placed outside of the body in[144] proper surroundings will begin to beat automatically at the rate of about 40 beats a minute. Experimentally various grades of heart block have been produced in the dog's heart by more or less compression of the bundle at the A-V ring. The block may be partial, when two to nine auricular beats occur to every one of the ventricle, up to absolute[145] complete block when the auricles and ventricles beat independently of one another.

In any stage of partial block, pressure on the vagus nerve[146] in the neck produces certain specific changes. (Fig. 52.) Robinson and Draper[13] have found qualitative differences in the two vagi. The right vagus sends most of its fibers to the s-a node (Fig. 53) and has a more evident influence on the rate and force of the cardiac contractions. The majority of fibers from the left vagus are distributed to the A-V node so that its most evident action is upon the conductivity of the impulse. Pressure then on the right vagus will have a tendency to slow the whole heart. Pressure on the left vagus will have a tendency to prolong the P-R interval until even complete block occurs. Even when the heart block is complete, stimulation of the accelerator nerve, as a rule, increases the rate of both auricles and ventricles.

Fig. 52.—Influence of mechanical pressure on the right vagus nerve. (After Eyster
and Evans.) Fig. 52.—Influence of mechanical pressure on the right vagus nerve. (After Eyster and Evans.)
Fig. 53.—Schematic distribution of right and left vagus. (After Hart.) Fig. 53.—Schematic distribution of right and left vagus. (After Hart.)

If the block is functional, depending upon some temporary overstimulation of the vagus nerve, atropin, which paralyzes the endings of the vagus, will naturally lift the block. If the block is due to some actual lesion of the bundle of His, such as fibrosis, gumma, or other lesion, then atropin will have no influence to terminate the block. In this manner we are able to distinguish between functional and organic heart block.


[147]

CHAPTER V.

BLOOD PRESSURE IN ITS CLINICAL APPLICATIONS

It is well to bear constantly in mind the point made over and over in this work, that blood pressure is only one of many methods of acquiring information. He who worships his sphygmomanometer as a thing apart and infallible will sooner or later come to grief. Judgment must be used in interpreting changes in blood pressure just as judgment is essential in properly evaluating any instrumental help in diagnosis. One must not forget the personal equation which enters into even accurate instrumental recording in medicine and surgery.

In this chapter there will be no attempt to quote largely from what others have said or thought. Every one has his own opinion as to the value of certain methods after he has worked with them for a long time. The ideas here expressed, except in cases where no opportunity has offered to make personal studies, are those gathered from personal experience.

Blood Pressure in Surgery

Careful estimation of the blood pressure in surgical cases has, at times, great value. In all surgical diseases the most important fact to know is not the systolic pressure, but the pulse pressure. If the pulse pressure keeps within the range of normal, does not drop much below 30 mm. in an adult, then so far as we can tell the circulation is being carried on. When the systolic pressure is gradually falling and the diastolic remains the same, the circulation is failing and unless the pulse pressure can be established again the patient will die. Again we see the value of the pulse pressure.

[148]All prolonged febrile diseases tend to produce a lowering of the blood pressure picture. The diastolic does not fall to the same extent as the systolic so that there is a pulse pressure smaller than normal. This is to be expected from what we know of the general depression of the circulation in fevers. The blood pressure reading is only a graphic record of what we have long known, and enables us from day to day accurately to measure the general circulation.

Head Injuries

It was claimed that in fracture of the skull or in concussion much could be gained by frequent estimations of the blood pressure. This seemed probable in the light of experiments on compressing the brains of dogs by the use of bags inserted through trephine openings (Cushing). In the clinic, however, it has not been found of any material value. It has a value in differentiating a simple fracture, let us say, from a case of uremia which is picked up on the street with a bump on the head. There the high pressure usually found would at once direct attention to the kidneys and the newer methods of blood examination would at once settle the question. Naturally uremics may also have skull fracture. There the diagnosis would be complicated. A decompression done at once would be indicated. If the skull fracture happened in a uremic, the decompression would probably do no harm. In fact, there are some who advise decompression for uremia.

Shock and Hemorrhage

In shock the blood pressure picture is low but the pulse pressure drops to abnormally low figures. It seems to me that the blood pressure instrument has its greatest value in surgery in the warning it gives to the operating surgeon in cases of impending shock.

It is well known that the first effect of ether, the commonly[151] used anesthetic, is to raise the blood pressure and quicken the pulse rate. The whole blood pressure picture is at first elevated (Fig. 54). Soon the whole pressure falls slightly but continues at a higher level than normal. The diastolic pressure drops back nearly to normal and the increased pulse pressure is due almost entirely to the slight rise in the systolic pressure. Now the whole duty of the anesthetist is to administer the ether so that this ratio of systolic and diastolic is maintained throughout the operation. Warning comes to him of impending shock before it comes to any one in the neighborhood (Fig. 55). Any sudden change in the pressure is a signal for increased watchfulness. Should the pressure all at once drop he can immediately notify the surgeon and institute measures to resuscitate the patient.

Fig. 54.—Blood pressure record from a normal reaction to ether. Note that the
systolic and diastolic rise and fall together. At the end of the anesthetization the pulse
pressure is practically the same as at the beginning. Compare this with the record in
Fig. 55, where the operation had to be discontinued on account of the onset of shock. Fig. 54.—Blood pressure record from a normal reaction to ether. Note that the systolic and diastolic rise and fall together. At the end of the anesthetization the pulse pressure is practically the same as at the beginning. Compare this with the record in Fig. 55, where the operation had to be discontinued on account of the onset of shock.
Fig. 55.—Beginning of operative shock. Chart showing the method of recording blood pressure
during operation.

Note that the pulse and respiration show no remarkable changes, but the blood pressure
steadily fell, the systolic more than the diastolic so that the pulse pressure was gradually reaching
the danger point. Further work on this case was stopped following the warning given by the
blood pressure. The patient was returned to the ward and a week later anesthesia was again
given, the operation was completed, and the patient had a satisfactory convalescence. Fig. 55.—Beginning of operative shock. Chart showing the method of recording blood pressure during operation. Note that the pulse and respiration show no remarkable changes, but the blood pressure steadily fell, the systolic more than the diastolic so that the pulse pressure was gradually reaching the danger point. Further work on this case was stopped following the warning given by the blood pressure. The patient was returned to the ward and a week later anesthesia was again given, the operation was completed, and the patient had a satisfactory convalescence.

A method which is widely used is as follows: The anesthetist wraps the cuff of one of the dial instruments around the patient's arm, and arranges the dial so that it can easily[152] be seen by him at all times. This does not in any way interfere with the work of the surgeon. Over the brachial artery below the cuff is the bell of a binaural stethoscope held in place by the strap attachment now on the market. The tubes of the stethoscope are long enough to reach conveniently to the ear pieces. A watch is pinned to the sheet of the table. He has a chart, as illustrated (Fig. 56) on a board and makes a dot in every space for five minute intervals. By joining the lines a curve is obtained which tells at a glance what the circulation is doing. I feel sure that more attention and care exercised on the part of the anesthetist would be the means of conserving many lives lost from shock following operation.

Fig. 56.—Showing method of using blood pressure instrument during operation without
interfering with the operator or assistants. Sheet thrown back to show cuff on
arm of patient. Anesthetist has chart on table beside him, dial pinned to pad in full
view, bulb near hand. Extra tubing must be put on the blood pressure instrument. Fig. 56.—Showing method of using blood pressure instrument during operation without interfering with the operator or assistants. Sheet thrown back to show cuff on arm of patient. Anesthetist has chart on table beside him, dial pinned to pad in full view, bulb near hand. Extra tubing must be put on the blood pressure instrument.

A sudden drop in the pressure picture may mean a large hemorrhage. The gradual return of the pressure picture means that the vasomotor mechanism has acted to keep up the pulse pressure. Should the diastolic pressure continually fall, it may mean that the hemorrhage is still taking place (Wiggers).

Blood Pressure in Obstetrics

One might affirm almost without fear of contradiction that the constant determination of blood pressure during pregnancy is more important than the examination of the urine. Within recent years a number of observers having access to a large material, have given the results of their findings. There is a striking unanimity of opinion, although now and then a difference in minor details.

The blood pressure should be taken frequently during pregnancy. The usual and highly essential precautions in taking pressure in general apply most particularly in these cases. Towards the end of pregnancy the pressure should if possible be taken daily and oftener if necessary.

Pressure in women is usually below 120 mm. Many patients have a temporary rise in blood pressure during pregnancy, due oftenest to constipation, without developing[153] other symptoms. This is common to all conditions and has no significance. Some think that an abnormally low pressure, that is, a systolic below 90 mm., suggests that the patient is likely to react unduly to the strain of labor. This is denied by others. Among 1000 cases (Irving) the pressure was below 90 in only one case. A gradually rising pressure precedes albuminuria, as a rule. If there is albumin without change in pressure the albumin may usually be disregarded. Some think that a pressure over 130 mm. systolic should be carefully watched. The danger limit is set by some at 150 mm. If the blood pressure from the very first is high, it may mean only that that was the patient's normal pressure. This calls for increased watchfulness. It is held by some that high blood pressure favors hemorrhage and probably explains the hemorrhagic lesions in the placenta and some viscera in eclampsia and albuminuria.

All are agreed that the most significant change is the gradual but sure rise from a low pressure. When this is combined with albuminuria the danger of toxemia is imminent. The high blood pressure in those under thirty years of age seems to be a more certain sign of approaching toxemia than the same pressure in those older. The pressure falls within a few days to its normal after delivery in the toxic cases.

Although the emesis gravidarum is held to be a sign of a toxemia of some unknown nature, the blood pressure is never raised even in the pernicious form.

Infectious Diseases

In all infectious diseases the blood pressure tends to be lower than normal. During chills the systolic may rise to great height due to the violent muscular contractions.

We found the blood pressure of great value in giving information concerning the circulation. Again we repeat[154] that it is not the systolic alone or the diastolic alone but the pulse pressure which we wish to keep informed about. In pneumonia we have tried out Gibson's law only to discard it. This so-called law is that in pneumonia the systolic pressure in millimeters should remain above the figure for the pulse rate. When the figure in mm. of pressure is equalled by or exceeded by the pulse rate the prognosis is grave.

In typhoid fever we have made many estimations at various stages of the disease. We can only say that the pressure picture tends to fall during the course. The systolic falls more than the diastolic so that it is not uncommon to see pulse pressures of 20 mm. at the beginning of convalescence in spite of the high caloric feeding practiced. At the time of perforation the systolic pressure may be raised. This is only the reflex from the initial pain. Soon the pressure falls and if peritonitis sets in, the pressure is exceedingly low and the pulse pressure gradually falls until the circulation can no longer be carried on. In large hemorrhage the pressure suddenly falls. If only one hemorrhage has occurred a gradual rise takes place, but the general pressure picture remains at a lower level for days, gradually returning where it was before the hemorrhage.

In beginning failure of the circulation we found elevation of the foot of the bed about nine inches to be of such value that we felt there must be some increase in blood pressure. Numerous readings were made covering a period of several months. Although we felt certain that the circulation was improved, we rarely needed cardiac stimulation, we never could prove any increase of blood pressure with the sphygmomanometer.

In all infectious diseases there is no help offered by blood pressure estimations in diagnosis. The sole and important use is that of keeping track of the circulation.

[155]

Valvular Heart Disease

No rules can be laid down for blood pressure in valvular heart disease. Aortic stenosis, the rarest of the valvular lesions, is practically always accompanied by high pressure picture. Mitral stenosis on the contrary usually shows a low pressure picture. Mitral insufficiency may show an exceedingly low picture or an exceedingly high picture. Aortic insufficiency also may be accompanied by a high systolic or by a normal systolic pressure. It depends on the etiology. Practically all the rheumatic cases have low pressure, the syphilitic cases have a high pressure. It is characteristic of all cases of aortic insufficiency that the diastolic pressure is low, even as low as 30 mm. The pulse pressure is invariably high. Usually there is no difficulty in determining the diastolic pressure. The intense third tone suddenly becomes dull at the point of diastolic pressure and frequently the dull sound can be distinctly heard over the artery down to the zero of the scale. If difficulty is found in reading the diastolic as the pressure is reduced, the estimation may be reversed and the pressure gradually increased from zero to the point where the dull tone suddenly becomes loud and clear. These points always coincide.

Kidney Diseases

This has already been discussed somewhat fully in Chapter III and will receive more consideration later. It might be remarked in passing that in a case of seeming coma where albumin is found in the urine but where the blood pressure is low or normal, I have found at autopsy in several cases pyonephrosis and not chronic nephritis. The blood pressure may be useful in differentiating uremic coma from the coma of pyonephrosis. Also in the cases of coma with anasarca, either the acute, subacute or chronic form the blood pressure is not raised as a rule. Other diseases of the kidney, as tuberculosis, cancer, infection with pyogenic[156] organisms, are not accompanied with any notable changes in blood pressure.

Other Diseases, Liver, Spleen, Abdomen, etc.

Blood pressure is only of value in the above diseases in affording information concerning the state of the circulation. There is nothing characteristic about the pressure in any of these diseases.


[157]

CHAPTER VI.

ETIOLOGY

The causes of arteriosclerosis are many and varied. No two persons have the same resisting power toward poisons that circulate in the blood. Some go through life exposed to all the infectious diseases without ever becoming infected, while others fall easy victims to every disease that comes, no matter how careful they may be, and it is quite the same in regard to the resistance of the arterial tissues. If the tubing is of first class quality and the individual does not place too much strain on it, he may live to the biblical three-score years and ten, and possess arteries which have undergone such slight changes that they are not palpable. Such a person is, however, the exception. On the other hand, if the tissue is of poor quality, even the ordinary wear and tear of life causes early changes in the vessels, and a person of forty may have hard arteries.

We have described in a previous chapter the changes which normally occur in the arteries as age advances. An artery that is normal for a man of fifty years would be distinctly abnormal for a boy of fifteen.

Two broad divisions of arteriosclerosis may be made: (1) congenital, or the result of inherited tendency; (2) acquired.

Congenital Form

When Dr. O. W. Holmes was asked how to live to the age of seventy, he replied that a man should begin to pick his ancestors one hundred years before he was born. Our parents determine the character of the tissues with which we start in life, and this determines our general resistance. We might properly speak of congenital arteriosclerosis[158] where the affected individual had poor arterial tissue with which to begin life, for that, in a sense, is a congenital defect, and arterial tissue that is poor in quality is prone to disease.

The author is more and more impressed with the part that heredity plays in the determination of arterial degeneration. Especially does syphilis in the parents or grandparents leave its stigma in the succeeding generations in the shape of poor arterial tissue which is prone to early degeneration. Recently W. W. Graves has called attention to a malformation of the vertebral border of the scapula which consists in a concavity instead of the normal convexity of the bone. To this malformation he has given the name, scaphoid scapula. He considers this to be but one manifestation of a general lack of development in the individual. He speaks of this maldevelopment as a blight and considers that syphilis in the ancestors is responsible for the condition in the offspring. He finds that even in children, the subjects of the scaphoid scapula, the arteries are very definitely thickened. While confirmation of his observations is lacking, there is no doubt that we must lay the blame for much of the arteriosclerosis in our patients to the poor quality of arterial tissue transmitted by ancestors who have acquired some constitutional disease. It may have been syphilis, it may have been the degeneration produced by alcohol or other drug. We can not ignore the part which heredity plays. The various factors to be considered in the production of the acquired form of arteriosclerosis appear to me to be but contributory factors to a very great extent, the essential and fundamental factor being the quality of arterial tissue with which the individual is endowed.

Arteriosclerosis may occur in infants. Cases have been reported of calcification of the arteries in infants and children. The arteriosclerosis may occur without nephritis or rise of blood pressure. Cerebral hemorrhage in a child[159] of two years has been seen. Heredity in these cases plays a most important rōle. In many of the reported cases there was no question of congenital syphilis. Aneurysms, single or multiple, have been found in the arteries of children, and even the pulmonary artery may show sclerotic changes.

Acquired Form

As a rule the cases usually seen belong in this group because it seems as if a connection could be established almost always between one or more of the etiologic factors to be described and the disease. While this apparently is the case, we must never lose sight of the part which the quality of the tissue plays. When we leave this out of our calculations we undoubtedly make many false deductions. When two men of the same age who have been exposed to the same conditions as far as we can learn, are found to have quite different arteries, the one normal, the other thickened, we must postulate congenitally poor tissue on the part of the latter. Such tissue readily becomes diseased following conditions which would very likely have produced no noticeable effect on perfectly normal, healthy tissue.

Hypertension

Hypertension must still be reckoned with in the etiology of arteriosclerosis although the rōle that it was thought to play does not seem so important. Changes of blood pressure alone are not considered by many to be sufficient for the production of arteriosclerosis. This may play some part, but there are many other factors mostly unknown which determine in any case the production of arterial lesions.

With every systole of the heart, blood is forced out into the arterial system against a certain amount of resistance represented by the tonicity of the capillary area, and the amount of cohesion between the viscous blood and the walls[160] of arterioles. When a dilatation of the capillaries over any large area takes place, the blood pressure falls, provided there is no compensatory contraction in other areas to make up for the decreased resistance in the dilated vessels. The viscosity of the blood, as such, probably has very little effect on the resistance to the flow. With the systole of the heart there is a sudden dilatation of the arch of the aorta, and a wave of expansion follows, which is transmitted to the periphery and is lost only in the capillaries.

The blood pressure is constantly changing. Physiologically there are relatively wide variations in the pressure in a perfectly normal individual. There are some persons who have hypotension, a blood pressure much below the normal. Such persons have usually small hearts, small aortas, and they seem to have but little resistance to disease. Many diseases, especially the prolonged fevers, diminish markedly the blood pressure. Whether the hypertension is the cause of the structural changes that are found in the walls of the vessels, or is the result of the diminished area of the arterial tree through which the same amount of blood has to be driven as before the vessel walls became narrowed, is still disputed. As has been stated, experimental evidence would tend to place the initial blame upon the poisons circulating in the blood, which first damage the vessel walls. The subsequent changes then produce thickening and inelasticity. Some think (Allbutt) that the hypertension is primary. There are cases seen clinically that lend support to this view and there is experimental evidence also (v. Chap. II). Not infrequently individuals in middle life begin to show increase of arterial blood pressure without discoverable cause. In such case it may be that there is slowly progressing chronic nephritis. The urine if examined only superficially in single specimens may not reveal any abnormalities. Careful functional examination by means of the newer tests may reveal functional[161] deficiency. It must not be supposed that all cases of increasing hypertension are cases of chronic nephritis. The opinion has already been expressed (Chap. III) concerning this point. Experience has convinced me that the opinion expressed in former editions is not altogether correct.

Age

No age is exempt from the lesions of arteriosclerosis if we consider the two groups. However, the disease is seen for the most part in persons past middle life. The relative frequency with which it is found in the different decades depends on so many factors that it is of no value to tabulate them. As has been stated, arteriosclerosis of all types is an involution process that advances with age. Longevity is a question of the integrity of the arterial tissue, and no one can tell what sort of "vital rubber" (Osler) any one of us has. However, many with poor tubing may make such use of it that it will outlast good tubing that is badly treated. Unfortunately we have no way of telling early enough with just what sort of arterial tissue we are starting life.

Sex

There is no doubt that men are far more prone to arterial disease than women are; all statistics are in accord on this point. This is explained by the greater exposure of men to those conditions of life which tend to produce circulatory strain, and so to produce arteriosclerosis, or vice versa. Arteriosclerosis in women is not often seen until after the fiftieth year. Cases of the most extreme grade of pipe stem arteries are, however, seen in old women, and calcified arteries are not hard to find among the inmates of an old woman's home.

Race

Some of the most beautiful examples of arteriosclerosis in this country are seen in the negro. Not only is this[162] disease more frequent in the black race, but the age of onset is much earlier than in the Caucasian. The accidents of arteriosclerosis, viz., aneurysm, cerebral hemorrhage, etc., are more common among the negro males. The etiologic factors that are most often found in the history are the prevalence of syphilis and hard physical labor.

Occupation

Certain occupations have a distinct causal relationship to arteriosclerosis; among such are particularly those entailing prolonged muscular exercise, especially if much lifting is necessary. Every one is familiar with the phenomena accompanying the exertion of lifting. The breath is drawn in, the glottis is closed, and the muscles of the chest wall are held rigidly while the exertion lasts. This causes a great increase in blood pressure, and constant repetition of this will produce permanent high tension. In hospitals, the stevedores as a class have marked arteriosclerosis, and, almost without exception, they are comparatively young men. Occupations that are accompanied with prolonged mental strain, such as now occur to the heads of large manufacturing and financial institutions, also predispose to early arterial changes. Psychic activity, especially when it is accompanied by worry, is a potent factor in the production of the increased blood pressure which is the chief factor in producing arterial disease. It has been suggested that sexual continence in high-strung men produces changes in the nervous system which can conceivably lead to the production of high tension and further to arteriosclerosis. This, however, I can not think has any foundation in fact except in so far as such men are prone to live at high speed and wear themselves out sooner than the normal person. The sexual continence per se is not harmful. There are, however, men who seem not to be harmed by the constant wear and tear of our modern life. These are the exceptions.

Workers in factories where paint is made and the ingredients[163] hand-mixed, are prone to develop arteriosclerosis early in life. It has been found that the laborers most apt to be victims of lead intoxication are those who are careless in their habits of cleanliness, particularly in regard to the fingernails. The continuous absorption of lead into the system, brings about a condition of hypertension that has its inevitable results.

The fact is that any occupation which entails either the absorption of toxic substances, or prolonged muscular labor, will hasten markedly the onset of arterial disease.

Food Poisons

The opinion that arteriosclerosis is due in large part to poisoning by end products or by-products of protein digestion is now receiving much support. Experiments on dogs and rabbits have lent some confirmation to chemical observations. It has been shown that dogs fed for a long time on putrefied meat developed inflammation and degeneration of the adventitia and media, with hyperplasia and calcification of the intima of many arteries. In the pulmonary and carotid arteries, in the vena cavas and myocardium, there were extensive necroses and hyaline degeneration. Moreover, injections of sodium urate and ergot caused necroses in the muscularis and elastica of the aorta, pulmonary artery, vena cavas inferior and heart muscle, but there was no calcification. Guinea pigs which were fed indol in small doses by the mouth over a long period showed atheromatous degeneration of the aorta.

Infectious Diseases

As more study has been given to the arteries in persons who have died of the acute infectious diseases, more has come to light concerning the effects of the toxins of these diseases on the vessel walls. In the arteries of children who have died of measles, scarlet fever, diphtheria, cerebrospinal[164] meningitis, etc., degenerative changes in the arteries occur, modified only by the length of time that the toxins have acted.

Thayer has shown that the arteries of those who have passed through an attack of moderately severe or severe typhoid fever are as a rule more readily palpable than are the vessels of persons of corresponding years who have never had the disease. Clinically the typhoid toxin appears to cause the early production of arteriosclerosis. The changes in the arteries occur for the most part, and always earlier, in the peripheral arteries, and the media is chiefly affected. Minute yellowish patches are found on the aorta, carotids, and coronaries. In persons who have passed through an attack of one of the fevers, and have later died from some other cause, regenerative changes are sometimes found to have taken place in the arteries, consisting of an ingrowth of elastic fibers from the intact adventitia to the diseased media.

That there are some other factors than the infectious disease which are concerned in the production of arterial changes seems evident from a study[14] made recently among a group of almshouse inmates ranging in age from 38 to 90 years. The study included 500 persons of both sexes. Careful histories were taken to determine the presence of antecedent infectious disease. The radial artery was palpated to determine the presence of sclerosis. Among the cases giving a history of one infectious disease the following table gives the results:

DISEASE         NO. ++ +++ POSITIVE NEGATIVE
Measles47106122819
Infectious arthritis389641919
Pneumonia305851812
Typhoid276831710
Scarlet fever1000446
Smallpox1414059
Miscellaneous1225293
 17833373010078

[165]

A summary of the cases showed: 252 cases without sclerosis; 248 with sclerosis; 147 cases with infections but no sclerosis; 180 cases with infections and sclerosis.

This study failed to throw any positive light on the question. Infectious diseases undoubtedly play a certain rōle, particularly those continuing a long time and certain particular infectious diseases, as measles.

Syphilis

Syphilis is one of the most important of the etiologic factors in the production of arteriosclerosis. It has been shown that in 85 per cent of cases of aortic insufficiency in persons, usually males, over forty-five years, who did not have chronic infective endocarditis, the Wassermann reaction was positive. Acute aortitis affecting the ascending and transverse portions of the arch of the aorta is very commonly seen, and the irregular, scattered, slightly raised, yellowish-white patches of sclerosis in the arch which are found years after the syphilitic lesion, are considered by some to be very characteristic of syphilis. Mesaortitis is the primary lesion and acts as a locus minoris resistentię where an aneurysm forms.

Hypertensive cardiovascular cases have been serologically studied, and a positive Wassermann reaction found in a large percentage of one series. In fifty cases, 90 per cent either gave a positive Wassermann reaction or luetin test, were known to have syphilis, or had children with hereditary syphilis. This suggests what might be called "familial cardiovascular syphilis."

Hypertensive disease is possibly one of the common so-called "late" manifestations of syphilis. That syphilis is responsible for the arterial disease in the vessels of the brain, resulting in apoplexy or sudden cardiac death in middle life, has long been known. In fact, it is claimed (Osler) that all aneurysms occurring in persons under thirty years[166] of age are due to syphilitic aortitis. In the late stages of syphilis the arterial lesions may be of a diffuse character.

Chronic Drug Intoxications

Lead, tobacco, and according to some, tea and coffee, are to be classed as causal factors in the production of arteriosclerosis. Certain it is that all these substances have a tendency to raise the arterial pressure, but whether the drug itself causes first a degeneration, and later a hypertension results, or vice versa, is not yet positively known. We have just mentioned that lead particularly has a marked effect in producing arterial lesions. Other drugs as adrenalin, barium chloride, physostigmin, etc., while producing experimental arteriosclerosis, hardly could produce the disease in man. Alcohol has been blamed for much, and as an etiologic factor in the production of arteriosclerosis formerly was accorded a first place. More recently much doubt has been thrown on this supposition by the work of Cabot, who showed that the mere drinking of even large quantities of spirits had no effect in producing arterial disease.

This observation has been recently substantiated by Hultgen, who carefully studied clinically 460 cases of chronic alcoholism. He says, "There are no cardiovascular symptoms which might be termed characteristic of chronic alcoholism, unless it be the peculiar fetal qualities of the heart sounds which we know as embryocardia. I find this very frequent among drinkers, but I can offer only a tentative explanation for it, namely the following: Embryocardia can only occur with low tension blood pressure, and in the absence of renal insufficiency. Hence it might be considered as a useful condition of no pathologic significance at all. That alcohol is a sclerogenic pharmakon and productive of arteriosclerosis with its usual train of symptoms may be a fact, but its demonstration would be[167] difficult and is really not shown by my tabulations. There were cardiovascular changes, such as myocarditis, aortitis, valvular heart disease and arteriosclerosis in chronic alcoholics in 54.3 per cent of 461 cases, but this by no means constitutes a proof of the causal relationship between these lesions and the abuse of liquors. I believe it, nevertheless, to be good reasoning to ascribe the bulk of cardiovascular symptoms to the sclerogenic action of alcohol, while abstaining from an interpretation of its pathogenesis." Just what rōle tobacco plays is difficult to say. My own opinion is, that of itself when used in moderation, it has no ill effects. However, as tobacco is a drug that may raise the blood pressure, excessive use must be held responsible for the production of arteriosclerosis. It is difficult to separate its effects from those produced by eating and drinking.

Overeating

There can be no doubt but that the constant overloading of the stomach with rich or difficultly digestible food is responsible for a large number of cases of arteriosclerosis. Every one must have noted the increase in force and volume of the heart beat after the ingestion of a large meal. The constant repetition of such processes conceivably can lead to damage to the vessel walls through hypertension.

In the metabolism of food in the intestines there are substances produced which are poisonous when absorbed directly into the circulation. Ordinarily these substances are rendered harmless either before absorption or are detoxicated in the liver to harmless substances. It is conceivable that a constant overproduction of such poisons would eventually damage the defensive mechanism of the body to such an extent that some of the poisons would circulate in the blood. An expression of a surplus of one, at least, of these decomposition products is the appearance of indican in the urine. It is not believed that indicanuria has the importance attached to it which some authors would[168] have us believe. It is found too often and in too many varying conditions, nevertheless it undoubtedly does reveal the presence of perverted metabolism.

In how far the toxins absorbed from the intestinal tract are responsible for the production of arterial disease, it is not possible to say. Some observers lay great stress on this factor as a cause of arteriosclerosis. The author believes that the rōle played by the absorption of products of perverted intestinal metabolism is an important one. The primary change is an increased tension in the arterioles which later leads to thickening of the coats of the vessels and to the other consequences of arterial disease. A vicious circle is thus established which has a tendency to become progressively worse.

Mental Strain

More and more does one become impressed with the fact that patients with arteriosclerosis are very often those who take life too seriously and either from ambition or from an exalted sense of duty lead especially strenuous lives. Not always are these persons addicted to drug or liquor habit. Many are rather abstemious in their habits. It is not so often that we see as a victim of arteriosclerosis, the carefree person who laughs his way through life without worrying about the morrow. He is not so prone to arteriosclerosis. Worry is a far more potent cause of breakdown than actual manual work. It is the rule to find thickened arteries among neurasthenics. This may be only part of a generalized degeneration of all tissue in the body. The blood pressure in such persons is usually low. So many men of our better class live under a continuous mental strain in the business world. The increase in arteriosclerosis cases is real, not apparent. The intense mental strain seems to cause a marked increase in blood pressure (for short periods of mental effort this has been proved) over a period of time[169] sufficient to cause permanent changes in the vessel walls. The same sequence of events repeats itself; high tension, arterial strain, compensatory thickening, hypertrophied heart, etc.

Certainly the character of the arterial tissue has much to do with the determination of degenerative changes which may result from the action of one or more of the etiologic factors.

Muscular Overwork

Muscular overwork is to be reckoned with as an etiologic factor. One sees it especially among the laboring class in both whites and negroes. Possibly other factors, as alcohol and coarse heavy food, contribute to the early arterial degeneration. Hypertrophy of the heart occurs in athletes, and statistics gathered among the oarsmen especially, show a relatively high mortality at the different decades traceable to the high tension produced while in training. This question deserves more consideration than has been accorded it.

Renal Disease

Chronic disease of the kidneys (contracted red kidney) is one of the most certain producers of hypertension; in fact, some maintain that high tension, even without demonstrable kidney lesions, as revealed by careful urine examinations, is a valuable sign pointing to chronic nephritis. This is doubted by others, myself among them. Just what causes the increase in blood pressure sometimes to over 270 mm. of Hg, is not definitely known. It seems most probable that it is some poison elaborated by the diseased kidneys and absorbed into the general circulation. There it acts primarily on the musculature of the arterioles causing tonic contraction and an increase of work on the part of the heart to force the blood through narrowed channels. One fact is certain. We see patients in coma due to renal disease with[170] blood pressure much over 200 mm of Hg. As these cases clear up, the pressure may fall, and should they seemingly recover, the recovery is accompanied with a marked decrease in blood pressure, finally reaching the normal for the individual. Moreover, in the course of a severe acute or subacute nephritis, hypertension is associated with headache, partial or total blindness, and drowsiness. When the pressure is reduced, all these symptoms disappear.

There is also the chronically shrunken and scarred kidney known pathologically as the arteriosclerotic kidney. It is probable that there are two groups of cases which we may designate: (1) primary; (2) secondary. In the primary group the kidney disease antedates the sclerosis of the arteries, and the sclerosis is most probably dependent on the constant high tension. We know that prolonged hypertension will produce severe forms of arteriosclerosis. The arterial disease in this group is caused by the renal disease.

In the second group the kidney changes are apparently due to the general arteriosclerosis which, affecting the kidney vessels, causes changes leading to atrophy and subsequent fibrous tissue ingrowth of scattered areas. These cases are not necessarily associated with hypertension; on the contrary there is more apt to be hypotension. Where the first group occurs for the most part in young and active middle-aged people, the second group is the result of involutionary processes which accompany advanced age.

However careful a urinalysis may be, there is no assurance that one can predict the pathologic state of the kidney. Often so-called normal urine will be secreted by a badly diseased kidney, whereas a urine which contains considerable albumin and many casts may be secreted by a kidney which is only temporarily the seat of inflammation. What matters after all is not the state of the kidney which the pathologist describes, but the actual functional response of the kidney in the body to the various tests now well known.

[171]

Ductless Glands

At the present time the tendency among some writers is to make the ductless glands the responsible agents in almost all diseases. Arteriosclerosis is no exception to this tendency. Sajous, for example, divides the morbid process producing arteriosclerosis into three types; (1) autolytic, (2) adrenal, (3) denutrition. In the first type he finds the pancreas to be the most important gland. It supplies an internal secretion which "takes a direct part in the protein metabolism of the tissue cells, and also in the defensive reactions within these cells, as well as in the phagocytes and in the blood stream." This being the case exaggeration of this digestive process has tissue destruction as its result, arteriosclerosis among them.

In the adrenal type Sajous argues that adrenalin produces lesions experimentally, therefore the adrenal gland has a profound influence by its internal secretion in connection with the sympathetic system in producing degenerations leading to arteriosclerosis.

The denutrition type has as its particular gland the thyroid. The sclerotic process in the arteries is due to the lack of thyroid as in cases of myxedema. After a long résumé of his ideas he concludes "that arteriosclerosis is the result of excessive or deficient activity of certain ductless glands, the thyroid and adrenal in particular."

No one can dogmatically deny the part which the ductless glands may play in the production of arteriosclerosis, but it hardly seems that there is enough actual experimental evidence to show that they take such an important part as Sajous believes. Until further and more convincing evidence is offered by competent investigators, I prefer to look with some skepticism upon the ductless gland theory of the causation of arteriosclerosis. The field lends itself too easily to speculation and imagery. Some are already allowing themselves the mental debauch of this nature.


[172]

CHAPTER VII.

THE PHYSICAL EXAMINATION OF THE HEART AND ARTERIES

Heart Boundaries

In order to be able to estimate the departures from normal in the boundaries of the heart, it is essential that there be a definite appreciation of the boundaries of the normal heart in relation to the chest wall.

It is frequently stated that the right limit of cardiac dullness is normally, in the adult, just at the right border of the sternum. This is not strictly accurate. Careful dissections at the autopsy table and x-ray plates of the chest made at a distance of two meters from the tube show that the border of the right auricle is from one to one and a half and even two centimeters from the edge of the sternum at the level of the fourth rib, and on the living subject this can be also demonstrated. The right border of the heart usually is from 3 to 4 cm. from the midsternal line at the level of the fourth rib.

Again there is a term used in defining the apex, known as the point of maximum impulse. As this does not always coincide with the apex beat and with the outer lower left border of the heart, it would be better to use the term apex beat.

Normally, then, the cardiac dullness, the so-called relative cardiac dullness, begins above at the upper border of the third costal cartilage, as a rule, and taking a somewhat curved line with the concavity inward, descends to the fifth interspace or beneath the fifth rib from 9 to 10 cm. from a line drawn through the center of the sternum parallel to its length, the midsternal line. This seems to me to be a better method of recording the size of the heart than by the[173] lines commonly used; viz., the nipple, or midclavicular, or parasternal line. Below, the cardiac dullness is merged into the tympany from the stomach and the dullness from the liver. At the sixth right costosternal articulation there is a sharp turn upwards forming at that point with the liver the cardiohepatic angle. At the fourth right cartilage or the third interspace, the dullness is from one to two centimeters from the edge of the sternum. We have then a somewhat pear-shaped area or triangular area with the apex at the apex of the heart. The so-called absolute cardiac dullness does not appear to me to be of any great significance. In reality it is the limit of lung resonance and may be greater or less, not so much on account of variations in the size of the heart, as of variations in size of the lungs and shape of the chest wall.

The really crucial question which should always be asked is, Is the heart enlarged or decreased in size? The position of the apex beat alone can not determine this, neither can the limit to the right of the sternum. The distance between these two points and the depth of the dullness at a distance of 5 cm. from the midsternal line on the left side, will give the size of the heart as nearly as can be obtained in the living subject. A series of measurements in normal adults average 13 to 14 cm. and 9 to 10 cm. respectively. For women they are about 1 cm. less in each direction.

The elaborate mechanism known as the orthodiagraph is probably the best means of determining the actual limits of the heart, but few men have such an expensive instrument, and, moreover, at the bedside such an instrument could not be used. From comparative measurements I concur in the belief of those who affirm that careful percussion will furnish equally as accurate limits.

The first step in making an examination of the heart is to expose the patient's chest in a good light, and, sitting at his right side, carefully inspect the chest. The position of the apex beat, heaving, bulging, retraction of interspaces, etc.,[174] can easily be seen if visible. After careful inspection has given all the data which it is possible to obtain, one next lays the palm of the hand over the heart and attempts to palpate the apex beat. The thrust of the apex in a hypertrophied heart can readily be felt, and one can feel whether the heart is regular, irregular, intermittent, or has other change in rhythm. The shock of the closing valves, particularly the aortic, can be felt, and that and the forcible apical impulse are very suggestive signs of hypertrophy and hypertension. Thrills may also be felt and can be timed in relation to the heart cycle.

Percussion

It is to percussion that we next proceed, and for the data in regard to the size of the heart, it is, for our purpose, the most valuable of all the physical methods of heart examination.

First and foremost we wish by percussion to learn the actual size of the heart, in other words what is ordinarily called the relative cardiac dullness. With the absolute dullness we are not concerned. That irregular area represents, as has been said, actually the limits of lung resonance. The heart may or may not be covered with lung; there may or may not be the incisura cardiaca. What I wish to insist upon is that the size of the area of absolute dullness can give us no data in regard to the size of the heart. What we must endeavor to learn is the actual size of the heart as nearly as our crude means will permit.

Light, very light, almost inaudible percussion, what Goldscheider called "Schwellungsperkussion," must be practiced. Use the middle finger of the right (left) hand as the hammer and the last joint of the middle finger of the left (right) hand pressed firmly against the chest, as pleximeter. I believe it is better to place the pleximeter finger parallel to the boundary to be limited although some place the finger perpendicularly, that is, pointing toward the boundary.[175] Now and then it helps to bend the pleximeter finger at the second joint, hold it perpendicularly to the chest wall, and strike the joint directly in line of the finger. This in my hands has been of great assistance in percussing the limits of the heart dullness. Pottenger's "light touch palpation" is a modification of the light palpation and, to my mind, has no very special advantages. Auscultatory percussion is of great value at times. The bell of the stethoscope is placed over the portion of heart uncovered by lung (should such be the case), and with this point as a center the chest is lightly and quickly tapped along radii converging toward the stethoscope. One soon learns to recognize the change of pitch as the tapping reaches the border of the heart. It is well to use all methods, especially in difficult cases, and to compare the results. Personally I have found that by light percussion I can limit with much accuracy the upper, right, and left borders of the heart.

There is much to be gained by using light percussion. Strong blows set in vibration not only the underlying structures, but also more or less of the chest wall. We wish to avoid this source of error, we do not wish to differentiate by pitch alone. Finally one's pleximeter finger becomes, after long practice, so sensitive to changes in the resonance of structures lying below it, that there is actual feeling of impairment to the slightest degree. This delicate touch is what we should endeavor to cultivate.

It is at times of advantage to use immediate percussion. This is done by bending the fingers of the striking hand, bringing the tips in a line and striking the chest lightly with the four fingers as one finger. Some find it easier to percuss the dullness due to the heart in this way than by mediate percussion.

The little hammer and hard rubber, celluloid, bone, or ivory pleximeter does not seem to me to be nearly as good as the fingers. Moreover, one always has his hands, but may forget his hammer and pleximeter.

[176]

Auscultation

In auscultating the heart I prefer the binaural stethoscope of the Ford pattern. The recent substitution of an aluminum bell for the hard rubber bell is an improvement. Personally I do not favor the phonendoscope or any of the new patent non-roaring instruments now for sale by urgent instrument makers. The phonendoscope has its uses, for example in auscultating the back when a patient is lying in bed or in listening to the heart sounds when a patient is under an anesthetic; but for differentiating the murmurs and for heart diagnosis, I much prefer the regular bell stethoscope.

In arteriosclerosis the two places over which it is important to listen are the apex and the second right cartilage, the aortic area. Over the former, one gains data in regard to the strength of the heart as indicated by the first sound, over the latter point, one learns of the tension in the aorta by the character of the sound produced when the aortic valves close.

The hypertrophy of the heart in arteriosclerosis is invariably due to the enlargement and thickening of the left ventricle. From the nature of the position which the heart assumes in the thorax, this enlargement is downward and to the left. The apex beat will therefore be found in the fifth or sixth interspace, and definitely at an increased distance from the midsternal line. As stated above, it is most important that this distance be accurately measured and put down in the notes of the case for future reference. No satisfactory prognosis can be given unless this is done, for the gradual increase or the decrease under treatment in the size of the heart can thus be definitely known, and, knowing the other factors, a prognosis may be given which will be of some value to the patient.

[177]

The Examination of the Arteries

It is exceedingly difficult at times to affirm definitely that an artery, the radial for example, is actually sclerosed. Much depends on the sensitiveness of the fingers of him who palpates, and much upon the relation of the palpated artery to the surrounding, chiefly underlying, structures. In the examination of arteries it is well to inspect the body for the pulsations caused by them. Frequently an exceedingly tortuous artery, such as the brachial, may be seen throughout its whole extent and yet the radial appear little, if any, thickened by palpation. Again the artery of a pulse of high tension which is small in size but full between the beats, may not be as sclerosed as one which collapses and feels much softer. It is difficult to obtain accurate data in regard to the tension in an artery by feeling it with the fingers of one hand. One should use both hands. With the middle finger of the right (left) hand the artery is compressed peripherally, that is, nearest the wrist. The blood is then pressed out of the artery with the middle finger of the left (right) hand, so as to obliterate completely the pulse wave and the two or three inches between the middle fingers are felt with the index fingers. By holding the finger firmly on the artery near the wrist so as to block any wave that may come through the palmar arch by anastomosis with the ulnar artery and by releasing pressure on the proximal middle finger, some idea may be had of the degree of pulse tension. However, no amount of practice can more than approximate the tension and when one is surest that he can tell how many millimeters of pressure there are, he is apt to be farthest wrong when he checks his guess with the sphygmomanometer.

Much may be learned from carefully palpating the peripheral arteries, and, as a rule, the sclerosis of these arteries means general arteriosclerosis, although there are many exceptions to this.

[178]A more recent method, and one which in the author's hands has been found to be valuable, is that proposed by Wertheim-Salomonson who palpates the artery not with the ball of the finger but with the fingernail. The finger is held so that the nail is perpendicular to the surface of the skin and the artery is felt with the end of the nail. The sensation is perceived at the root and makes use of all the sensitive nerve endings there. In this way it is possible to feel[179] the arterial wall distinctly, and a little practice will enable one to determine whether or not the vessel wall is thickened. It is also possible to determine with a considerable degree of accuracy the diameter of the artery and the size of the wall when the current is cut off by pressure on the proximal side of the artery. It is best to have a firm background when this "fingernail" palpation is used. This may be obtained by palpating the radial artery against the lower end of the radius.

Probably the best method of palpating the arteries, especially the radial, to determine the degree of sclerosis and thickening, is to use the tip of the finger and roll it carefully over the artery. The tip of the finger is exceedingly sensitive and, moreover, it is a firmer palpating surface than the ball, thus enabling one to appreciate degrees of sclerosis which could not be differentiated by palpation with the soft yielding ball. This finger tip palpation is well illustrated in the figures here shown. (Figs. 57 and 58.)

Fig. 57.—A method of finger-tip palpation of the radial artery. (Graves.) Fig. 57.—A method of finger-tip palpation of the radial artery. (Graves.)
Fig. 58.—Another method of finger-tip palpation of the radial artery. (Graves.) Fig. 58.—Another method of finger-tip palpation of the radial artery. (Graves.)

Estimation of Blood Pressure

It must be borne in mind at the outset that arteriosclerosis and high blood pressure are not always associated. As a matter of fact in the severest grades of senile arteriosclerosis the blood pressure is usually below the normal for the individual's years. However, as high tension is a frequent factor in the production of arterial thickening, blood pressure readings are of importance.

The instrument which one uses is of minor importance provided it is properly standardized. The most important feature of the instrument is the cuff. This must be 12 cm. wide and be long enough to wrap around the arm several times so that the pressure is evenly distributed over the whole arm and not over a small portion. One mercury instrument we had in the hospital was reported to be at great variance with a dial instrument. This mercury instrument was provided with a cuff which was short and was tied[180] around the arm by means of a piece of tape. This caused a tight constriction over a small area and rendered the estimation too high. A new, long tailed cuff easily remedied the apparent defect in the instrument.

In taking blood pressures the difference from day to day of 10 or even 15 mm. of systolic pressure has no great significance. Fluctuations of the systolic pressure alone, it is insisted upon, have very little meaning. One must take the whole pressure picture into consideration and determine how the picture changes in order to draw any conclusion in regard to the state of the blood pressure. Failure to pay attention to this evident point has caused much futile work to be written and published.

It is well to emphasize again the point that the blood pressure picture consists of the systolic, the diastolic, the pulse pressure and the pulse rate.

Palpation

Hoover has called attention to the direct palpation of the femoral artery just below Poupart's ligament as a more accurate index of the pressure in the aorta than the palpation of the radial artery. Possibly one can obtain a more accurate estimate of the blood pressure in this way. This, however, is open to dispute. To estimate the blood pressure by palpating the radial artery is most deceptive. In about 75 per cent of cases one can tell fairly well whether the pressure is abnormally high or abnormally low. Small variations are impossible to determine. Unquestionably it is most advantageous to get into the habit of palpating the femoral artery and checking the result with the sphygmomanometer so that the fingers may be trained to appreciate as accurately as possible changes of pressure.

It may be that one day when the instrument is needed it is not at hand. A well-trained touch then becomes a great asset.

[181]

Precautions When Estimating Blood Pressure

There are certain precautions which must be strictly observed when deductions are drawn from the manometer readings. The psychic factor must be reckoned with. Any emotion may cause marked variations in the pressure. Excitement and anger are especial sources of error. Even the slight excitement arising from taking the first blood pressure on a nervous patient especially is apt to give false values. Usually the readings must be taken many times at the first sitting and the first few may have to be set aside. Worry is a potent factor in raising the pressure. A walk to the physician's office, especially if rapid, has its effect.

The position of the patient when the blood pressure is taken is important. Usually in the office the pressure is taken when the patient sits in a chair. He should assume a relaxed, comfortable attitude. The readings should be made at the same time of day and at the same interval between meals. The pressure in both arms should be measured and comparisons should be made only between readings on the same arm. These precautions may seem useless and even somewhat trivial, and the conditions difficult to control. But unless they are carefully observed the readings will be false, no comparisons can be drawn between the readings on different days, and the instrument will most probably be blamed. I have known this to happen so often that I can not emphasize too strongly the importance of controlling all the essential conditions which go to make accurate work.

The Value of Blood Pressure

In the past few years there has been a veritable avalanche of blood pressure instrument salesmen who have covered the country, sold instruments, and have made many startling claims for the instrument. They have emphasized its value out of proportion to what the instrument can do[182] even in the hands of one familiar will all the defects. Consequently it is not necessary to emphasize the value of blood pressure. It seems best to utter a few words of caution in regard to its interpretation.

The value lies not in the occasional estimation compared with some other one reading, but in the frequent estimation and in the visualization of the blood pressure picture. For the great majority of diseases the blood pressure has no particular value except to show that the circulation is not materially disturbed. The limits of normal are rather wide, so that consideration of the patient's age, sex, build, etc., will give us some idea of a base line, so to speak, for any one person. Wide departures from relatively normal figures are important, but are not diagnostic or, rather, pathognomonic. I can not help but feel that the diastolic pressure is the most important part of the blood pressure picture. Persistent high diastolic pressure means increased work for the heart, which, if acting for a long time against the high peripheral resistance, must eventually hypertrophy. The arteries become thickened, lose their wonderful elasticity, fibrous tissue is deposited in their walls, and the vicious circle is established which leads to pathologic hypertension.

Blood pressure readings must be intimately mixed with brains in order to be of any great value in diagnosis or prognosis.


[183]

CHAPTER VIII.

SYMPTOMS AND PHYSICAL SIGNS

General

Well developed arteriosclerosis shows four pathognomonic signs: (1) hypertrophy of the heart; (2) accentuation of the aortic second sound; (3) palpable thickening of the arteries; and (4) heightened blood pressure. However, it must not be inferred that these signs must be present in order to diagnose arteriosclerosis. It has already been said that a very marked degree of thickening, with even calcification of the palpable arteries, may occur with absolutely no increase of blood pressure, and at autopsy a small flabby heart may be found.

While arteriosclerosis is usually a disease which is of slow maturation, nevertheless cases are occasionally seen which develop rather rapidly. The peripheral arteries have been noticed to become stiff and hard in as relatively brief a time as two years from the recognized onset of the disease.

Since involution processes are physiologic, as has been described (vide infra), arteriosclerosis may assume an advanced grade and run its course devoid of symptoms referable to diseased arteries. It is doubtful whether the sclerosis itself could produce symptoms, except in cases later to be described, were it not that the organs supplied by the diseased arteries suffer from an insufficient blood supply and the symptoms then become a part of the symptom-complex of any or all the affected organs.

There are cases, however, in comparatively young persons where a combination of certain ill-defined symptoms gives a clue to the underlying pathologic processes. These symptoms of early arteriosclerosis are the result of slight[184] and variable disturbances in the circulation of the various organs. Normally there are frequent changes in the blood pressure in the organs, but the vasomotor control of normal elastic vessels is so perfect that no symptoms are noted by the individual. When the arteries are sclerosed, they are less elastic and the blood supply is, therefore, less easily regulated. At times symptoms occur only after effort. The patient may tire more readily than he should for a given amount of mental or bodily exercise; he is weary and depressed, and occasionally there is noted an unusual intolerance of alcohol or tobacco. Vertigo is common, especially on rising in the morning or in suddenly changing from a sitting to a standing position. Some complain of constant roaring or ringing in the ears. There may be dull headache that the accurate fitting of glasses does not alleviate. Unusual irritability or somnolency with a disinclination to commence a new task may be present. Sometimes the effort of concentrating the attention is sufficient to increase the headache. This has been called "the sign of the painful thought." Numbness and tingling in the hands, feet, arms, or legs are also complained of, and neuralgias, not following the course of the nerves but of the arteries, also occur. It is important to remember that the train of symptoms resembling neurasthenia in a person over forty-five years old may be due to incipient arteriosclerosis. This tardy neurasthenia frequently accompanies cancer, tuberculosis, diabetes, and incipient general paralysis, as well as incipient arteriosclerosis.

Bleeding from the nose, epistaxis, taking place frequently in a middle-aged person, sometimes is an early symptom. The bleeding may be profuse, but is rarely so large as to be positively harmful. In fact, it may do much good in relieving tension. Slight edema of the ankles and legs is seen. Dyspnea on slight exertion is not uncommon. Dyspeptic symptoms are not infrequent, pyrosis (heartburn), a feeling of fullness after meals with belching or a feeling of[185] weight in the epigastrium. The dyspeptic symptoms may be so marked that one might almost speak of a variety of arteriosclerosis, the dyspeptic type. For quite a while before any symptoms that would definitely fix the case as one of undoubted arteriosclerosis, the patient complains that foods which previously were digested with no difficulty now give him gastric distress. The examination of the stomach contents of a patient presenting gastric symptoms reveals usually a subacidity. The total acidity measured after the Ewald test meal may be only 20 and the free HCl may be absent. Attention has been called to an unnatural pallor of the face in early arteriosclerosis. Progressive emaciation is sometimes seen in cases of arteriosclerosis and may be the only symptom of which the patient complains.

Hypertension

Not all cases of arteriosclerosis are accompanied by increased arterial tension. As has been stated in a previous chapter, the blood pressure in the arterial system depends chiefly on two factors; viz., the degree of peripheral (capillary) resistance, and the force of the ventricular contraction. The highest arterial pressures recorded with the sphygmomanometer occur not in pure arteriosclerosis but in cases where there is concomitant chronic interstitial disease of the kidneys. When this is found there is always arteriosclerosis more or less marked. In cases where the arteries are so sclerosed that they feel like pipe stems there may be an actual decrease in the blood pressure. Hence the clinical measuring of the pressure in the brachial artery alone is not sufficient for a diagnosis of arteriosclerosis. A persistent high blood pressure even with normal urinary findings is not a sign of arteriosclerosis. The high tension later may lead to the production of sclerosis of the arteries, but in these cases the kidney may be primarily at fault.

The impression must not be gained that hypertension in[186] itself always constitutes a disease or even a symptom of disease. Hypertension itself is practically always a compensatory process. That is to say, it is the attempt on the part of the body to equalize the distribution of blood in the body when there is some poison causing constriction of the small arteries. In this sense hypertension is not only essential, but actually life-saving. A heart which is so diseased that it can not respond to the call for increased action by hypertrophy of its fibers, would shortly wear out. The very fact that the heart becomes enlarged and the tension in the arteries becomes high, indicates that in such a heart there was great reserve power. But while hypertension is largely an effort at adjustment among the various parts of the circulation, it nevertheless tends to increase, provided the cause or causes which produced it act continuously. Moreover, as has been said (Chap. II), the arterioles do not respond to increased work on the part of the heart by expanding, but by contracting. A vicious circle is thus maintained which eventually must lead to serious consequences.

Hypertension is then, if anything, only a symptom which may or may not demand treatment. That hypertension leads to the production of sclerosis of the arteries has been repeatedly affirmed here. In certain cases it is good and should not be experimented with. In other cases it is bad and some treatment to reduce the tension must be tried. The main point is to regard hypertension as one regards a compensated heart lesion.

Prof. T. Clifford Allbutt divides the causes of arteriosclerosis clinically into three classes: (1) The toxic class—the results of poisons of the most part of extrinsic origin, chiefly those of certain infections. In some of these diseases, the blood pressures, as for example, in syphilis, are ordinarily unaffected; in others, as in lead poisoning, they are raised. (2) The class he calls hyperpietic,[15] in[187] which an arteriosclerosis is the consequence of tensile strength, of excessive arterial blood pressure persisting for some years. A considerable example of this class is the arteriosclerosis of granular kidney, but in many cases kidney disease is, clinically speaking, absent. (3) The involutionary class, in which the change depends upon a senile, or quasisenile degradation. This may be no more than wear and tear, a disposition of all or of certain tissues to premature failure—partly atrophic, partly mechanical—under ordinary stresses; or it also may be toxic, a slow poisoning by the "faltering rheums of age." In ordinary cases of this class the blood pressures for the age of the patient are not excessive. Although the toxins of the specific fevers, notably typhoid, as stated above, and influenza, have been shown to produce arteriosclerosis, this, under favorable circumstances he believes tends to disappear. This has been shown by Wiesel.

As the blood pressure is dependent on the resistance offered by the capillaries and arterioles, there are only two ways in which increased pressure can be brought about; either by rendering the blood more viscous, or by the generation of some poison from the food taken into the body which, acting on the vasomotor center or directly on the finer vessels, arteriolar or capillary, sets up a constriction over any large area, and mainly in the splanchnic area. In regard to the liability to arteriosclerosis, this area stands second only to the aortic and coronary areas. He believes that arteriosclerosis itself has little effect in raising arterial pressure. Many cases are seen in which with extreme arteriosclerosis there was no rise in blood pressure, and some in which pressures have been rising even long before the appearance of arterial disease. Prof. Allbutt also believes that in the hyperpietic cases the arteries undergo a transient thickening, which can be removed if the causes can be reached and overcome.

Clinically speaking, then, hyperpietic arteriosclerosis is[188] not a disease, but a mechanical result of disease. If the narrowing of the arterioles is brought about by thickening due to arteriosclerosis, then it would seem a priori that such obliteration should cause a rise in pressure. Were the vascular system a mere mechanical set of tubes and a pump, this would happen, but other factors of great importance must be taken into consideration besides the mechanical factors; viz., chemical and biological factors. Thus, whole parts may be closed and with compensatory dilatation in other parts there would be little or no change in pressure, unless there were hyperpiesis. In established hyperpiesis, we note two conditions in the radial artery: first, a comparatively straight vessel with a small diameter; secondly, a larger, more tortuous vessel, "the large leathery artery." In the cases of the first group, hyperpiesis is often more marked, although not appearing so to the examining finger, than in the second class. In view of the difficulty of estimating by touch alone the amount of hyperpiesis in a contracted hard artery, it is often overlooked until a ruptured vessel in the brain startles us to a realization of our mistake. The "narrow" artery is more dangerous than the tortuous one, for with every change in pressure the passive vessels of the brain must receive blood that under normal conditions would go to other parts of the circulation.

In involutionary sclerosis there is a gradual thickening and tortuosity of the vessel, which although it may be greater than in the hyperpietic cases, yet is never so dangerous to life. The heart in hyperpiesis hypertrophies and dilates, but such a heart is the result, not an integral part, of the arterial disease.

The Heart

When the arterial tree becomes narrowed and the resistance offered to the flow of blood thereby is increased, more muscular work is required of the left ventricle and according[189] to the general laws which govern muscles the ventricle hypertrophies. There is an actual increase in number of fibers as well as an increase in the size of the individual fibers. Some of the best examples of simple hypertrophy of the left ventricle are found under such circumstances. The chambers as a rule do not dilate until the resistance becomes greater than the contraction can overcome, when symptoms of broken compensation of the heart take place. The hypertrophy of the left ventricle brings more of this portion of the heart toward the anterior chest wall. The enlargement is toward the left, also, consequently the apex-beat is found below and to the left of its usual site, even an inch or more beyond the nipple line. The impulse is heaving, pushing the palpating hand forcibly up from the chest wall. The visible area of pulsation may occupy three interspaces and the precordium is seen to heave with every systole. On auscultation the second sound at the aortic cartilage is ringing, clear, and accentuated. Not infrequently, too, the first sound is loud and booming, but has a curious muffled sound that may even be of a murmurish quality. The leaflets of the mitral valve may be the seat of sclerosis, the edges are slightly thickened and do not quite approximate, thus causing a definite murmur with every systole. This murmur may be transmitted out into the axilla and be heard at the inferior angle of the left scapula.

Palpable Arteries

Not every artery that can be felt is the subject of arteriosclerosis, and, as has been stated, palpable arteries being more or less a condition of advancing years, judgment as to whether the artery is pathologically or physiologically thickened may be a matter of individual opinion. A radial artery that lies close to the lower end of the radius and can actually be seen to pulsate when the hand is held slightly extended on the back of the wrist, is easily felt, but must[190] not, therefore, be considered a sclerosed artery. The radial may be so deeply situated in the wrist of a fat subject that it is difficultly palpable. Yet the two cases just described may have arteries of identical structure, there being no more retrogressive changes in the one than in the other. "Experience is fallacious and judgment difficult."

The small, contracted, wiry artery of a chronic nephritic may feel like a pipe stem, but if properly felt the mistake will not be made of considering such an artery an unusually sclerosed one. When the wave is pressed out of such a high tension artery, it is found that what seemed to be a firm sclerosed vessel, was in reality an artery tightly stretched over the column of blood.

Ocular Signs and Symptoms

It would not exaggerate too much to say that the examination of the eye grounds with the ophthalmoscope is the most important aid in the early diagnosis of arteriosclerosis. Long before there are any subjective symptoms, changes can be seen in the blood vessels of the retina which, while not always diagnostic, at least call attention to a beginning chronic disease. As I become more proficient in the use of the ophthalmoscope, I am impressed with the importance of the ocular signs of arterial disease. I would urge practitioners to familiarize themselves with this instrument. The electrically lighted instruments on the market now have so simplified the technic that any physician should be able to see the grosser changes which take place in the arteries and veins of the retina and in the disc. Frequently the ophthalmologist is the first to recognize early arteriosclerosis. In the fundus are seen increased tortuosity of the retinal vessels and their terminal twigs with more or less bending of the vessels at their crossings. The arteries are terminal ones, and small patches of retinitis are therefore found. The changes have been divided into (1) suggestive, (2) pathognomonic.

[191]

Under (1) are:

(a) Uneven caliber of the vessels,

(b) Undue tortuosity,

(c) Increased distinctness of the central light streak,

(d) An unusually light color of the breadth of the artery.

Under (2) are:

(a) Changes in size and breadth of the retinal arteries so that they look beaded,

(b) Distinct loss of translucency,

(c) Alternate contractions and dilatations in the veins,

(d) Most important of all, the indentation of the veins by the stiffened arteries.

There is yet another sign which appears to be pathognomonic. The arteries are pale, appear rigid and through the center, parallel to the course, is a rather bright, fine threadlike line. The appearance is known as the "silverwire" artery. It is particularly constant in hypertension where the most beautiful examples are seen.

Moreover, there is the arcus senilis, the fine translucent to opaque circle surrounding the outer portion of the iris. Practically every one with a well-marked arcus senilis has arteriosclerosis, but vice versa not every one with even marked arteriosclerosis has an arcus senilis.

In general, the symptoms are gradual loss of acute vision, and attacks of transient loss of vision. The explanation which has been offered for these phenomena is the contraction in a diseased central artery.

Nervous Symptoms

The onset of arteriosclerosis is, in the majority of cases, so insidious that certain nervous manifestations, due in all probability to disturbances in blood pressure, are present long before the actual sclerosis of the arteries can be felt.[192] These nervous symptoms are at times the sign posts to show us the way to accurate diagnosis. There may be gradual increase in irritability of temper, inability to sleep, vertigo even extending to transient attacks of unconsciousness. Loss of memory for details frequently is an early symptom of sclerosis of the cerebral arteries. Nervous indigestion may be present. Various paresthesias as numbness, tingling, a sense of coldness or of heat or burning, a sense of stiffness or even actual stiffness or weakness may occur in the arms and legs, more frequently in the legs. The pain complained of may be due to occlusion of an artery, although evidence for this is lacking. It has been thought by some that the pain in angina pectoris might be due to this cause.

Several curious and interesting diseases which have been thought by some to have arteriosclerosis as a basis are accompanied by pain. Such are erythromelalgia, Raynaud's disease, "dead fingers," and intermittent claudication.

Erb has reported a large series of intermittent limp (claudication) from his private practice. He finds that the large majority of the cases occur in men. The abuse of tobacco was evidently the main etiologic factor in about half of the cases. Repeated exposure to cold and the abuse of alcohol were responsible for most of the other cases. Curiously enough he finds that a history of syphilis was present in only a small proportion of his cases. It is his firm conviction that intermittent limping—which he thinks should be called angiosclerotic dysbasia—is frequently incorrectly diagnosed. It is mistaken for other troubles and treated wrongly. As gangrene may develop this is particularly dangerous. The affection generally develops gradually, although he has seen cases where the onset was rather acute. The partial or complete lack of the pulse in the foot is the one striking sign, together with the varying behavior of the pulse, its disappearance when the feet are cold and[193] its return after a warm foot bath or under other treatment. Signs of general arteriosclerosis were present in nearly every case. When there is a tendency to the development of intermittent limp he finds that a valuable sign is the manner in which the leg blanches when it is lifted repeatedly while the patient is recumbent and becomes hyperemic later when placed horizontally. In health this change occurs more rapidly.


[194]

CHAPTER IX.

SYMPTOMS AND PHYSICAL SIGNS

Special

Our conception of arteriosclerosis as a degenerative process affecting the vascular tree rather than a disease, removes the possibility of discussing special symptoms. As a matter of fact, we know of very few organs where even profound pathologic changes in the vascular system produced during life any symptoms which could be laid to these arterial changes. Kind nature has given to us such an excess of organs of every kind that the destruction of large portions of any organ seems to affect the function but little. So only particular groups of organs, which show symptomatic changes as the result of arteriosclerotic processes, will be discussed. It is realized that this may not give Teutonic completeness to the discussion, but it certainly saves paper and has a distinct practical value to the long suffering reader.

Although arteriosclerosis is a disease which affects the whole arterial system, it nevertheless never reaches the same grade all over the body. The difference in the structure and functions of the various organs determines to great extent the eventual symptomatology. Endarteritis obliterans of a small sized artery in the liver or leg would lead to no marked symptoms, as the circulation is so rich that the anastomoses of the blood vessels would soon establish a collateral circulation that would be perfectly competent to sustain the function of the part. Quite different would it be should one of the small arteries of the brain, the lenticulo-striate, for example, which supplies the corpus striatum, become the seat of a thrombosis or embolism caused by arteriosclerosis. The arteries of the brain are terminal[195] arteries and the blood supply would be cut off entirely with a resulting anemic necrosis of the part supplied by the artery and a loss of function of the part. What would be of no moment in the leg or arm might prove even fatal in the brain.

The further symptomatology, therefore, of arteriosclerosis depends entirely on the organ or organs most affected by the interference with the blood supply. The following groups may be recognized:

1. Cardiac.

2. Renal.

3. Abdominal.

4. Cerebral.

5. Spinal.

6. Local vasomotor effects.

7. Pulmonary.

Cardiac

Most cases of arteriosclerosis sooner or later present symptoms referable to the heart. When the organ is hypertrophied and is already working against an enormous peripheral resistance, a slight excess of work put upon it may cause a dilatation of the chambers with the resulting broken compensation. There is dyspnea on slight exertion, possibly some precordial distress, slight edema of the ankles and lower legs and possibly scanty urine. With proper care, a patient with such symptoms may recover, but the danger of another break in compensation is enhanced. The next attack is more severe. The edema is greater, there may be signs of edema of the lungs, effusions into the serous cavities may occur. The heart shows marked dilatation. There is gallop or canter rhythm and there are loud murmurs at the apex. When a patient is first seen in this stage, it may be quite impossible to state whether or not there is true valvular disease of the heart. The muscle is usually diseased in that there is fibroid degeneration of more or[196] less extensive character. This factor causes the heart to lose much of its elasticity and increases the tendency to permanent dilatation. Such cases must be watched before one can say that true valvular insufficiency is not present. The fatal termination of such a case is quite like that of true valvular disease. There is increasing dyspnea, increasing anasarca, and the patient usually succumbs to edema of the lungs, drowned in his own secretions.

Fig. 59.—Aneurysm of the heart wall. (Milwaukee County Hospital.) Fig. 59.—Aneurysm of the heart wall. (Milwaukee County Hospital.)

A very rare complication of the fibroid degeneration of the heart muscle is aneurysm of the heart wall. (Fig. 59.)[197] The apex of the left ventricle is most commonly the site of the aneurysm and rupture occasionally occurs. Such an accident is rapidly fatal. In the arteriosclerotic process which occurs at the root of the aorta, the coronary arteries become involved both at the openings and along the courses of the vessels. A branch or branches or even one artery may become blocked as a result of obliterating endarteritis. The arteries of the heart are not terminal vessels but as a rule blocking of a large branch leads to anemic infarct. These areas become replaced by fibrous tissue which in the gross specimen appears as streaks of whitish or yellowish color in the musculature. Anemic infarcts may not occur. In such cases the anastomosis between branches of the coronary arteries is unusually free. Through arteriosclerosis of the coronary vessels extensive fibrous changes may occur that lead to a myocardial insufficiency with its attending symptoms—dyspnea, irregular and intermittent heart, gallop rhythm, edema, etc. One of the most distressing and dangerous results of sclerosis of the coronary arteries and of the root of the aorta is angina pectoris. While in almost every case of angina pectoris there is disease of the coronary arteries, the contrary does not hold true, for most extensive disease, even embolism, of the arteries is frequently found in persons who never suffered any attacks of pain. This symptom group is more common in males than in females and as a rule occurs only in adult life. "In men under thirty-five syphilitic aortitis is an important factor." (Osler.)

Since the valuable experiments of Erlanger on heart block, considerable attention has been paid to lesions of the Y-shaped bundle of fibers, a bundle arising at the auriculoventricular node and extending to the two ventricles, known also as the auriculoventricular bundle of His. Interference with the transmission of impulses through this bundle gives rise to the symptom group known as the Stokes-Adams syndrome, which is characterized by: (a)[198] slow pulse, (b) cerebral attacks—vertigo, syncope, transient apoplectiform and epileptiform seizures, (c) visible auricular impulses in the veins of the neck. Many of the cases which occur are in elderly people the subjects of arteriosclerosis.

Fig. 60.—Large aneurysm of the aorta eroding the sternum. Death from rupture through
the skin preceded by frequent small hemorrhages. (Milwaukee County Hospital.) Fig. 60.—Large aneurysm of the aorta eroding the sternum. Death from rupture through the skin preceded by frequent small hemorrhages. (Milwaukee County Hospital.)

So far as we now know all cases of the Stokes-Adams syndrome are caused by heart block which is only another name for disease in the auriculoventricular bundle. Of interest here is the fact that besides gummata, ulcers, and other lesions of the bundle, definite arteriosclerotic changes have been found.

"The investigation of a typical case of Stokes-Adams disease has shown that the symptoms of this case are caused by some lesion in the heart which gives rise to the condition[199] now generally termed heart block. Practically all degrees of heart block have been observed, namely, complete heart block and partial block with 4:1, 3:1, and 2:1 rhythm, and occasionally ventricular silences. These stages occurred during recovery.

"Experiments testing the reaction of the heart to various extrinsic influences demonstrate that when the block is complete the ventricles do not respond to influences presumably of vagus origin, although the auricles still respond normally to such influences, that effects exerted upon the heart presumably through the accelerators still influence the rate of the ventricles as well as that of the auricles.

"When the block is partial the rate of the ventricular contraction varies proportionally with the rate of the auricular contractions but only within certain limits. When these limits are exceeded the block becomes more complete, i. e., a 2:1 rhythm may be changed into a 3:1 rhythm, this into a 4:1 rhythm, and this into complete block, and vice versa.

"The syncopal attacks are, in all probability, directly dependent upon a marked reduction of the ventricular rate. Such reductions of the ventricular rate are always associated with an increase of the auricular rate, and it is believed that the latter is the cause of the former." (Erlanger.)

The epileptiform seizures of the syndrome may be caused by the anemia of the brain resulting from failure of the heart to supply a sufficient quantity of blood.

The apoplectiform attacks are most probably caused by venous congestion when the slowing of the ventricular contractions is not sufficient to cause convulsions, but will just cause complete unconsciousness.

Renal

Chronic nephritis, hypertension, arteriosclerosis form a most important trinity. Some stoutly affirm that in all cases of high tension there is chronic renal disease. Certainly[200] the very highest blood pressures which we see occur in the chronic interstitial forms of kidney disease. The cause is most probably to be sought in some poison which is elaborated in the kidney, is absorbed into the circulation and acts powerfully either on the vasoconstrictor center as a stimulus, or directly on the musculature of the small arteries all over the body. Usually hypertension is progressive but it may be temporary.

A man, 43 years old, entered the Milwaukee County Hospital in uremic coma. The systolic blood pressure was 280-290 mm. Hg, the diastolic pressure 220 mm. (Janeway instrument). Under treatment his blood pressure gradually became lower, at the same period the albumin and casts gradually disappeared from the urine. In two weeks from admission he seemed perfectly well, there were no albumin or casts found in the urine, and the systolic blood pressure was 136 mm., not a high figure for a muscular man of the laboring class. It must be admitted, however, that such cases are the exception, not the rule.

Patients suffering from the association of chronic nephritis with hypertension die slowly, usually. There is gradual development of anasarca. Headache is frequent and severe. Pains all over the body may occur. The sight may suddenly become dim or may even be lost. Dizziness may be complained of and dyspnea is usually marked. Cyanosis comes on, the pulse becomes weak, irregular or intermittent, heart failure sets in, and the patient dies with edema of the lungs.

Another class of renal arteriosclerosis is characterized by a small granular kidney in which fibrous changes of a patchy character have taken place. These scattered areas are the result of obliterating endarteritis of renal arteries here and there with consequent anemia, death of cells, and replacement by fibrous tissue. It occurs as part of a generalized arteriosclerosis in which the whole arterial system is the seat of diffuse (senile) sclerosis. The palpable arteries[201] are usually beaded or even encircled with calcareous deposits and the aorta is the seat of an extensive nodular and ulcerating sclerosis. The heart is usually small, shows extensive fibrous and fatty changes and possibly the condition known as "brown atrophy;" the blood pressure is low. Such cases do not show any special symptoms. They are anemic, short of breath on exertion, have the appearance and show the signs of senility.

In the first group it is, at times, difficult to say whether the kidney disease or the arterial disease is the most important. From a clinical standpoint the decision is not essential as the end results are much the same in both. However, when actual uremic symptoms dominate the picture, it becomes evident that the disease of the kidney is the chief feature in the causation of the symptoms.

Abdominal or Visceral

There is an important group of cases to which but little attention has been paid until quite recently. This is the abdominal or visceral type of arteriosclerosis. It has been stated that arteriosclerosis of the splanchnic vessels almost invariably causes high tension. Among others, Janeway has shown that general arteriosclerosis without marked disease of the splanchnic vessels does not cause as a rule increase of blood pressure.

There are cases in which the brunt of the lesion falls upon the abdominal vessels. Such cases have been called "angina abdominalis." It has been suggested (Harlow Brooks) that this type of arteriosclerosis may be determined by constant overloading of the stomach with food, especially rich and spiced food. This causes overwork of the special arteries connected with digestion and so leads to sclerosis of the vessels of the stomach, pancreas, and intestines. Personal habits probably influence to great extent the production of this more or less localized condition.

The organs supplied by the diseased arteries suffer from[202] changes analogous to those occurring in general or local malnutrition, such as starvation, old age, or local anemias. These changes are atrophy with hemachromatosis (brown atrophy) or fatty infiltration and degeneration. Following the degenerative changes there result connective tissue growth and further limitation of the functionating power of the affected organs.

Pain is a more or less constant symptom of visceral sclerosis. In the early stages there may be only a sense of oppression, of weight, or of actual pressure in the abdomen or pit of the stomach. There may be only recurring attacks of violent abdominal pain accompanied by vomiting. In some cases symptoms of tenderness in the epigastrium, pains in the stomach after eating, vomiting and backache may suggest gastric ulcer. There may be dyspnea and a sense of anguish accompanied with a rapid and feeble pulse. Hematemesis may make the symptom group even more like ulcer of the stomach, and only the course of the disease with the failure of rigid ulcer treatment and the substitution of treatment directed toward relief of the arterial spasm with resulting betterment, enables one to make a diagnosis. The condition may be present for years and the symptoms only epigastric tenderness with dizziness and sweating on lying down after dinner, as in one of Perutz's patients. The attacks are probably due to spasmodic contraction of the sclerosed intestinal vessels with a resulting local rise in blood pressure. The pains are most probably due to the spasm of the intestinal muscles, and some think they are located in the sympathetic and mesenteric plexuses.

This result of arteriosclerosis is not so uncommon, and by keeping this cause of obscure abdominal pain in mind we are now and then enabled to save a patient from operation.

An autopsy on a case which for many years had attacks of abdominal pain and cramp-like attacks, with high blood pressure and heart hypertrophy, showed extensive sclerosis[203] of the abdominal aorta, superior mesenteric and iliacs. These vessels were calcified. Hypertrophy of the left ventricle was found. The kidneys were microscopically normal. There were no changes in the ascending aorta but in the descending portion there were scattered nodules and small calcified plaques.

The attacks of pain from which this patient suffered for many years, the hypertrophy of the left ventricle and the increased blood pressure were thought to be directly due to the sclerosis of the abdominal vessels.

Cerebral

It has been stated that arteriosclerosis is a general disease, yet certain systems of vessels may be affected far more than others, and indeed there may be marked sclerosis at one part of the body and none demonstrable at another part.

In advanced sclerosis there may be one or more of a series of accidents due to embolism, thrombosis, or rupture of the vessels. Such conditions as transient hemiplegia, monoplegia or aphasia may occur. The attacks may come on suddenly and be over in a few minutes; what Allbutt calls "Larval apoplexies." They may last from a few hours up to a day, and are very characteristic. A patient aged 64 years with pipe stem radials and tortuous hard temporals would be lying quietly in bed when suddenly he would stiffen, the eyes would become fixed and the breathing cease. In a few seconds consciousness returned, the patient would shake himself, pass his hand over his brow and ask, "Where am I? Oh, yes, that's all right." He had as many as thirty of these attacks in twenty-four hours, none of them lasting over one minute. To just what such attacks are due, it is hard to say. Some have attributed them to spasm of the smaller blood vessels of the brain, but there have never been demonstrated in the vessels any constrictor fibers.

[204]There is a well recognized form of dementia caused by arteriosclerosis. In general paralysis of the insane and in senile dementia the blood vessels are always diseased. Milder grades of psychic disturbances are accompanied by such symptoms as mental fatigue, persistent headaches, vertigo, memory weakness and fainting. Aphasia, periods of excitement and mental confusion occur in some. Later stages are at times accompanied by inclination to fabulate, loss of judgment, disorientation, narrowing of the external interests, episodes of confusion and hallucinatory delirium.

The hemiplegias, monoplegias and paraplegias may occur again and again and last for one or two days. Unless there has been rupture of the vessels, there is complete recovery as a rule.

In persons who have arteriosclerosis with high tension attacks of melancholia are seen. There are at the same time fits of depression, insomnia, irritability, fretfulness, and a generally marked change in disposition. When the tension is reduced by appropriate treatment these symptoms disappear, to recur when the tension again becomes high. On the contrary, attacks of mania are accompanied by low blood pressure. The dizziness and vertigo in cerebral arteriosclerosis are probably due to the stiffness of the vessels which prevents them from following closely the variations of pressure produced by position, and thus, at times, the brain is deprived of blood and a transient anemia occurs.

Arteriosclerosis of the cerebral vessels is always a serious condition. The greatest danger is from rupture of a blood vessel. Another of the dangers is gradual occlusion of the arteries bringing about necrosis with softening of the brain substance. The latter is more apt to be associated with psychic changes, dementia, etc.; the former, with hemiplegia. It is curious that a small branch of the Sylvian artery, the lenticulo-striate, which supplies the corpus striatum, should be the one which most frequently ruptures.[205] Where the motor fibers from the whole cortex are gathered together in one compact bundle, a very small hemorrhage may and does cause very serious effects. A comparatively large hemorrhage in the silent area of the brain may cause few or no symptoms.

Spinal

It is conceivable that arteriosclerosis of the vessels of the spinal cord might cause symptoms which would be referred to the areas of the cord where the process was most advanced. The lesions would be scattered and consequently the symptoms might be protean in character.

True epileptic convulsions dependent on arteriosclerotic changes are also seen and are not so uncommon.

This is on the whole a rare condition, much less common than arteriosclerosis of the cerebral vessels. Collins and Zabriskie report the following typical case:

"H., a fireman, fifty-one years old, was in ordinary good health until toward the end of 1902. At that time he noticed that his legs were growing weak and that they tired easily. Later he complained of a jerking sensation in different parts of the lower extremities and at times of sharp pain, which might last from several minutes to two or three hours. The legs were the seat of a heavy, unwieldy sensation, but there was no numbness or other paresthesia. About the same time he began to have difficulty in holding the urine, a symptom which steadily increased in severity. These symptoms continued until March, 1903, i. e., for three months, then he awakened one morning to find that he was unable to stand or walk, and the sphincters of the bowels and bladder relaxed. There was no complaint of pain in the back or legs, no difficulty in moving the arms, in swallowing or in speaking. He says he was able to tell when his lower extremities were touched and he could feel the bed and clothes. He was admitted to the City Hospital three weeks later and the following record was made on April 21, 1903.

"The patient was a frail, emaciated man of medium height, who had the appearance of being 55-60 years of age. He was unable to stand or walk. When he was lying, he could flex the thigh and the legs slowly and feebly. There was slight atrophy of the anterior and inner muscles, more of the left than of the right side. The knee jerks and ankle jerks were absent. Irritation of the soles caused quite a typical Babinski phenomenon. The patient had fair strength in the upper extremities, but the arms tired very soon, he said. The grip was moderate and alike in each hand. The motility of the face, head, and neck was not noticeably impaired. There was no difficulty[206] in swallowing, and articulation was not defective. Tactile sensibility was slightly disordered in the lower extremities, although he could feel contact of the finger, the point of a pin, and the like. Sensibility was not so acute as normal; there was a quantitative diminution. Sensory perception was not delayed. There was a distinct zone of slight hyperesthesia about as wide as the hand above the femoral trochanters. Above that, sensibility was normal. There was no discernible impairment of thermal sensibility. No part of the body was particularly tender on pressure. A bedsore existed over the sacrum, and there was excoriation of the genitals from constant dribbling of urine.

"Examination of the chest showed shallow respiratory movements. The heart was regular, weak, there were no murmurs, the second sound was accentuated. Examination of the abdomen showed that the liver and spleen were palpable, but were not enlarged. The abdominal reflexes, both upper and lower, were sluggish. The patient was slow of speech, likewise apparently of thought. He did not seem to show an adequate interest in his condition, still he was fully oriented and seemed to have a fair memory. His mental reflex was slow. There were indications in the peripheral blood vessels and heart of a moderate degree of general arteriosclerosis. The peripheral vessels such as the radial, were palpable, the walls thickened, the blood pressure increased.

"The patient did not complain of pain while he was in the hospital, a period of four weeks, nor was there any particular change in the patient's symptoms, subjective and objective, during this time. His mental state remained clear until forty-eight hours before death, when he became sleepy, stuporous, and comatose, dying apparently of cardiac weakness, which had set in simultaneously with the clouding of consciousness."

At autopsy, except for a few small hemorrhages in the posterior horns of the lower dorsal segments on the right side and a similar condition of the left anterior horns, there was nothing noticed. On microscopic examination, there was found widespread sclerosis of the vessels of the cord to a marked degree with only slight thickening of the vessels of the brain. There were secondary degenerations of ascending and descending type particularly marked at the ninth dorsal segment. They included portions of all the tracts, the pyramidal tract as well. The symptoms in brief were: (1) weakness and easily induced fatigue of the legs; (2) peculiar sensations in the lower extremities, described as jerky, numbness, heaviness, and occasionally sharp pain; (3) progressive incontinence of urine; (4) progressive paraplegia.

Since one of the chief manifestations of syphilis is sclerosis of the arteries, neurologic cases characterized by irregular symptoms and signs which can not be placed in any of the definite system disease groups, are possibly due to irregularly scattered areas of sclerosis throughout the spinal cord caused by obliterating arteritis. Such cases are not so very uncommon. Several have come under my[207] observation. Further studies of the spinal cords of these cases at autopsy are necessary before a final opinion can be given as to their dependence on arteriosclerosis of the spinal vessels.

Local or Peripheral

When the arteriosclerosis in the peripheral arteries reaches a stage where endarteritis obliterans supervenes, there is usually no chance for a compensatory or collateral circulation to be established. The area supplied by the vessel undergoes dry gangrene. A portion of a toe or finger or a whole foot or hand may shrivel up. It is more common to see the spontaneous amputation take place in the lower extremities. The same effect may be produced by the plugging of a vessel with a thrombus. There may be much pain connected with the sudden blocking, whereas the gradual obliteration of the blood supply of a toe or foot is not as a rule at all painful. The condition is at times revealed more or less accidentally when a patient injures his toe or foot and discovers that there is no sensation in the part and that the wound instead of healing is inclined to grow larger.

Other interesting vasomotor phenomena are frequently connected with arteriosclerosis. Such a one is the curious condition known as Raynaud's disease, a vascular disorder which is divided into three grades of intensity: (1) local syncope, (2) local asphyxia, (3) local or symmetrical gangrene. This is not the place to describe this condition except to say that the condition called "dead fingers" is the most characteristic feature of the first stage. Chilblains represent the mildest grade of the second stage. The parts are intensely congested and there may be excruciating pain. Any one who has ever had chilblains knows how painful they can be. The general health is not impaired as a rule, although the attacks are apt to come on when the person is run down. The third stage may vary from a very mild[208] grade, with only small necrotic areas at the tips of the fingers, to extensive multiple gangrene.

Another and very rare condition in which chronic endarteritis was the only constant finding is the disease described by S. Weir Mitchell and called by him erythromelalgia (red neuralgia). This is "A chronic disease in which a part or parts—usually one or more extremities—suffer with pain, flushing, and local fever, made far worse if the parts hang down." (Weir Mitchell.)

Probably the most frequently seen result of arteriosclerosis in the leg arteries is the remarkable condition, first described by Charcot, known as intermittent claudication. Persons the subject of this disease are able to walk if they go slowly. If, however, any attempt be made to hurry the step, there results total disability accompanied at times by considerable cramp-like pain. The condition is much more prone to occur in men than in women, and Hebrews seem more frequently affected. The cause is most probably to be sought in the anemia which results from the narrowing of the channels through which the blood reaches the part. The stiff, much narrowed arteries allow sufficient blood to pass along for the nutrition of the part at rest or in quiet motion. Just as soon as more violent exercise is taken, calling for more blood, an ischemia of the part supervenes, for the stiff vessels can not accommodate themselves to changes in the necessary vascularity of the part. A rest brings about a gradual return of blood and the function of the part is restored. Pulsation may be totally absent in the dorsal arteries of the feet and when the legs are allowed to hang down there is apt to be deep congestion.

In this connection a curious case reported by Parkes Weber will not be out of place. The patient, a male, aged 42 years, complained of cramp-like pains in the sole of the left foot and calf of the leg occurring after walking for a few minutes and obliging him to rest frequently. When the legs were allowed to hang over the side of the bed, the[209] distal portion of the left foot became red and congested looking. No pulsation could be felt in the dorsal artery of the left foot or in the posterior tibial artery. There was no evidence of cardiovascular or other disease. An ulcer on the little toe had slowly healed, but cramp-like muscular pains still occurred on walking. The disease had lasted about five years without the appearance of gangrene.

Weber calls this case one of arteritis obliterans with intermittent claudication.

Pulmonary Artery

In the symptomatology of sclerosis of the pulmonary artery the clinical signs and symptoms are mostly referable to the obliterating endarteritis of the smaller vessels, while the physical signs are more apt to reveal the involvement of the main trunk. A history of severe infection in the past is frequent, especially smallpox, and accompanying aortic sclerosis with insufficiency of the mitral valve or stenosis of this valve is the rule. Striking cyanosis is an early symptom, while there is little if any dyspnea and edema. Intermittent dyspragia is common. There seems to be no tendency to clubbed fingers. Repeated hemorrhages from the lungs without the formation of infarcts may occur. There is usually an area of dullness at the upper left margin of the sternum and nearby parts, sensitive to pressure and to percussion, and the heart dullness extends unusually far towards the right. The diagnosis of the right ventricular hypertrophy may be substantiated by a fluoroscopic examination.


[210]

CHAPTER X.

DIAGNOSIS

Early Diagnosis

Arteriosclerosis is essentially a disease of middle life and old age. It is not unusual, however, to find evidences of the disease in persons in the third decade and even in the second decade. Hereditary influences play a most important rōle, syphilis and the abuse of alcohol in the family history are particularly momentous. The recognition of the early changes in the arteries among young persons depends largely upon how carefully these changes are looked for. The difference in the point of view of one man who finds many cases in the comparatively young, and another man who rarely finds such changes early in life, at times, depends upon the acuity of perception and observation and not upon the fact that one man has had a series of unusually young arteriosclerotic subjects. The diagnosis of arteriosclerosis may be so easily made that the tyro could not fail to make it. It is, however, the purpose of this volume to lay stress on the earliest possible diagnosis and, if possible, to point out how the diagnosis may be arrived at. It is obviously much to the advantage of the patient to know that certain changes are beginning in his arteries, which, if allowed to go on, will inevitably lead to one or more of the symptom groups described in the preceding chapters.

The combination of (1) hypertrophied heart, (2) increased blood pressure, (3) palpable arteries, and (4) ringing, accentuated second sound at the aortic cartilage is, in reality, the picture of advanced arteriosclerosis. If the individual is in good condition much may be done by judicious[211] advice and treatment to ward off complications and prolong life with a considerable degree of comfort. But we should not wait until such signs are found before making a diagnosis and instituting treatment. As in all forms of chronic disease the early diagnosis is all important.

The history of the case is the first essential. Often a careful inquiry into the personal habits of a patient, with the record of all the preceding infectious diseases will give us valuable information and may be the means of directing the attention at once to the possible true condition. Particularly must we inquire into the family history of gout and rheumatism. An individual who comes of gouty stock is certainly more prone to arterial degeneration than one who can show a healthy heredity. Alcoholism in the family also is of importance because of the fact that the children of alcoholics start in life with a poor quality of tissue, and conditions that would not affect a man from healthy stock might cause early degeneration of arterial tissue in one of bad ancestry.

What infectious diseases has the patient had? Even the exanthemata may cause degenerations in the arteries, but, as has been shown, such lesions probably heal completely with no resulting damage to the vessel. Should the patient have passed through a long siege of typhoid fever the problem is quite different. Here (vide supra) (Thayer), the palpable arteries do appear to be sclerosed permanently. Probably the length of time that the toxin has had a chance to act determines the permanent damage to the vessel wall. More potent than all other diseases to cause early arteriosclerosis is syphilis, and hence very careful inquiry should be made in regard to the possibility of infection with this virus. Not only the fact of actual infection but the duration and thoroughness of treatment are important matters for the physician to know.

What is the patient's occupation? Has he been an athlete, particularly an oarsman? Has he been under any[212] severe, prolonged, mental strain? Is he a laborer? If so, in what form of manual labor is he engaged? Such questions as these should never be overlooked, as they form the foundation stones of an accurate diagnosis, and early, accurate diagnosis, we repeat, is essential to successful therapy.

We have called attention to the factor of sustained high pressure in the production of arteriosclerosis. Constant overstretching of the vessels leads to efforts of the body to increase the strength of the part or parts. The material which is used to strengthen the weakened walls has a higher elastic resistance than muscle and elastic tissue, but a lower limit of elasticity, and is none other than the familiar connective tissue. In athletes, laborers, brain workers who are under constant mental strain, and in those whose calling brings them into contact with such poisons as lead, there is every factor necessary for the production of high tension and consequently of arteriosclerosis.

Another question in regard to personal habits is how much tobacco does the patient use and in what form does he use it? Our experience is that the cigar smoker is more prone to present the symptoms of arteriosclerosis than the cigarette smoker, the pipe smoker, or the one who chews the tobacco. A very irritable heart results not infrequently from cigarette smoking but such is almost always found in young men in whom the lesions of arteriosclerosis are exceedingly rare. The probabilities are that the arteriosclerosis in cigar smoking results from the slowly acting poison which causes a rapid heart rate with an increase of pressure.

Last but not least, and perhaps the most important question is, has the patient been a heavy eater? This I believe to be a potent cause of splanchnic arteriosclerosis with the resulting indigestion, cramp-like attacks, high blood pressure, etc. In a joking manner we are accustomed to remark, "Overeating is the curse of the American people." There is, however, much truth in that sentence. Osler, than[213] whom there is no keener observer, states that he is more and more impressed with the fact that overloading the stomach with rich or heavy or spiced foods is today one of the first causes of arterial degeneration. It stands to reason that this is true. We know that organs exposed constantly to hard work undergo hypertrophy, and that the blood tension in those organs is high. Blood tension is, after all, dependent on capillary resistance, and if the capillaries are distended with blood, the resistance is great. The digestive organs can be no exception to this rule. Increased work means an increase of blood. This inevitably causes distension of the capillaries with stretching of the arteries and consequent damage to the walls. Once arteriosclerosis is present a vicious circle is established.

A man about forty-five consults us and says that he has noticed recently that he gets out of breath easily; in tying his shoes he experiences some dizziness. He finds that he has palpitation of the heart and possibly pain over the precordial region now and then. He notices also that he is irritable, that is, his family tell him he is, and he notices that things that formerly did not annoy him, now are almost hateful to him. On examination, one finds a palpable radial, a somewhat hypertrophied heart and slightly accentuated second aortic sound. The blood pressure may be high. The urine may or may not reveal any abnormalities. Not infrequently, although no albumin may be found, there are hyaline casts. Such a case of arteriosclerosis is evidently not to be regarded as early. Then the question arises, How are we to recognize early arteriosclerosis? I do not believe that the solution of this problem lies entirely in the hands of the physician. Some men are fortunate enough to come up for an examination for life insurance before an observant doctor who recognizes the palpable artery, makes out the beginning heart hypertrophy and the slightly accentuated second aortic sound. The patient will tell you that he never felt better in his life. He gets up at[214] seven, works all day, plays golf, drinks his three to six whiskies, and is proud of his physical development. But the great mass of people are not fortunate from this standpoint. They do not seek the advice of the physician until they are stretched out in bed. They boast of the fact that for twenty years they have never had a doctor. One may well say that it is a problem how to reach such persons. It seems to me that there can be but one way to do this. The people must be taught that the duty of a physician is just as much to keep them in health as it is to bring them back to health when they are ill. To that end people should be taught that at least twice a year they should be carefully examined. I do not mean that the patient should present himself to the doctor and, after a few questions the doctor say cheerfully, "You are all right." The patient should be systematically examined. That means a removal of the clothing and examination on the bare skin. Such cooperation on the part of patient and doctor would save the patient years of active life and make of the doctor, what his position entitles him to be, the benefactor to the community. Too often careless work on the physician's part lulls the patient into a false sense of security and he wakes up too late to find that he has wasted months or years of life. Early diagnosis of arteriosclerosis is only possible in exceptional cases unless people present themselves to the physician with the thought in mind that he is the guardian of health as well as the healer.

There are patients who go to the ophthalmologist for failing vision. Physically they feel quite well. They have been heavy eaters, hard workers, men and women who have been under great mental strain. On examination of the fundus of the eye there is found slight tortuosity of the vessels with possibly areas of degeneration in the retina. A careful physical examination will usually reveal the signs of arteriosclerosis elsewhere. We have mentioned frequently high tension as an early sign. This must be taken[215] with somewhat of a reservation, for this reason: not infrequently a persistent high tension is the earliest sign of chronic nephritis. The arteries may be pipe stem in character and the heart small and flabby. However, if one watches for the palpably thickened superficial arteries (always bearing in mind the normal palpability as age advances) and the high tension, he can not go far wrong in his treatment whether the case is one of chronic nephritis or of arteriosclerosis.

There is also this to bear in mind. Arteriosclerosis may be marked in some vessels and so slight in the peripheral vessels that it can not with certainty be made out. But when the radials are sclerosed, it is usually the case that similar changes exist in other parts. Then too, there may be marked changes at the root of the aorta leading to sclerosis of the coronary vessels alone, and the first intimation that the patient or any one else has that there is disease, may be an attack of angina pectoris. Except for symptoms on the part of the heart there is no way to make the diagnosis of sclerosis of the coronary arteries.

Differential Diagnosis

In arriving at a diagnosis, when the question is whether or not arteriosclerosis is the main etiologic factor, the most important fact to know is the age of the patient. Other points that have been dwelt on fully must of necessity also be borne in mind.

Possibly the chief conditions that may be confused with some of the results of arteriosclerosis are pseudo angina pectoris which may be mistaken for true angina pectoris, and ulcer of the stomach, appendicitis (?) or other inflammatory abdominal condition which may be mistaken for angina abdominalis.

Differential tables are sometimes of value in fixing the chief points of difference graphically.

[216]

 

Pseudo angina pectoris.True angina pectoris.
 
Etiology rather certain; hysteria, neurasthenia, toxic agents, and reflex irritations.Etiology not certain but almost always associated with arteriosclerosis of the coronary arteries and also aortic regurgitation.
 
No age is exempt. Usually in young people, chiefly females. Age is important factor. Rare before forty, and males usually affected.
  
Paroxysms of pain occur spontaneously, are periodic and often nocturnal. Paroxysms brought on by overexertions or excessive mental emotion. Rarely periodic.
  
Pain, while severe, is diffuse and sensation is of distension of heart. No sense of real anguish. Intense pain, radiating down arm; heart felt as in a vise. Sense of anguish and impending dissolution.
  
Duration may be an hour or more. Duration from few seconds to several minutes.
  
Restlessness and emotional symptoms of causative conditions are prominent. Silent and fixed attitude, rigidity rather than restlessness.
  
Usually no increase in arterial tension. Arterial tension is as a rule increased.
  
Prognosis favorable. Prognosis most unfavorable.

 

In differentiating between ulcer of the stomach and angina abdominalis the following points may be of service:

 

Ulcer. Angina abdominalis.
  
Occurs as a rule in young persons, more often females. Only occurs in adults over forty who have been heavy eaters and drinkers, mostly males.
  
Pain of boring character increased by food and by certain positions with food in stomach. Felt through to left of spine. Pain cramp-like, diffuse, although more localized in epigastrium. Not necessarily any connection with food.
  
Occult blood found in stools. No occult blood in stools.
  
Considerable anemia apt to be present. Anemia more often absent.
  
Arterial tension usually low. Arterial tension high. (Splanchnic sclerosis.)

Diseases in Which Arteriosclerosis Is Commonly Found

There are certain more or less chronic diseases in which arteriosclerosis is found either as a separate disease or as a result of the chronic disease itself, or the sclerosis may be the cause of the disease. As examples of the first class are diabetes mellitus and cirrhosis of the liver. As examples[217] of the second class are chronic nephritis, gout, syphilis, and lead poisoning. Examples of the third class have already been fully described. Then certain rare diseases that have been briefly described in this chapter, viz.: Raynaud's disease and erythromelalgia are frequently associated with demonstrable arteriosclerosis.


[218]

CHAPTER XI.

PROGNOSIS

In a disease that presents as many vagaries as arteriosclerosis, it is not possible to give a certain prognosis. Unfortunately we do not as a rule see the arteriosclerotic until the disease is well advanced, or even after some of the more serious complications have taken place. By that time the condition is progressive, and while the prognosis is grave the individual may live a number of years.

It is fortunate for the arteriosclerotic that mild grades of the disease are compatible with a fairly active life. The disease in this stage may become arrested and the patient may live many years. Not only in the mild grades is this possible. Even patients with advanced sclerosis may enjoy good health provided the organs have not been so damaged as to render them unfit to perform their functions. The frequency with which we see advanced arteriosclerosis at the postmortem table as an accidental discovery, attests the truth of the foregoing statement. Yet how often does it happen that individuals, apparently in the best of health, suddenly succumb to an asthmatic or uremic attack, an apoplexy, cessation of the heart beat, or a rupture of the heart due to arteriosclerosis!

In order to arrive at an intelligent opinion in regard to prognosis certain factors must be taken into consideration, chief of which are: the seat of the sclerosis; the probable stage; the existing complications; and, last and most important, the patient himself. The whole man must be studied and even then our prognosis must be most guarded.

It is much more dangerous for the patient when the process is in the ascending portion of the arch of the aorta than when it has attacked the peripheral arteries. Here, at the root of the aorta, are the openings of the coronary[219] arteries and the arteries supplying the brain are close by. The coronary arteries here control the situation. When loud murmurs are heard at the aortic orifice and the heart is evidently diseased, it is useful to divide the endocarditis into two types, the arteriosclerotic and the endocarditic. The etiology of the former is sclerosis and the prognosis is grave because of the liability, nay the probability, that the orifices of the coronary arteries will become narrowed. The etiology of the second type is in most cases rheumatic fever or some other infectious disease, and the prognosis is far better than in the first type. True, the two may be combined. In such a case, the prognosis is entirely dependent upon the course of the arteriosclerosis.

The involvement of the arteries in the kidneys is of considerable importance, for it is usually bilateral and widespread. As a rule, the disease makes but slow progress provided that the general condition of the patient is good, but at any time from a slight indiscretion or for no assignable cause, symptoms of renal insufficiency may appear and may rapidly prove fatal.

It must not be thought that because the localization of the arteriosclerosis in the peripheral arteries is usually the most favorable condition that it is therefore devoid of ill effects. On the contrary, very serious, even fatal, results may be brought about by interference with the circulation with resultant extensive gangrene of the part supplied by the diseased arteries. The amputation of a portion of a leg, for instance, may relieve, to some extent, an overburdened heart and prove life-saving to the patient, but the neuritic pains are not necessarily relieved. The torture from these pains may be excruciating.

No stage of the disease is exempt from its particular danger. In the early stages of the disease before the artery or arteries have had time to become strengthened by proliferation of the connective tissue, there is the danger of aneurysm. Later, the very same protective mechanism leads to stiffening and narrowing of the arteries and hence[220] to increased work on the part of the heart with all of its consequences. Thrombosis is favored, and where atheromatous ulcers are formed, embolism is to be feared.

As the complications and results of arteriosclerosis come to the front every one must be considered by itself and as if it were the true disease. There may be a slight apoplectic attack from which the patient fully recovers, but the prognosis is now of a grave character, as the chances are that another attack may supervene and carry off the subject. Yet, after an apoplectic attack, patients have lived for many years. Probably the most noted illustration of this is the life of Pasteur. He had at forty-six hemiplegia with gradual onset. He recovered with a resulting slight limp, did some of his best work after the stroke, and lived to be seventy-three years old. Yet the exception but proves the rule and the prognosis after one apoplectic stroke should always be guarded.

The first attack of cardiac asthma is to be looked upon as the beginning of the end. The end may be postponed for some time, but it comes nearer with every subsequent attack. One may recover from what appears to be a fatal attack of cardiac asthma accompanied by edema of the lungs and irregular, intermittent, laboring heart, but the recovery is slow and the chances that the next attack will be the fatal one are increased.

The significance of albuminuria is difficult to determine. The kidneys secrete albumin under so many conditions that the mere presence of albumin in the urine may have but little prognostic value. Many cases are seen where there is no demonstrable albumin, and yet the patient may suddenly have a cerebral hemorrhage. As a general rule the urine should be carefully examined, but not too much stress should be laid on the discovery of albumin and casts. It is not always possible to determine the extent of the kidney lesion by the urinary examination, yet at any time a uremic attack may appear and prove fatal.

[221]After all the most important fact for the patient is not what the pathologist finds in his kidneys after he is dead, but what the living functional capacity of the kidneys is. This can now be determined in a variety of ways as the result of extensive work carried out in quite recent years. The simplest method of determining the functional capacity of the kidneys is by the injection into the muscles of the back of a solution containing 6 mg. of the drug phenolsulphonephthalein in one c.c. of fluid. This comes already prepared in ampules, with full directions for its employment.[16] Some clinicians use indigo-carmine in place of phthalein. The general consensus of opinion is in favor of phthalein.

The nephritic test meal carefully worked out by Mosenthal[17] gives much valuable information. The determination of the nonprotein nitrogen or the creatinin in the blood also reveals the functional capacity of the kidneys.[18]

One might say that the appearance of albumin in the urine of an arteriosclerotic where it had not been before, is a bad sign, and in making a prognosis this must be taken into consideration.

Bleeding from the nose is not infrequently seen in those who have arteriosclerosis. It can hardly be called a dangerous symptom as it can always be controlled by tampons. There are times when epistaxis is decidedly beneficial as it relieves headache, dizziness, and may avert the danger of a hemorrhage into the brain substance. It is rare to have nose bleed except in cases of high tension in plethoric individuals. My experience has been that it has saved me the trouble of bleeding the patient. It is always of serious import in that it indicates a high degree of tension, but there is scarcely ever any immediate danger from the nose bleed itself.

Intestinal hemorrhage is always a grave sign. As has[222] been shown, arteriosclerosis of the splanchnic vessels not infrequently occurs, and an embolus or thrombus may completely occlude the superior mesenteric artery. The chances of the establishment of a collateral circulation are small, as the arteries of the intestines are end arteries. Necrosis of the part follows, blood is found in the stools, and perforation or gangrene, or both, are apt to follow. There may be blocking of small branches only, leading to ulceration of the intestine. Under all conditions the prognosis is serious.

The general condition of the patient, his build, physical strength, powers of recuperation, etc., must be taken into account in giving a prognosis. The more powerful the individual, the more favorable, as a rule, is the prognosis, with this reservation always in mind, that the greater the body development, the greater is the heart hypertrophy, and the accidents from high tension must not be overlooked. Many puny individuals with stiff, calcified arteries go about with more ease than a robust man with thickened arteries only. The differentiation as pointed out by Allbutt (page 186), is well to keep in mind in giving a prognosis. It can not be too strongly emphasized that it is the whole patient that we must consider and not any one system that at the time happens to be the seat of greatest trouble, and by its group of symptoms dominates the picture.

It is evident from what has been said that an accurate prognosis in arteriosclerosis is no easy matter. Were arteriosclerosis a simple disease of an acute character there might be grounds for giving a more or less definite prognosis. The most that can be said is that arteriosclerosis is always a serious disease from the time that symptoms begin to make themselves known. The gravity depends altogether on the seat of the greatest arterial changes, and is necessarily greater when the seat is in the brain than when it is in the legs or arms.

The attitude of the patient himself also determines to a[223] great extent the prognosis. Some men, especially those who have always enjoyed good health, turn a deaf ear to warnings and instead of ordering their lives according to the advice of the physician, persist in going their own way in the hope that the luck that has always been with them will continue to stand at their elbows. Neither firmness nor pleadings avail with some men. The only salve for the conscience of the physician is that he has done his best to steer the patient away from the shoals and breakers. In others who realize their condition and take advantage of the advice given as to the regulation of their lives, the prognosis is generally favorable.

To sum up the chapter in a few words, I should say: Always remember that the patient is a human being; study his habits and character and mode of life; look at him as a whole; take everything into consideration, and give always a guarded prognosis.


[224]

CHAPTER XII.

PROPHYLAXIS

Arteriosclerosis comes to almost every one who lives out his allotted time of life. As has been noted within, many diseases and many habits of life are conducive to the early appearance of arterial degeneration. Decay and degeneration of the tissues are necessary concomitants of advancing years and none of us can escape growing old. From the period of adolescence certain of the tissues are commencing a retrograde metamorphosis, and hand in hand with this goes the deposit of fibrous tissue which later may become calcified. The arterial tissue is no exception to this rule, and we have already shown that certain changes normally take place as the individual grows older, changes which are arteriosclerotic in type and are quite like those caused in younger people by many of the etiologic factors of the disease.

We are absolutely dependent upon the integrity of our hearts and blood vessels for the maintenance of activity and span of life. Respiration may cease and be carried on artificially for many hours while the heart continues to beat. Even the heart has been massaged and the individual has been brought back to life after its pulsations have ceased, but such cases are few in number. We can not live without the heart beat and the prophylaxis of arteriosclerosis consists in the adjustment of our lives to our environment, so that we may get the maximum amount of work accomplished with the minimum amount of wear and tear on the blood vessels.

The struggle for existence is keen. Competition in every profession or trade is exceedingly acute, so much so that to rise to the head in any branch of human activity requires[225] exceptional powers of mind. Among those who are entered in this keen competition, the fittest only can survive for any period of time. The weaklings are bound to succumb. A scion of healthy stock will stand the wear and tear far better than will the progeny of diseased parentage.

It is only necessary to call attention to the part that alcohol, syphilis and insanity play in heredity. These have been discussed fully in the earlier part of this book.

We live rapidly, burning the candle at both ends. It is not strange that so many comparatively young men and women grow old prematurely. While heredity is a factor as far as the prophylaxis of arteriosclerosis is concerned, of far more importance is the mode of life of the individual. Scarcely any of us lead strictly temperate lives. If we do not abuse our bodies by excessive eating and drinking and so wear out our splanchnic vessels and cause general sclerosis by the high tension thereby induced, we abuse our bodies by excessive brain work and worry with all their multitudinous evils. The prophylaxis of arteriosclerosis might well be labeled, "The plea for a more rational mode of life." Moderation in all things is the keynote to health, and to grow old gracefully is an art that admits of cultivation. Excesses of any kind, be they mental, moral, or physical, tend to wear out the organism.

People habitually eat too much; many drink too much. They throw into the vascular system excessive fluid combined frequently with toxic products that cause eventually a condition of high arterial tension. It has been shown how poisonous substances absorbed from the intestines have some influence on the blood pressure. Anything that causes constant increase of pressure should be studiously avoided.

Mild exercise is an essential feature of prophylaxis. One may, by judicious exercise and diet, make of himself a powerful muscular man without, at the same time, raising his average blood pressure. The man who goes to excess and continually overburdens his heart, will suffer the consequences,[226] for the bill with compound interest will be charged against him. It is a great mistake for any one to work incessantly with no physical relaxation of any kind, and yet, after all, it is not so much physical relaxation that is necessary, as the pursuit of something entirely different, so that the mind may be carried into channels other than the accustomed routes. Diversification of interests is as a rule restful. That is what every man who reaches adult life should aim at. Hobbies are sometimes the salvation of men. They may be ridden hard, but even then they are helpful in bearing one completely away from daily cares and worries. The man who can keep the balance between his mental and physical work is the man who will, other things being equal, live the longest and enjoy the best health.

Nowadays the trend of medicine is toward prophylaxis. We give the state authority to control epidemics so far as it is possible by modern measures to control them.

We urge over and over again the value of early diagnosis in all chronic diseases, for we know that many of them, and this applies particularly to arteriosclerosis, could be prevented from advancing by the recognition of the condition and the institution of proper hygienic and medicinal treatment.

It is the patent duty of every physician to instruct the members of his clientele in the fundamental rules of health. Recently the President of the American Medical Association, in his address before the 1908 meeting, urged the dissemination of accurate knowledge concerning diseases among the laity. While this may be done by city and state boards of health, it seems far better for the modern trained physician to work among his own people. With concise information concerning the modes of infection and the dangers of waiting until a disease has a firm hold before consulting the health mender, people should be able to protect themselves from infections and be able to nip chronic processes[227] in the bud. But it is difficult to turn the average individual away from the habit of having a drug-clerk prescribe a dose of medicine for the ailment that troubles him. It is really unfortunate that most of the pains and aches and morbid sensations that one has speedily pass away with little or no treatment. Herein lies the strength of charlatanism and quackery. Unfortunate, yes, for a man can not tell whether the trivial complaint from which he suffers is any different from the one that was so easily conquered six months ago. But instead of recovering, he grows worse. Hope that springs eternal in the human breast, leads him to dilly-dally until he at last seeks medical advice, only to find that the disease has made such progress that little can be done.

Instruct the public to consult the doctors twice a year. The dentists have their patients return to them at stated intervals only to see if all is well. How much more rational it would be if men and women past the age of forty had a physical examination made twice a year to find out if all is well.

The prophylaxis of arteriosclerosis is moderation in all the duties and pleasures of life. This in no sense means that a man has to nurse himself into neurasthenia for fear that something will happen to him. As one grows in years exercise should not be as violent as it was when younger, and food should be taken in smaller quantities. Many forms of exercise suggest themselves, particularly walking and golf. Walking is a much neglected form of exercise which, in these modern days with our thousand and one means of locomotion, is becoming almost extinct. There is no better form of exercise than graded walking. To strengthen the heart selected hill climbing is one of the best therapeutic methods that we have. The patient is made to exercise his heart just as he is made to exercise his legs, and as with exercise of voluntary muscles comes increase in strength, so by fitting exercise may the heart muscle be increased in[228] power. A warning should be sounded, however, against over exercise. This leads naturally to hypertrophy with all its disastrous possibilities. Men who have been athletes when young should guard against overeating and lack of exercise as they grow older. Many of the factors which favor the development of arteriosclerosis are already there, and a sedentary, ordinary life, such as office all day, club in afternoon, a few drinks and much rich food, will inevitably lead to well-advanced arterial disease.

Karl Marx in his famous Socialistic platform said: "No rights without duties; no duties without rights." So we may paraphrase this and say: "No brain work without moderate physical exercise in the open air; no physical exercise without moderate brain work."

There is yet one other point that is important, the combination of concentrated brain work and constant whiskey drinking. This is most often seen in men of forty-five to fifty-five, heads of large business concerns who habitually take from six to twelve drinks of whiskey daily, and with possibly a bottle of wine for dinner. Such men appear ruddy and in prime health but, almost invariably, careful examination will reveal unmistakable signs of arterial disease. There is usually the enlarged heart and pulse of high tension with or without the trace of albumin in the urine. The lurking danger of this group of manifestations has so impressed the medical directors of several of the large insurance companies that a blood pressure reading must be made on all applicants over forty years of age. Should high blood pressure be found, the premium is increased, as the expectation of life is proportionately shorter in such men than in normal persons.

Therefore, let every physician act his part as guardian of health. Only in this way is the prophylaxis of arteriosclerosis possible.


[229]

CHAPTER XIII.

TREATMENT

Although it has been rather dogmatically stated (vide supra) that every one who reaches old age has arteriosclerosis, it must not be inferred that absolutely no exceptions to this rule are found. Cases are known where persons of ninety years even had soft arteries, and we have seen persons of eighty whose arteries could not be palpated. When infants and children are seen with considerable sclerosis, it proves that, after all, it is the quality of the tissue even more than the wear and tear, that is the determining factor in the production of arteriosclerosis. It would be well if those who can not bring healthy progeny into the world were to leave this duty to those who can.

In general the treatment of arteriosclerosis is prophylactic and symptomatic. In the preceding chapter I had something to say about prophylaxis in general; I must again refer to it in detail.

Arteriosclerosis is essentially a chronic progressive disease, and the secret of success in the management of it is not to treat the disease or the stage of the disease, but to treat the patient who has the disease. To infer the stage of the disease from the feeling of the sclerosed artery, may lead to serious mistakes. Persons with calcified arteries may be perfectly comfortable, while those with only moderate thickening may have many severe symptoms. The keynote is individualization. It is manifestly absurd to treat the laboring man with his arteriosclerosis as one would treat the successful financier. The habits, mode of life, every detail, should be studied in every patient if we expect to gain the greatest measure of success in the treatment. One may treat fifty patients who have typhoid fever[230] by a routine method and all may recover. Individualizing, while of great value in the treatment of acute diseases, yet is not absolutely essential in order that good results may be obtained. Far different is it when treating a disease like arteriosclerosis. One who relies on textbook knowledge will find himself at a loss to know what to do. Textbooks can only outline, in the briefest manner, the average case, and no one ever sees the average book case. At the bedside with the patients is the place to learn therapeutics as well as diagnosis. All that can be hoped for in outlining the treatment of arteriosclerosis is to lay down a few principles. The tact, the intuition, the subtle something that makes the successful therapeutist, can not be learned from books. So the man who treats cases by rule of thumb is a failure from the beginning. There are certain general principles that will be our sheet anchors at all times and for all cases. The art of varying the application of these fundamentals to suit the individual case, is not to be culled from printed words.

Hygienic Treatment

Every man is more or less the arbiter of his own fate. Granted that he has good tissue to begin life, his own habits and actions determine his span of comfortable existence. No one cares to live after his brain begins to fail, and the failing brain is often due to disease of the cranial arteries. The hygienic treatment resolves itself into advice in regard to prophylaxis.

First and foremost is exercise. It has seemed to us that the revival of out-of-door sports is one of the best signs of promise of the preservation of a virile, hardy race. That women, as well as men, indulge in the lighter forms of out-of-door exercise should bring it about that the coming generation will start in life under the most advantageous conditions of bodily resistance.

Among all the forms of exercise, golf probably is the best.[231] It is not too violent for the middle-aged man, yet it gives the young athlete quite enough exercise to tire him. It is played in the open. One is compelled to walk up and down in pleasant company, for golf is essentially a companionable game, while he reaps the full benefit of the invigorating exercise. The blood courses through the muscles and lungs more rapidly; the contraction of the skeletal muscles serves to compress the veins and so to aid the return of blood to the heart: the lungs are rendered hyperemic, deeper and fuller breaths must be taken; oxidation is necessarily more rapid, and effete products, which if not completely oxidized would possibly act as vasoconstrictors, are oxidized to harmless products and eliminated without irritating the excretory organs.

Other forms of out-door exercise that can be recommended are tennis, canoeing, rowing, fishing, horseback riding, swimming, etc. Tennis is the most violent of all the sports mentioned and might readily be overdone. Rowing as practiced by the eights at college is undoubtedly too violent a form of exercise, and may be productive in later life of very grave results. Canoeing is a delightful and invigorating exercise. The muscles of the arms, shoulders, and trunk are especially used, the leg muscles scarcely at all. Nevertheless, the deep breathing that necessarily comes with all chest exercises aerates every portion of the lungs, and is of great benefit to the whole body.

Swimming as an exercise has much to recommend it. In this sport all the muscles take part and at the same time the chest is broadened and deepened.

All these methods of using the muscles to keep oneself in trim, so to speak, are part and parcel of the general hygienic mode of life that is conducive to a healthy old age. Exercise can be overdone, as eating can be overdone. Both are essential and yet both can be the means of hastening an individual to a premature grave.

When the arteriosclerosis has advanced so far that it is[232] easily recognizable, certain forms of exercise should be absolutely prohibited. Such are tennis, rowing and swimming. Horseback riding to be allowed must be strictly supervised. At times this may be an exceedingly violent exercise. As an out-of-door sport, there is nothing that equals golf. The physician, knowing the character of the course, and the length of it, can say to his patient that he may play six, nine, twelve, or eighteen holes, depending on the patient's condition.

For those who are not able to get out, exercise in the room with the windows open must take the place of out-of-door sports. Here the use of chest weights is a most excellent means of keeping up the tone of the muscles. By adjusting the weights, the exercise may be made light, medium, or heavy. Every physician should be familiar with the chest weight exercises. They are not as good as open air exercise but they undoubtedly have been the means of saving years of life to many patients with arterial disease.

There comes a time when all forms of exercise must be prohibited on account of the dyspnea, edema, dizziness, etc. It seems unwise to keep such a patient in bed, even though the edema be considerable. Once on his back in bed he becomes weak, and the danger of edema of the lungs or hypostatic congestion of the bases, with subsequent bronchopneumonia, is very great.

Such patients may be allowed to sit up in a comfortable chair with the legs supported straight out on a stool or other chair. The half reclining position is not easy to assume in bed. Considerable ingenuity must often be exercised by the physician in making the patient comfortable without increasing the symptoms from which the patient suffers following the least amount of exercise. Although such persons can not exercise actively, they should have passive exercise in the form of massage, carefully given, so that no injury is done to the rigid vessels. It is possible to[233] rupture a vessel, the walls of which are encrusted with lime salts, and full of small aneurysmal dilatations. Every patient must be watched carefully and measures instituted for the individual.

Balneotherapy

As a tonic and invigorator, the cold or cool bath (shower or tub), in the morning on arising can be highly recommended. It promotes skin activity, is a stimulant to the bowels and kidneys and to the general circulation, besides being cleansing. We find today that the morning bath has become such a necessity to the average American that all new hotels are fitted with private baths, and old hotels, in order to get patronage, are arranging as many baths connected with sleeping rooms as is possible. Our generation assuredly is a ruddy, clean-bodied one. What the actual results of this out-door life and frequent bathing will be for the race remains to be seen, but one can not but feel that it must build up a stronger, more resistant race of people, who not only enjoy better health than did their forefathers, but enjoy it longer.

Not every one can stand a cold bath. It is folly to urge it on one to whom it is distasteful, or on one who does not feel the comfortable glow that should naturally result. For the well, or those with a tendency to arteriosclerosis, or those in whose families there have been several members who had early arteriosclerosis, such proceedings as recommended could not be improved upon. However, for the person who has well recognized sclerosis, only warm baths should be advised, and these not daily. The water should be at a temperature of 90-95° F. Care should be taken that persons sent to spas be cautioned against hot baths. It is not inconceivable that the increased force of the heart beat that accompanies a hot bath might be sufficient to rupture a small cranial vessel. Hence, Turkish and Russian baths should be most unqualifiedly condemned. As a matter[234] of fact, persons vary so in their habits with regard to bathing that what might suit one person would do another much harm.

Personal Habits

The personal habits of the individual, more than any other factor, determine whether or not arteriosclerosis sets in early in his life. The man or woman who is moderate in eating and drinking, sees that the kidneys are kept in good condition, and attends strictly to regularity of the bowels, lays a good basis for the measure of health which is so essential for happiness. It has been shown that sclerosis of the splanchnic vessels may be due to constant irritation of toxic products elaborated in digesting constantly enormous meals. In obstinate constipation, many poisons, the nature of which we do not know, are absorbed and circulate in the blood. We have not sufficient data to prove that constipation favors the production of arteriosclerosis, but our impression has been that it does favor it. Constipation can often be relieved by a glass of water before breakfast, a regular time to go to stool, and abdominal massage or exercises. Some maintain that it is a bad habit only, and can be readily overcome. Whatever is done, avoid leading the patient into the drug habit, for the last state of the patient will be worse than the first. Habits of sleep are not of such great importance. Most persons get enough sleep except when under severe mental strain. Most adults need from seven to eight hours' sleep, although some can do all their work and keep in prime health on five or six hours' sleep.

Tobacco has been accused of causing many ills and has been thereby much maligned. We can not see that the use of tobacco in any form in moderation is harmful to most men. Undoubtedly the blood pressure is raised when mild tobacco poisoning occurs, and individual peculiarities of reaction to the weed are multitudinous. But to condemn offhand[235] its use is the height of folly. There is no reason why the arteriosclerotic who has always used tobacco in moderation, should not continue to use it, whether he smoke cigarettes, cigars, or pipe. His supply should be decreased, but there is no sense in depriving a man of one of the solaces of life, unless, as is sometimes the case, abstinence is easier for the patient than moderation.

As for alcohol, opinions differ widely.[19] Some see in alcohol one of the most frequent causes of arteriosclerosis; others do not believe that the part played by alcohol is a serious one, only in conjunction with other poisonous substances is it dangerous. Probably unreasoning fanaticism has had much to do with the wholesale condemnation of alcoholic beverages. The general effect of alcohol is to lower the blood pressure by causing marked dilatation of all the vessels of the skin. True, the alcohol circulates in the blood, and is broken up in the liver, and this organ would seem to bear the brunt of the harm done. Alcoholic drinks in moderation, I do not believe have any deleterious effect on health. On the contrary, I believe that they may in some cases assist digestion and assimilation. Indiscriminate indulgence is to be condemned, as is overindulgence in exercise or eating. What may be moderate for A, might be excessive for B. Every man is then the arbiter of his own fortune and within his own limits can indulge moderately (a relative term after all) without fear of doing himself harm. In advanced arteriosclerosis it is necessary to decrease the supply of alcohol just as it is necessary to cut down the food supply. This must rest entirely on the judgment of the physician, who must not act arbitrarily, but must have his reasons for every one of his orders.

Dietetic Treatment

Most persons eat too much. We not only satisfy our hunger, but we satisfy our palates, and, instead of putting[236] substantial foodstuffs into our stomachs, we frequently take unto ourselves concoctions that defy description.

Foodstuffs are composed of one or all of three classes: (1) proteins, (2) fats, (3) carbohydrates. As examples of the first are beef and white of egg; of the second, the oils, butter, lard; of the third, sugar, potato, beet, corn, etc.

The physiologists and chemists have shown us that both endogenous and exogenous uric acid in excess will cause a rise of blood pressure, but the bodies most concerned in the production of elevated blood pressure are the purin bodies, those organic compounds which are formed from proteins and represent chemically a step in the oxidation of part of the protein molecule to uric acid. Red meat contains more of the substances producing purin bodies than any other one common foodstuff, and for this reason the excessive meat eater is, ceteris paribus, more apt to develop arteriosclerosis comparatively early in life.

The fats and carbohydrates contain practically no substances that react on the body of the ordinary individual in a deleterious manner during their digestion. The extra work that is put on the heart by the formation of many new blood vessels in adipose tissue is the only harmful effect of overindulgence in these foodstuffs.

It has been found that nitrogen equilibrium can be maintained at a wide range of levels. Formerly 135-150 gms. of protein daily were considered necessary for a man doing light work. Now it is known that half that amount is sufficient to keep one in nitrogenous equilibrium, and to enable one to keep his weight. A person at rest requires even less than that. One who is engaged in hard physical labor burns up more fuel in the muscles, and so must have a larger fuel supply.

Although we habitually eat too much we drink too little water. For those who have any form of arterial disease an excess of fluid is harmful, as the vessels become filled up and a condition of plethora results, which necessarily[237] reacts injuriously on the heart and circulation. The drinking of a glass of water during meals is, in the author's opinion, good practice. The water must be taken mouthful at a time, and not gulped down. If this is done, there results sufficient dilution of the solid food to enable the gastric juices successfully and rapidly to reach all parts of the meal.

Some are in favor of a rigid milk diet for those who have arteriosclerosis. Some men have lived on nothing but milk for several years and have not only kept in good health, but have actually gained weight and led at the same time active lives. It has been held by others that rigid milk diet is positively harmful on account of the relatively large quantity of calcium salts that are ingested. This was thought to favor the deposition of calcareous material in the walls of the already diseased arteries. While possibly there may be some danger of increased calcification, the majority of clinicians are in favor of a milk cure given at intervals. Thus the patient is made to take three to four quarts daily for a period of a month. There is then a gradual return to a general diet, exclusive of meat, for several weeks, then another rigid milk diet period.

If we are bold enough to follow Metschnikoff in his theories of longevity, we might advise resection of the large intestine, on the ground that it is an enormous culture tube that produces prodigious amounts of poisonous substances which are thrown into the general circulation. To combat such a grave (?) condition as the carrying of several feet of large intestine, we are recommended to take buttermilk or milk soured by means of the b. acidus lacticus. Clinical experience has taught that in arteriosclerosis buttermilk is of great value, whether it be the natural product, or made directly from sweet milk by the addition of the bacilli. The latter is a smoother product and has, to my mind, a delightful flavor. It may be diluted with Vichy or plain soda water. Cases that can not take milk or any other food will[238] often take buttermilk, and do well on this restricted diet. From two to four quarts daily should be taken. It should be drunk slowly as should milk.

Medicinal

It has long been thought that the iodides have some specific effect on the advancing arteriosclerosis, checking its spread, if not really aiding nature to a limited restoration of the diseased arteries. It is possible that the eulogies upon the iodides owe their origin to the successful treatment of syphilitic arteriosclerosis, in which condition these drugs have a specific action. However that may be, there is no doubt that the administration of sodium or potassium iodide is good therapeutics in cases of arteriosclerosis.

Unfortunately many persons have such irritable stomachs that they can not take the iodides, even though they be diluted many times. They may be made less irritating by giving them with essence of pepsin. Unless the case is syphilitic, it is doubtful whether it is of value to increase the dose gradually until a dram or even more is taken three times daily after meals. Usually a maximum dose of ten grains seems to be quite sufficient. This may be taken three times a day, well diluted, for three months. There follows a month's rest, then the treatment is resumed for another period of three months, and so on. Either sodium or potassium iodide in saturated solution may be given. The sodium salt is possibly less irritating, and contains more free iodine than the potassium salt, although the latter is more generally used. The strontium iodide may also be used.

One sees a patient now and then who can not take the iodides, however they may be combined. For such patients one may obtain good results with iodopin, sajodin, or other of the preparations put up by reputable firms. Personally I have never yet seen a patient who could not take the ordinary iodides in some form or other, and I am opposed to ready made drugging.

[239]The action of the iodides is to lower the blood pressure, and they are of greatest value when the blood pressure is high, and when headache and precordial pain are present.

When the case is moderately advanced, very mild doses, gr. ½, morning and evening, of the thyroid extract may be given. It is generally believed that the internal secretion of the thyroid and the adrenal are antagonistic. That the thyroid secretion lowers blood pressure in certain forms of hypertension is certain, possibly on account of its iodine content. Some combinations of iodine and thyroid such as the iodothyroidin have been used and have had some measure of success attributed to them.

Hypertension does not always demand active measures for its reduction. Viewed from the physiologic standpoint, hypertension is but the expression of a compensating mechanism which is designed to keep the blood moving through narrowed channels. Heart hypertrophy then is absolutely essential to the maintenance of life. It has been said that the highest blood pressures occur in chronic disease of the kidneys. The poisonous substances produced in the kidneys must exert their action through absorption into the general blood stream. This toxin may be completely eliminated, if we accept as our criterion the reduction of tension to normal together with the complete return of the affected individual to health. A concrete example is as follows: A man aged 44 years was brought to the Milwaukee County Hospital in coma. His systolic blood pressure was over 280 mm. Hg, diastolic 170 mm., his urine contained considerable albumin and many casts. He had general anasarca. Venesection was done at once and 300 c.c. blood obtained. Immediately following this operation the pressure was 210-150, but within twelve hours it was again above 280-170. He was given no medication to reduce pressure except that he was freely purged. He was given a steam sweat bath daily. Frequent blood pressure readings were taken. Within seven days the pressure was[240] 130-86. He had, in the meantime, completely recovered from his symptoms. He was kept in the hospital for two weeks longer assisting in the work on the ward, and he was discharged with a pressure (systolic) between 130 and 136 diastolic 80-84. The treatment was rest in bed, free purging, venesection, and sweat baths, simple but exceedingly effective.

Should there be actual indications for reducing the blood pressure, I must admit that it can not always be done. The majority of cases will do well on the sodium nitrite or erythrol tetranitrate. However, these do not always lower blood pressure and keep it within normal limits. When a man has very high tension we do not wish to reduce it to what it should normally be for the age of the patient, as symptoms of collapse might set in at any time under such conditions.

Observations made with the sphygmomanometer[20] show that the effect of nitroglycerin is transient or of no effect except in doses which are relatively enormous (one drop of the one per cent solution given every hour). Sodium nitrite may lower the blood pressure but the effects will have worn off in two hours. It is the same with erythrol tetranitrate. Sodium sulphocyanate in doses of from one to three grains three times a day is highly recommended by some. My own experience with it does not lead me to believe that it is of any great value in hypertension. It, however, may be tried. Benzyl benzoate has been used recently to reduce the high blood pressure of hypertension. Macht has reported some success. In the author's hands it has been efficacious in a few cases. As long as the patient takes the drug the pressure may be slightly reduced, but upon the withdrawal of the drug the pressure returns to its former level. It is well worth a trial and further experimentation[241] may reveal better methods of administration. The dose is from 2 to 6 c.c. mixed with water at intervals.

In the hypertension of the menopause some have had success with large doses of corpus luteum extract. As a matter of fact the drug treatment of hypertension, when it becomes necessary to treat this condition with drugs, has suffered a notable set-back since more careful control has been made with the blood pressure instruments. In giving any of the depressor drugs their action should be controlled by blood pressure measurements, for only in this way can we be sure that the drug is exerting its physiological effect and we may expect results. The individual reaction to these drugs varies greatly and no rule for dosage can be dogmatically laid down. The only successful therapy is rigid individualization. This is the keystone to treatment in cases of arteriosclerosis and high tension.

It must not be inferred from what has been said that the nitrites are of no value. They are of decided value but they have their limitations. The most evanescent of these drugs is amyl nitrite. This is put up in the form of capsules, or pearls, containing from one to three minims. When it is desired to dilate the peripheral vessels suddenly, one or two of these capsules are broken in a cloth held to the nose. The effect is almost instantaneous. There is flushing of the face and other peripheral vessels, particularly near the head, denoting a relaxation and widening of the bed of the blood stream, and a consequent decrease in pressure in the arteries. These effects are over in a short while. It is only used in attacks of cardiac spasm, as in angina pectoris. Nitroglycerin, the Spiritus Glonoini of the U. S. P., acts in about the same manner as amyl nitrite but the effects last usually a trifle longer. One drop of the one per cent solution may be given every hour until physiologic effects are produced. It may be given hypodermically. This may be a means of reducing pronounced[242] high tension. This drug has been found of benefit especially in cases where arteriosclerosis combined with chronic nephritis causes cardiac asthma. The other drug which may be of service in these conditions, one whose sphere of action is somewhat broader, because its effects are more lasting, is sodium nitrite. This is given in water in doses of one to three or five grains every four hours. Some have objected to the use of this drug, but my experience has made me place considerable confidence in its harmlessness, provided that the patient is carefully watched. This, however, applies to all of the nitrite compounds. My experience with erythrol tetranitrate is not large. It may be used in place of sodium nitrite.

For a mild case, one often finds that sweet spirits of niter is sufficient to control the pressure and relieve the distressing symptoms, and it is undoubtedly the least harmful of all the nitrites. Drugs that are of great value, but of which little is noted in textbooks, are aconite and veratrum viride. Both of these drugs are well known to be marked circulatory depressors. Veratrum viride in my experience should be very cautiously used, and never used unless a trained attendant is constantly at hand. With regard to aconite I have no such feeling, and a mixture of tincture of aconite and spiritus etheris nitrosi may be given for several weeks with no fear of doing any harm. Personally, of all the drugs mentioned, I prefer the nitrite of sodium or the combination just given. They may be advantageously alternated.

My own feeling is that the most successful means of treatment of acute high tension is without the use of drugs. The most important measure is absolute rest in bed. This often suffices to lower the blood pressure and to arrest the symptoms produced by high tension. Venesection I believe is also of value. True the arterioles appear to contract almost immediately upon the lessened quantity of blood, or there is immediate interchange of serum from the tissues[243] which brings the blood volume back to the original amount. Whatever happens the pressure is not greatly reduced, at times not reduced at all, but often the symptoms are relieved. Hot packs or sweat baths assuredly do reduce the pressure in many cases. This seems to me to be an exceedingly valuable measure. Finally the diet should be nourishing, but very light, not too much fluid should be ingested, and the bowels should be freely opened.

With the fibrolysin of Merck, I have had no experience. Some men assert that they have had good results from its use, but on the whole the evidence is not highly favorable.

Morphine is invaluable. No drug is of such value in the nocturnal dyspneic attacks that occur in the late stages of arteriosclerosis when the heart or the kidneys are failing. Morphine not only relaxes spasm and quiets the cerebral centers, but is an actual heart stimulant under such conditions, and should never be withheld, as the danger of the patient's becoming addicted to its use is more fanciful than real. However, morphine, at times, suppresses the secretion of urine. So that if after trial the urine becomes scanty and the edema increases, recourse must be had to other drugs. The various hypnotics may be used with caution. One which seems to be very useful is adalin.

As heart stimulants, one may use strychnine, spartein, caffein, or camphor. In desperate cases, where a rapidly diffusible stimulant is needed, a hypodermic syringeful of ether may be given, and repeated in a short while.

Several years ago a so-called serum was brought out by Trunecek which was said to have a favorable effect on the metabolism of the vessel walls. It was given at first hypodermatically or intravenously but the former method was painful. It was later stated that given by mouth it acted just as well. The results with the Trunecek serum have not come up to the expectations that the early favorable reports promised. The original serum was composed as follows:[244] NaCl, 4.92 gm.; Na2SO4, 0.44 gm.; Na2CO3, 0.21 gm.; K2SO4, 0.40 gm.; aqua destil. q. s. ad. 100.0 c.c. Later this was modified for internal use to the following prescription:

  Natrii chlor.                10.     gm.
Natrii sulphat.                1.     gm.
Natrii carbonat.             0.40 gm.
Natrii phosphat.             0.30 gm.
Calcii phosphat.
Magnesii phosphat. aa.  0.75 gm.
M. Ft. cachets No. XIII.

The contents of every cachet corresponds to 15 c.c. of the fluid serum or to 150 c.c. of blood serum. The preparation called antisclerosin consists of the salts contained in the serum. As to its efficacy, I can not judge, as I have never felt that it was worth while to use it. Reports of cases in which it has been tried do not speak very highly of it.

In the general treatment of arteriosclerosis, there is no one factor of more importance than the regular daily bowel movement. Attention to this may save the patient much discomfort and even acute attacks of cardiac embarrassment. The choice of the purgative is immaterial, with this reservation only, that the mild ones, such as cascara, rhubarb, licorice powder and the mineral waters, should be thoroughly tried before we resort to the more drastic purgatives. Plenolphthalein in 3 to 5 grain doses acts remarkably well in some people as a pleasant laxative. Agar-agar with or without cascara may be useful.

Liquid paraffin under a variety of names is a most useful and efficacious laxative. As its action is purely mechanical it may be taken indefinitely without doing harm to the intestinal musculature.

The old Lady Webster dinner pill is an excellent tonic aperient. When the heart is embarrassed and edema of the legs and effusion into the serous cavities have taken place, then it becomes necessary to use the drastic purgatives that cause a number of watery movements. Epsom salts[245] given in concentrated form, elaterin gr. 1-12, the compound cathartic pill, blue mass and scammony, or even croton oil may be used. Since the observation of a greatly congested intestine from a patient who had been given croton oil, I have ceased to use this purgative, and I doubt much whether its use is ever justifiable in these cases.

The management of the ordinary case of arteriosclerosis resolves itself into a careful hygienic and dietetic regime with the addition of the iodides, aconite, or the nitrites. A diet consisting of very little meat, alcohol in moderation or even absolutely prohibited, and not too much fluid should be prescribed. Condiments and spices should also be used sparingly. Cold baths, shower baths, cold and hot sheets alternating, are of great benefit in assisting the heart to do its best work by making the large capillary area of the skin more permeable. It is not true that such baths raise the blood pressure so markedly. Certain acts, as sneezing, violent coughing, etc., increase the blood pressure much more than judicious bathing.

Symptomatic Treatment

The fact that arteriosclerosis really loses much of its own identity and, in later stages, becomes merged with the symptomatology of the diseases of various organs, as the kidney, brain, heart, compels us, for completeness' sake, to say a few words about the treatment of these complications.

One of the results of arteriosclerosis of the coronary arteries, angina pectoris, demands prompt treatment. In the acute attack, the chief object is to relieve the spasm and pain. Pearls of amyl nitrite should be inhaled, and morphine sulphate with atropine sulphate given hypodermatically at the very earliest moment. It is senseless to withhold morphine. The only possible reason for withholding it would be uncertainty as to the diagnosis. It is probably better to err on the safe side, and should the case prove to[246] be one of pseudo angina, in the next attack sterile water can be given instead of the morphine and atropine.

When a patient is seen in the condition of broken compensation with the much dilated heart, anasarca, dyspnea and suppression of urine, there is no better practice than venesection. Especially is this valuable when the tension is still fairly high and the individual is robust. Following the abstraction of six to eight ounces of blood (300-500 c.c.)[21] the whole picture changes, so that a man who a short while before was apparently at death's door, notices his surroundings and takes an interest again in life. This should be followed up with thorough purgation, and cardiac stimulants should be ordered. In such cases digitalis is useful, but its action is never so striking as in cases of this general character due to uncompensated valvular disease. It must be remembered that in arteriosclerosis the changes in the myocardium must be of a considerable grade for the heart to give away. Therefore, digitalis can not be expected to act on a diseased muscle as it acts on a comparatively healthy muscle. It is only in such cases of broken compensation that digitalis should ever be used.

Digitalis is not a general vasoconstrictor as used to be taught. Its action on the kidney is actually a vasodilator one. And in its action on the heart the digitonin dilates the coronary arteries, according to Macht, while the digitoxin acts on the heart muscle. Overdosing with digitalis has produced partial heart block in many cases. It is absolutely contraindicated in Stokes-Adams syndrome.

There are, however, some cases, especially those with transudations, when digitalis may be carefully tried even though high tension be present. It is sometimes of advantage to combine digitalis with the nitrites although they are said to be physiologically incompatible.

Still another drug, that is of great value in conditions such as have been described, is diuretin. This may be given in capsule or tablets, grs. x. three times daily. There is only[247] one caution to express in the use of this drug. It should not be given when the kidneys are the seat of chronic inflammatory changes; in fact, actual harm may be done by administering the drug under such conditions.

The same is true even to a greater extent with theocin. This is a powerful diuretic. If given by mouth it should be well diluted as it is most irritating to the stomach. It is best given intravenously in doses of two and a half to three grains dissolved in five to six cubic centimeters of distilled water. One must be reasonably sure that the kidneys are not the subject of chronic disease and are functionally, therefore, below par. The intravenous dose should not be given oftener than once in four days.

For the pain in aneurysm, nothing (except, of course, morphine) is so valuable as iodide of potassium. Patients who are suffering agony, when put to bed and given KI grs. x. three times a day, soon lose all the distressing symptoms. This applies particularly to aneurysms of the arch of the aorta.

When the sclerosis has affected the cerebral arteries to such an extent that symptoms result, the case is, as a rule, exceedingly grave. Not much can be done except to relieve the headaches and keep down the blood pressure, if this is high, by means of rest in bed, the iodides, aconite, or the nitrites. The cases of transient monoplegias or hemiplegias can be much relieved by careful hygienic measures and judicious administration of drugs. Much ingenuity is sometimes required to overcome the idiosyncrasies of patients, but care and patience will succeed in surmounting all such difficulties.

The treatment of intermittent claudication is the treatment of arteriosclerosis in general. Sometimes the circulation in the affected leg or legs is much helped by daily warm foot baths. Light massage might be tried and the galvanic current may be used once or twice daily.

[248]There are a few distressing symptoms that occur usually late in the disease, when complications have already occurred, which frequently baffle the therapeutic skill of the physician. The chief of these—insomnia, dyspnea, and headache—may not be late manifestations, but insomnia and headache are frequently associated with the moderately advanced stages of arteriosclerosis. At times all the symptoms seem to be due to the high tension, the relief of which causes them to disappear. There are, unfortunately, times when high tension is not responsible for the headache and insomnia. Under these circumstances such drugs as trional, veronal, amylene hydrate, ammonol, etc., may be tried until one is found which produces sleep. For the headaches, phenacetin, alone or in combination with caffein and bromide of sodium, may be tried. Acetanilid, cautiously used, is at times of value. There have been cases of arteriosclerosis with low blood pressure, accompanied by severe headaches, that have been relieved by ergot. Codeine should be used with care, and morphine only as a very last resource.

Great care must always be exercised in giving drugs that depress the circulation, for it is easily conceivable that more harm than good can come from injudicious drugging.


[249]

CHAPTER XIV.

ARTERIOSCLEROSIS IN ITS RELATION TO LIFE INSURANCE

The value of the early recognition of cases of arteriosclerosis and hypertension has been spoken of within, but it needs to be further emphasized. There is perhaps no class among physicians to whom is afforded a better opportunity of seeing early cases than the medical examiners of life insurance companies.

The relationship between a patient and the physician whom he consults, and the applicant for life insurance and the examiner are diametrically opposite. In the former the patient desires to conceal nothing and the physician is called upon to diagnose and treat disease. In the latter the applicant, a presumably healthy person, may have much to conceal and the examiner is there to pass upon the state of health. The question is this—"Is the applicant now in good health?" It becomes then of vital importance for the examiner to be able to detect among other abnormal conditions the incipient signs of arteriosclerosis and of hypertension. Parenthetically it may be stated that arteriosclerosis and hypertension are not one and the same disease as has been so frequently insisted upon within; the former may occur without the latter but the latter can not from its very nature be present for long without arterial thickening supervening. It is necessary in discussing the question here to group the two conditions together in order to prevent needless repetition.

Such a case as the following is common. A successful business man of forty-four years was brought to me by an agent in 1905 for examination. The man was six feet tall, weighed 218 pounds, had a ruddy color and looked to be the[250] picture of health. He was not strictly intemperate, he never became intoxicated, but every day he drank three or four whiskies and often he had a bottle of wine for dinner in the evening. When he was examined his pulse was of good quality and owing to the fleshiness of the wrist it was difficult to say positively whether the radial artery was sclerosed or not. In the heart no murmurs were heard, and it was difficult to be sure that the left ventricle was enlarged. There was, however, a slight but definite accentuation of the second sound at the aortic cartilage which might readily have been overlooked had the patient not been stripped and a careful examination made with the stethoscope. Upon taking the blood pressure it was found to be from 170-175 mm. of Hg. The urine specimen examined at the visit was normal, no casts were found. The applicant was seen at his home and the blood pressure measured. It was again the same. He was seen a third time and practically the same systolic blood pressure was found. Under protests from all the agency staff the man was declined. Two years later he died of apoplexy. The man was angry at being refused. Instead of looking the matter squarely in the face he thrust aside the idea that there was anything the matter with him. He had never had one ill day in his life, his forebears had lived to ripe old age, and he was sure that he knew more about himself than the examiner.

Had this applicant showed a sense of reasonableness he should have been grateful to the doctor for calling his attention to a condition which surely would sooner or later prove either fatal itself or lead to some fatal lesion. It was learned that this man had gone directly to his family physician who laughed at such nonsense as had been told the (now) patient by the examiner.

Another illustration of a slightly different type of case is afforded in the following history.

A man of fifty years of age, five feet ten in height and 164 lbs. in weight, was brought for examination. In his youth[251] there was a history of a mild attack of scarlet fever. He was almost a total abstainer, rarely taking liquor in any form. Physically he appeared to be an excellent risk. However, on examining the heart it was found that there was slight hypertrophy with an accentuated second aortic sound at the base, and the blood pressure was 180 mm. of Hg. Some sclerosis of the radial arteries was found. One company had refused him on account of albumin in the urine. There was none in the first specimen which was passed while in the office. The specific gravity was 1014. A morning specimen was obtained and contained a trace of albumin. Several specimens were then examined. Some contained albumin, some had no albumin content. The man was declined; no protests from the agent as albumin had been found. There was something tangible in that. Had the applicant been refused on account of his high tension, sclerosis of the radials, and slightly enlarged heart there would undoubtedly have been protests. And yet an applicant revealing such a state of the cardiovascular system without albumin in the urine should unhesitatingly be declined. Attention has been called to hypertension as an early, and some think an invariable, sign of chronic nephritis. My own experience has confirmed me in the belief that in hypertension the kidneys are often the seat of chronic interstitial changes. Careful palpation of the radial and brachial arteries will in every case reveal more or less thickening.

There is yet another group of cases which the examiner sees as healthy subjects, namely those cases of sclerosis of the peripheral arteries without sclerosis of the aorta and without high tension. In such cases the radials, brachials, temporals and other superficial arteries are readily palpable, sometimes even revealing irregularities along the course of a vessel. Such cases are not subjects for insurance. The recognition of such a condition is of great importance to the one who has it and he should be urged to go to[252] his regular physician for thorough examination. Should the physician ridicule the idea, as has happened to me more than once when I was actively engaged in insurance work, the examiner has done his full duty to the company, the applicant, and himself.

A life insurance examiner has a difficult position to fill. He has four people to satisfy; the applicant, the agent, the medical director and himself. The straight and narrow path of strict honesty is his only salvation. By being honest with himself he necessarily gives a square deal to the other three parties.

No applicant who has palpable arteries or hypertension can be considered a first class risk. It can not be denied that men with arteriosclerosis live to an advanced age and may even outlive those who have apparently normal arteries, but the average life expectancy at any age for an arteriosclerotic is less than that for a normal person. The apparently healthy applicant who learns for the first time when examined for life insurance that he has the early or moderately advanced signs of arterial disease, should thank the agent and examiner for showing him the danger signals ahead. The sensible man then orders his life so that he puts as little strain on his heart, arteries, and kidneys as possible and may add many years to his life.

It is on account of this very insidiousness of onset that I have elsewhere urged as a prophylactic measure the examination every six months of all persons over forty years of age. I am more and more convinced that it is of vital importance to the health of the public.

As I have remarked, the average man consults his dentist at least once a year so that no tooth may be so far diseased that it can not be saved. It is purely a means of preserving the teeth. Why not do the same with the whole body? Of what use is it to save the teeth and lose the body? It seems to me that the great army of life insurance examiners are in an enviable position in their ability to add years of life[253] to many men and women. I doubt whether they realize their importance in the campaign for health. I should urge life insurance companies not to employ recent graduates unless they have had at least a year's hospital experience. For the company as well as for the individuals I believe that there is a prognostic sense which the examiner should have and this can only be acquired by experience.

I believe that arteriosclerosis and hypertension are increasing for the reasons which have been given in another chapter. There can be no doubt that when these conditions are recognized long before symptoms would naturally supervene, men and women would not only live longer but also die more comfortably and many very likely would be carried off by some disease having no relationship whatever to arteriosclerosis. Slight enlargement of the heart downward and to the left, accentuation of the second aortic sound at the base, a full pulse, arteries which are palpably thickened, increased blood pressure are signs to which attention must be paid.

When the peripheral arteries are palpable they are not always sclerosed. The radial artery, the one usually palpated, may lie very close to the bone in a thin person. Under these conditions the artery can be easily felt. It is better then to palpate for the brachial as it lies beneath the inner edge of the biceps muscle. Should this artery be felt then very probably sclerosis is present. Opinion as to whether or not sclerosis is present, when it is slight, may differ. It is difficult at times to say definitely. Should such be the case the applicant should be most carefully questioned as to his family and past history, the heart should be carefully outlined by percussion and the blood pressure should be taken, both the systolic and diastolic pressures. The urine should be examined with particular care. I am aware that the average examination for life insurance is not made with the care which is bestowed upon a patient. Yet I see no reason why the same attention to detail[254] should not be given in one as in the other. The examination of the great majority of applicants can he made in a short time, as there is no question of latent chronic disease. When the exception turns up he should be given a searching examination and a full report should be sent to the Medical Director. Only in this way will it be possible to weed out the undesirable risks.

On the surface it does not seem to require any great diagnostic acumen to be a life insurance examiner. In the old days of many of the companies there were no examiners. The applicant was brought before the president or other appointed official and he was passed or rejected on his general appearance. This has changed, and now the medical department with its scores of examiners in the field is a well organized department.

It seems to me that the examiner should be an exceedingly able diagnostician and prognosticator. There is no telling when he may be called upon to pass judgment on a borderline case. From personal experience I know how difficult it is to make a decision in some cases. These suspicious cases after a careful examination had better be passed by the examiner and a supplementary report sent to the medical director containing unbiased details. But no applicant with readily palpable arteries, even though the blood pressure be normal, should be considered a first class insurance risk.

The question of the value of the diastolic pressure reading in examinations for life insurance is not yet settled to the satisfaction of all medical directors. Certain medical directors with clinical experience behind them, lay great stress on the increased diastolic pressure and consider a persistent diastolic of 100 mm. really more significant as an indication of hypertension than a systolic pressure of 160 mm. Other directors pay little or no attention to the diastolic reading. Should an applicant show a systolic above the average normal on several successive readings,[255] he is declined. When one takes into consideration the psychic effect of knowing that he is being examined for high blood pressure, it seems unfair to refuse insurance on such grounds as is constantly done.

Up to the present there are no extensive series of life-expectancy tables in which hundreds of thousands of cases are analyzed from the diastolic pressure values. There are many such tables for the systolic pressures alone. In the tabulation of such statistics one must not lose sight of the important fact that the figures are taken by thousands of men of varying capacity and different degrees of intelligence. Such studies to be of any real value must be taken from records made at the home offices by capable men. We shall await these tables with interest. In the meantime we must be permitted to have the impression that the diastolic pressure has been much neglected. This has no doubt been due to the difficulty of measuring it with any degree of accuracy. Now with the auscultatory method and the correct place to read the diastolic pressure the results of blood pressure estimations should begin to have some value for statistical data.

Clinically the diastolic is probably more important than the systolic. Until proof is brought to the contrary we shall believe that in life insurance examinations it has the same importance.


[256]

CHAPTER XV.

PRACTICAL SUGGESTIONS

The time spent in obtaining a careful history of a case is time well spent. Often the diagnosis can be made from the history alone, the physical examination merely adding confirmation to the data already obtained.

The younger the patient who has arteriosclerosis, the more probable is it that syphilis is the etiologic factor. A denial of infection should have little weight if the history of possible exposure is present. Miscarriages in a woman should arouse the suspicion of lues in her husband. The complement-fixation reaction will often clear up an apparently obscure diagnosis.

There are various ways of examining a patient but there is only one right way; the examination should be made on the bare skin. However skillful one may be in the art of physical diagnosis, he can gather few accurate data by examining over the clothes even if he use a phonendoscope.

The immoderate eater is laying up for himself a wealth of trouble at the time when he can least afford to bear it. The ounce of advice in time is worth more to him than the pounds of medicine later.

It is a wise maxim never to drive a horse too far. Apply that to the human being and the rule holds equally well.

There may be no symptoms in a case of advanced arteriosclerosis. Do not on that account neglect to advise a patient in whom the disease is accidentally discovered.

Many a man owes a debt of gratitude to the life insurance examiner. He rarely feels grateful.

When a competent ophthalmologist refers a case to a general practitioner with the statement that he believes from the appearance of the fundus of the eye that arteriosclerotic[257] changes are present over the body, the case should be most carefully examined. The earliest diagnoses are not infrequently made by the ophthalmologist.

It is the part of wisdom never to have such a firmly preconceived idea of the diagnosis that facts observed are perverted in order to fit into the diagnosis. Let the facts speak for themselves.

Beware of the snap diagnosis. Even in a case of well-marked arteriosclerosis when the diagnosis seems to be written in large letters all over the patient, go through the routine. Nine times out of ten this may seem needless. The tenth time it saves your conscience and reputation. Always consider that you are examining a tenth case.

Gradual loss of weight in a person over fifty years old should arouse the suspicion of arteriosclerosis.

Do not call the nervous symptoms displayed by a middle-aged man or woman neurasthenia until you have ruled out all organic causes, particularly arteriosclerosis.

When palpating the radial artery, always use both hands according to the method already described. Pay attention to the superficial or deep situation of the artery.

The examination of one specimen of urine does not give much information, especially if it should be found to contain no abnormal elements. Fairly accurate data may be gathered from the mixed night and morning urine; most accurate data from the twenty-four hour specimen. To be of any real value there should be frequent examinations of the day's excretion.

In measuring the day's output a good rule is as follows: begin to collect urine after the first morning's micturition and collect all including the first quantity passed the next morning. It is best to examine the centrifugated urine for casts even though no albumin be present. It is useless to look for casts in an alkaline urine.

Casts are not infrequently found in chemically normal urine from a middle-aged patient. Other things being normal,[258] the finding has no significance. The kidneys must be carefully tested functionally.

Blood pressure readings should always be taken with the patient in the same posture at every estimation. At the first examination it is advisable to take readings from both brachial arteries. Let the patient sit comfortably and relax all muscles.

Differentiate as soon as possible between the uncompensated heart caused by valvular disease and that caused by arteriosclerosis. There is a difference in prognosis. Both give the same symptoms, and are treated similarly until compensation returns; thereafter the management of the two forms is different.

Aortic incompetence that comes on late in life is generally the result of curling of the free margins of the valves caused by syphilitic arteriosclerosis. Prognosis is grave because of the fact that the heart muscle also is the seat of degenerative changes and compensatory hypertrophy is established with difficulty.

When laying down a regime for a patient, consider his disposition, and individualize the treatment. Remember that exercise is an essential feature of the hygiene of the patient's life but do not forget to be explicit about the amount and character of the permissible exercise.

In the prophylaxis of arteriosclerosis, a rational mode of living is the all-important factor. As a rule, the less meat one eats, the less is the liability of arterial degeneration as age advances. The exceptions to this rule are many, and probably depend upon the character of the "vital rubber" with which the individual begins life.

The diet in well-marked cases of arteriosclerosis should be carefully selected with regard to its nutritive and non-irritating character. Animal proteins should be sparingly used. Milk should have an important place in the dietary.

No drug relieves the pain of uncomplicated aneurysm as surely as iodide of potassium.

[259]Iodides frequently upset the stomach. Be cautious in the use of them. The irritable stomach may turn the scales against your patient.

Use cardiac stimulants with care and judgment. If all the valuable ammunition is used up at first, the fight will be lost.

Use digitalis with especial care. Its chief usefulness is in steadying the decompensated heart, improving the conduction of impulses, and increasing the tone of the cardiac muscle. It should never be given to patients with very slow pulses, the subjects of Stokes-Adams syndrome. Digitalis has been found to produce partial to complete heart block when therapeutically administered.

Remember that in the uncompensated heart morphine not only eases the oppressive dyspnea, but also steadies and stimulates the heart.

See to it that the patient has a daily movement of the bowels. In the early stage try the effect of liquid paraffin or of the mineral waters such as Pluto, or Hunyadi Janos, or artificial Carlsbad salts (Sprudel salts). These last can be made as follows: Sodium chloride, ℥I; sodium bicarbonate, ℥II; sodium sulphate, ℥IV. Take two tablespoonsful of this in a glass of hot water before breakfast. Should these not succeed, assist the action of the drugs by the use of enemata. The pill of aloin, strychnine sulphate, and extract of cascara, with the addition of a small quantity of hyoscyamus, is a mild tonic purgative. In cases of constipation with high tension, there is no drug as valuable as calomel or one of the other mercurials given occasionally.

Never give Epsom salts unless copious watery stools are desired to deplete effusion into the serous cavities or into the subcutaneous tissue.

Chronic constipation increases the gravity of the prognosis.

In case of suppression of urine and anasarca, hot air packs may be of value. The patient may be wrapped in a[260] hot wet sheet and covered with blankets. I do not believe in administering pilocarpine to assist the sweating.

Remember to treat the patient and not the disease. The careful hygienic and dietetic treatment, combined with the least amount of drugging, is the best and most rational method of treatment.


[261]

INDEX

A

Abdominal symptoms, 201

Aconite in treatment, 242

Acquired arteriosclerosis, 159

Adami, effect of syphilis in aorta, 45

Adventitia, 28

Age in arteriosclerosis, 161

Albuminuria, 221

Albutt's classification of arteriosclerosis, 186

Alcohol, 166, 228, 235

Anatomy, 25

Angina abdominalis, 201, 216
pectoris, 197, 216
pseudo, 216

Angiosclerosis, 26, 64

Aorta, 27
anatomical lesions in, 33
Aschoff on, 35
normal, 41
syphilis in, 44
thoracic, 29
thoracic and abdominal, arteriosclerosis of, 39
velocity of blood in, 66

Aortic incompetence, 61, 258
stenosis, 60

Aortitis, acute, 165

Arcus senilis, 191

Arrhythmia, tonal, 92, 102

Arterial pressure, 85
symptoms, 189

Arteries, 29
examination of, 172, 177
general structure of, 27
large, 30
adventitia of, 30
palpable, 189
pulmonary, arteriosclerosis of, 63

Arteriocapillary fibrosis, 26

Arteriosclerotic endocarditis, 60, 219

Artery, coronary, cross-section of, 36
pulmonary, 209
radial, 29

Aschoff on aorta, 35

Atheroma, simple, 32

Atheromatous abscess, 38

Auricular fibrillation, 133
flutter, 131

Auscultation, 176

Auscultatory blood pressure phenomenon, 90
method of taking blood pressure, 83
percussion, 175


B

Balneotherapy, 233

Basch's blood pressure instrument, 70

Blood, circulation of, 65
velocity of, 65
in animals, 66
in aorta, 66
in capillaries, 66
viscosity of, 68

Blood pressure, 68
auscultatory method of taking, 83
clinical applications of, 147
diurnal variations of, 102
drugs influencing, 120
estimation of, 179
in cancer, 118
in collapse, 118
in exercise, 105
in head injuries, 148
in hemorrhages, 105, 118, 148
in infectious diseases, 153
in kidney diseases, 155
in meningitis, 118
in obstetrics, 152
in pulmonary tuberculosis, 119
in shock, 105, 148
in surgery, 147
in typhoid fever, 118, 154
in valvular heart disease, 155
increase of, 55
instruments, 70
Brown's, 74
Cook's, 71
Erlanger's, 72
Faught's, 75, 80
Hill and Barnard's, 70
Hirschfelder's, 73
K. Vierordt's, 70
Marcy's, 70
Potain's, 70
Riva Rocci's, 70
Roger's, 77
[262]Sanborn's, 80
Stanton's, 72
technique of, 80
"Tycos," 77
v. Basch's, 70
v. Recklinghausen's, 76
mechanism of, 55
normal variations of, 88
phenomenon, auscultatory, 90
precautions when estimating, 181
value of, 181

Bowman's capsules, sclerosis of, 62

Brain, changes in, 62

Brown atrophy, 60, 118, 201


C

Calcification of media, 43, 59

Cancer, blood pressure in, 118

Capillaries, anatomy of, 27, 31

Capillary pulse, 67

Cardiac dullness, 172
irregularities in arteriosclerosis, 131
symptoms, 195

Cerebral symptoms, 203

Circulation of blood, 65
physiology of, 65

Cirrhosis of liver, 64, 216

Classification of arteriosclerosis, 32, 37
Allbutt's, 186

Collapse, blood pressure in, 118

Congenital arteriosclerosis, 157

Cook's blood pressure instrument, 71

Cor bovinum, 116

Coronary artery, cross section of, 36

Corpus luteum, 241


D

Definition of arteriosclerosis, 26

Diabetes mellitus, 216

Diagnosis, 210
differential, 215
early, 210
ophthalmic examination in, 214

Diastolic pressure, 69, 83, 85, 94
importance of, 97

Dicrotic pulse, 123

Dietetic treatment, 235

Differential diagnosis, 166, 215

Diffuse arteriosclerosis, 32, 37, 38, 57

Digitalis in treatment, 246, 259

Diuretin in treatment, 246

Drug intoxications, 166

Drugs influencing blood pressure, 105, 120

Ductless glands, 171

Dullness, cardiac, 172

Dyspeptic symptoms, 184

Dyspnea, 184
treatment of, 248


E

Electrocardiogram, 126

Embolism, 59

Endarteritis deformans, 47
obliterans, 46

Endocarditis, arteriosclerotic, 60, 219

Endothelial lining, 27
tubes, 31

Epistaxis, 184, 221

Erlanger's blood pressure instrument, 72

Erythromelalgia, 192, 208

Estimation of blood pressure, 179

Etiology, 157

Examination of arteries, 172, 177
of heart, 172
of urine, 257

Exercise, blood pressure in, 105
in prophylaxis, 225
in treatment, 230

Experimental arteriosclerosis, 50

Extrasystole, 138


F

Faught's blood pressure instrument, 75, 80

Fibrillation, auricular, 133
ventricular, 138

Fibrolysin in treatment, 243

Fingernail palpation, 178

Finger tip palpation, 179

Flutter, auricular, 131

Food poisons in arteriosclerosis, 163


G

Gibson's law, 154


H

"H" wave, 126

Habits, personal, 234

Head injuries, blood pressure in, 148

Headache, 184
treatment of, 248

Heart block, 140
boundaries, 172
examination of, 172
hypertrophy of, 60
physical examination of, 172
stimulants, 243, 246, 259
symptoms, 188
[263]
Hemorrhages, blood pressure in, 118

Henle, membrane of, 29

Hill and Barnard's blood pressure instrument, 70

Hirschfelder's blood pressure instrument, 73

His, bundle of, 141, 197

Hygienic treatment, 230

Hyperpietic arteriosclerosis, 186

Hypertension, 60, 106, 169, 185, 249
cause of arteriosclerosis, 159
classification of cases, 112

Hypertrophy of left ventricle, 58

Hypotension, 117


I

Incompetence, aortic, 61, 258

Indicanuria, 167

Infants, arteriosclerosis in, 158

Infectious diseases in arteriosclerosis, 163
blood pressure in, 153

Insomnia, treatment of, 248

Intermittent claudication, 192, 208
treatment of, 247

Intoxications, chronic drug, 166

Intracranial tension, 105

Involutionary arteriosclerosis, 187

Iodides in treatment, 238, 247, 259


K

Kidney diseases, blood pressure in, 155

Kidneys, sclerosis of, 61, 170


L

Life insurance, relation to, 249

Light percussion, 174
touch palpation, 175

Liver, cirrhosis, 64, 216

Local symptoms, 207


M

Marey's blood pressure instrument, 70

Maximum pressure, 85, 94

Mean pressure, 85

Media, calcification of, 43, 59

Medicinal treatment, 238

Meningitis, blood pressure in, 118

Mental strain, 168

Mesaortitis, 45, 47, 49, 165

Mesentery, cross-section of small artery in, 56

Milk diet, 237

Minimum pressure, 86, 94

Moenckeberg type of arteriosclerosis, 43

Morphine in treatment, 243

Mosenthal test meal, 221

Muscular overwork, 169


N

Nervous symptoms, 191

Nitrites in treatment, 240

Nitroglycerin in treatment, 241

Nodular arteriosclerosis, 32, 37

Normal blood pressure variation, 88


O

Obstetrics, blood pressure in, 152

Occupation in arteriosclerosis, 162

Ocular symptoms, 190

Ophthalmic examination, importance in early diagnosis, 214, 256

Orthodiagraph, 173

Overeating, 167, 212, 225, 235

Overwork, muscular, 169


P

"P" wave, 129

"P-R" interval, 130

Palpable arteries, 189

Palpation, 174, 180
fingernail, 178
finger tip, 179
light touch, 175

Pathology, 32

Percussion, 174
auscultatory, 175
light, 174

Peripheral symptoms, 207

Personal habits, 234

Phlebosclerosis, 64

Phthalein test, 221

Physical signs, 183

Physiology of the circulation, 65

Potain's blood pressure instrument, 70

Practical suggestions, 256

Pressure, arterial, 85
ausculatory method of determining, 83
diastolic, 83, 94
estimation of, 179
in surgery, 147
maximum, 85, 94
normal variations, 88
pulse, 83, 85, 87, 100
systolic, 82, 85
technique, 80
venous, 120
[264]
Prognosis, 218

Prophylaxis, 224
exercise in, 225

Pseudo angina pectoris, 216

Pulmonary artery, 209
arteriosclerosis of, 63
tuberculosis, blood pressure in, 119

Pulse, 123
capillary, 67
deficit, 135
dicrotic, 123
in arteriosclerosis, 123
pressure, 69, 83, 85, 87, 100
rate, 69
venous, 123

Purgatives in treatment, 244, 259

Pyrosis, 184


Q

"Q R S" complex, 129


R

Rabbits, lesions produced experimentally in, 50

Race in arteriosclerosis, 161

Radial artery, 29

Radials, sclerosis of, 43

Raynaud's disease, 192, 207

Recklinghausen's blood pressure instrument, 76

Renal disease, 169
symptoms, 199

Rest in treatment, 242

Riva-Rocci's blood pressure instrument, 70

Rogers' blood pressure instrument, 77


S

Sanborn's blood pressure instrument, 80

Scaphoid scapula, 158

Schwellungsperkussion, 174

Sclerosis of veins, 64

Senile arteriosclerosis, 32, 37, 43, 59

Sex in arteriosclerosis, 161

Shock, blood pressure in, 105, 148

Spinal symptoms, 205

Spirochaeta pallida, 45

Stanton's blood pressure instrument, 72

Stenosis, aortic, 60

Stokes-Adams syndrome, 197

Stomach, ulcer of, 216

Strain hypertrophy, 47, 54, 55

Surgery, blood pressure in, 147

Symptomatic treatment, 245

Symptoms, 183
abdominal, 201
arterial, 189
cardiac, 195
cerebral, 203
dyspeptic, 184
dyspnea, 184
general, 183
headache, 184
heart, 188
local, 207
nervous, 191
ocular, 190
peripheral, 207
pyrosis, 184
renal, 199
special, 194
spinal, 205
vertigo, 184
visceral, 201

Syphilis, 165
in aorta, 44

Syphilitic arteriosclerosis, 37

Systolic pressure, 69, 82, 85, 94
importance of, 97


T

"T" wave, 130

Technique of blood pressure instruments, 80

Thayer and Fabyan, 34

Theocin, 247

Thoma on arteriosclerosis, 33

Thoracic aorta, 29

Thyroid extract in treatment, 239

Tobacco, 167, 212, 234

Tonal arrhythmia, 92, 102

Toxic arteriosclerosis, 186

Treatment, 229
aconite in, 242
balneotherapy in, 233
corpus luteum, 241
dietetic, 235
digitalis in, 246, 259
diuretin in, 246
exercise in, 230
fibrolysin in, 243
heart stimulants in, 243
hygienic, 230
iodides in, 238, 247, 259
medicinal, 238
morphine in, 243
nitrites in, 240
nitroglycerin in, 241
of dyspnea, 248
[265]of headache, 248
of insomnia, 248
of intermittent claudication, 247
personal habits in, 234
purgatives in, 244, 259
rest in, 242
symptomatic, 245
theocin in, 247
thyroid extract in, 239
Trunecek's serum in, 243
venesection in, 242
veratrum viride in, 242

Trunecek's serum in treatment, 243

Tuberculosis, blood pressure in, 119

Tunica intima, 28
media, 28

"Tycos" blood pressure instrument, 77

Typhoid fever as cause of arteriosclerosis, 164
blood pressure in, 118


U

Ulcer of stomach, 216

Urine, examination of, 257
suppression of, 259


V

Valvular heart disease, blood pressure in, 155

Vasa vasorum, 29

Veins, anatomy of, 30
sclerosis of, 64

Velocity of blood in animals, 66
of blood in aorta, 66

Venesection in treatment, 242

Venous pressure, 120
pulse, 123

Ventricle, left, hypertrophy of, 58

Ventricular fibrillation, 138

Veratrum viride in treatment, 242

Vertigo, 184

FOOTNOTES:

[1] Longcope and McClintock, however, conclude that permanent constriction of the superior mesenteric artery and celiac axis, as well as gradual occlusion of one or both of these vessels, may be present in dogs for at least five months without giving rise to definite and constant elevation of blood pressure or to hypertrophy of the heart. Further, they have been unable to find at autopsy on man a definite association between sclerosis of the abdominal aorta and great splanchnic vessels and cardiac hypertrophy.

[2] Warthin, A. S.: Am. Jour. Syph., 1918, i, 693.

[3] A firm makes a stethoscope so that the bell is clamped on the arm leaving both the operator's hands free.

[4] Weyse, A. W., and Lutz, B. R.: Diurnal Variations in Arterial Blood Pressure, Am. Jour. Physiol., 1915, xxxvii, 330.

[5] Erlanger and Hooker: An Experimental Study of Blood Pressure and of Pulse Pressure in Man, Johns Hopkins Hosp. Rep., 1904, xii, 145.

[6] Dawson and Gorham: The Pulse Pressure as an Index of Systolic Output, Jour. Exper. Med., 1908, x, 484.

[7] Isolation of a New Vasoconstrictor Substance from the Blood and the Adrenal Cortex, Jour. Am. Med. Assn., 1913, lxi, 2136.

[8] Stone, W. J.: The Differentiation of Cerebral and Cardiac Types of Hyperarterial Tension in Vascular Diseases, Arch. Int. Med., November, 1915, p. 775.

[9] Smith, W. H., and Kilgore, A. R.: Dilatation of the Arch of the Aorta in Chronic Nephritis with Hypertension, Am. Jour. Med. Sc., 1915, cxlix, 503.

[10] McCrae, Thomas: Dilatation of the Arch of the Aorta, Am. Jour. Med. Sc., 1910, cxl, 469.

[11] Stone, W. J.: Arch. Int. Med., 1915, xvl, 775.

[12] Robinson, G. C., and Bredeck, J. F.: Arch. Int. Med., 1917, xx, 725.

[13] Jour. Exper. Med., 1911, xiv, 217.

[14] Warfield, L. M.: Jour. Lab. and Clin. Med., November, 1917.

[15] From πιεσω to squeeze, oppress or distress. Hyperpiesis, therefore, signifies excessive pressure.

[16] I have found the small colorimeter made by Hynson, Westcott and Dunning, Baltimore, Mo., costing $5.00, a very practical instrument.

[17] Mosenthal, H. O.: Arch. Int. Med., 1915, xvi, 733.

[18] Myers and Lough: Arch. Int. Med., 1915, xvi, 536.

[19] Discussion of alcohol at present has value only as it relates to the past. The present is dry. The future is in the lap of the gods.

[20] Miller, Jos. L.: Hypertension and the Value of the Various Methods for Its Reduction. Jour. Am. Med. Assn., 1910, liv, p. 1666.

[21] I have taken as much as 1700 c.c. from a large man. He recovered and went back to work.


Transcriber's Notes:

Irregular hyphenation has been preserved, as in blood pressure and blood-pressure. Both "Hg" and "Hg." appear.

Minor typographical errors and inconsistencies have been silently normalized.

The original printed list of illustrations shows the original locations; they have been moved closer to their discussion area in the text to not interrupt the flow of reading.






End of the Project Gutenberg EBook of Arteriosclerosis and Hypertension:, by 
Louis Marshall Warfield

*** END OF THIS PROJECT GUTENBERG EBOOK ARTERIOSCLEROSIS AND HYPERTENSION: ***

***** This file should be named 37675-h.htm or 37675-h.zip *****
This and all associated files of various formats will be found in:
        http://www.gutenberg.org/3/7/6/7/37675/

Produced by Bryan Ness, Julia Neufeld and the Online
Distributed Proofreading Team at http://www.pgdp.net (This
file was produced from images generously made available
by The Internet Archive/American Libraries.)


Updated editions will replace the previous one--the old editions
will be renamed.

Creating the works from public domain print editions means that no
one owns a United States copyright in these works, so the Foundation
(and you!) can copy and distribute it in the United States without
permission and without paying copyright royalties.  Special rules,
set forth in the General Terms of Use part of this license, apply to
copying and distributing Project Gutenberg-tm electronic works to
protect the PROJECT GUTENBERG-tm concept and trademark.  Project
Gutenberg is a registered trademark, and may not be used if you
charge for the eBooks, unless you receive specific permission.  If you
do not charge anything for copies of this eBook, complying with the
rules is very easy.  You may use this eBook for nearly any purpose
such as creation of derivative works, reports, performances and
research.  They may be modified and printed and given away--you may do
practically ANYTHING with public domain eBooks.  Redistribution is
subject to the trademark license, especially commercial
redistribution.



*** START: FULL LICENSE ***

THE FULL PROJECT GUTENBERG LICENSE
PLEASE READ THIS BEFORE YOU DISTRIBUTE OR USE THIS WORK

To protect the Project Gutenberg-tm mission of promoting the free
distribution of electronic works, by using or distributing this work
(or any other work associated in any way with the phrase "Project
Gutenberg"), you agree to comply with all the terms of the Full Project
Gutenberg-tm License (available with this file or online at
http://gutenberg.org/license).


Section 1.  General Terms of Use and Redistributing Project Gutenberg-tm
electronic works

1.A.  By reading or using any part of this Project Gutenberg-tm
electronic work, you indicate that you have read, understand, agree to
and accept all the terms of this license and intellectual property
(trademark/copyright) agreement.  If you do not agree to abide by all
the terms of this agreement, you must cease using and return or destroy
all copies of Project Gutenberg-tm electronic works in your possession.
If you paid a fee for obtaining a copy of or access to a Project
Gutenberg-tm electronic work and you do not agree to be bound by the
terms of this agreement, you may obtain a refund from the person or
entity to whom you paid the fee as set forth in paragraph 1.E.8.

1.B.  "Project Gutenberg" is a registered trademark.  It may only be
used on or associated in any way with an electronic work by people who
agree to be bound by the terms of this agreement.  There are a few
things that you can do with most Project Gutenberg-tm electronic works
even without complying with the full terms of this agreement.  See
paragraph 1.C below.  There are a lot of things you can do with Project
Gutenberg-tm electronic works if you follow the terms of this agreement
and help preserve free future access to Project Gutenberg-tm electronic
works.  See paragraph 1.E below.

1.C.  The Project Gutenberg Literary Archive Foundation ("the Foundation"
or PGLAF), owns a compilation copyright in the collection of Project
Gutenberg-tm electronic works.  Nearly all the individual works in the
collection are in the public domain in the United States.  If an
individual work is in the public domain in the United States and you are
located in the United States, we do not claim a right to prevent you from
copying, distributing, performing, displaying or creating derivative
works based on the work as long as all references to Project Gutenberg
are removed.  Of course, we hope that you will support the Project
Gutenberg-tm mission of promoting free access to electronic works by
freely sharing Project Gutenberg-tm works in compliance with the terms of
this agreement for keeping the Project Gutenberg-tm name associated with
the work.  You can easily comply with the terms of this agreement by
keeping this work in the same format with its attached full Project
Gutenberg-tm License when you share it without charge with others.

1.D.  The copyright laws of the place where you are located also govern
what you can do with this work.  Copyright laws in most countries are in
a constant state of change.  If you are outside the United States, check
the laws of your country in addition to the terms of this agreement
before downloading, copying, displaying, performing, distributing or
creating derivative works based on this work or any other Project
Gutenberg-tm work.  The Foundation makes no representations concerning
the copyright status of any work in any country outside the United
States.

1.E.  Unless you have removed all references to Project Gutenberg:

1.E.1.  The following sentence, with active links to, or other immediate
access to, the full Project Gutenberg-tm License must appear prominently
whenever any copy of a Project Gutenberg-tm work (any work on which the
phrase "Project Gutenberg" appears, or with which the phrase "Project
Gutenberg" is associated) is accessed, displayed, performed, viewed,
copied or distributed:

This eBook is for the use of anyone anywhere at no cost and with
almost no restrictions whatsoever.  You may copy it, give it away or
re-use it under the terms of the Project Gutenberg License included
with this eBook or online at www.gutenberg.org

1.E.2.  If an individual Project Gutenberg-tm electronic work is derived
from the public domain (does not contain a notice indicating that it is
posted with permission of the copyright holder), the work can be copied
and distributed to anyone in the United States without paying any fees
or charges.  If you are redistributing or providing access to a work
with the phrase "Project Gutenberg" associated with or appearing on the
work, you must comply either with the requirements of paragraphs 1.E.1
through 1.E.7 or obtain permission for the use of the work and the
Project Gutenberg-tm trademark as set forth in paragraphs 1.E.8 or
1.E.9.

1.E.3.  If an individual Project Gutenberg-tm electronic work is posted
with the permission of the copyright holder, your use and distribution
must comply with both paragraphs 1.E.1 through 1.E.7 and any additional
terms imposed by the copyright holder.  Additional terms will be linked
to the Project Gutenberg-tm License for all works posted with the
permission of the copyright holder found at the beginning of this work.

1.E.4.  Do not unlink or detach or remove the full Project Gutenberg-tm
License terms from this work, or any files containing a part of this
work or any other work associated with Project Gutenberg-tm.

1.E.5.  Do not copy, display, perform, distribute or redistribute this
electronic work, or any part of this electronic work, without
prominently displaying the sentence set forth in paragraph 1.E.1 with
active links or immediate access to the full terms of the Project
Gutenberg-tm License.

1.E.6.  You may convert to and distribute this work in any binary,
compressed, marked up, nonproprietary or proprietary form, including any
word processing or hypertext form.  However, if you provide access to or
distribute copies of a Project Gutenberg-tm work in a format other than
"Plain Vanilla ASCII" or other format used in the official version
posted on the official Project Gutenberg-tm web site (www.gutenberg.org),
you must, at no additional cost, fee or expense to the user, provide a
copy, a means of exporting a copy, or a means of obtaining a copy upon
request, of the work in its original "Plain Vanilla ASCII" or other
form.  Any alternate format must include the full Project Gutenberg-tm
License as specified in paragraph 1.E.1.

1.E.7.  Do not charge a fee for access to, viewing, displaying,
performing, copying or distributing any Project Gutenberg-tm works
unless you comply with paragraph 1.E.8 or 1.E.9.

1.E.8.  You may charge a reasonable fee for copies of or providing
access to or distributing Project Gutenberg-tm electronic works provided
that

- You pay a royalty fee of 20% of the gross profits you derive from
     the use of Project Gutenberg-tm works calculated using the method
     you already use to calculate your applicable taxes.  The fee is
     owed to the owner of the Project Gutenberg-tm trademark, but he
     has agreed to donate royalties under this paragraph to the
     Project Gutenberg Literary Archive Foundation.  Royalty payments
     must be paid within 60 days following each date on which you
     prepare (or are legally required to prepare) your periodic tax
     returns.  Royalty payments should be clearly marked as such and
     sent to the Project Gutenberg Literary Archive Foundation at the
     address specified in Section 4, "Information about donations to
     the Project Gutenberg Literary Archive Foundation."

- You provide a full refund of any money paid by a user who notifies
     you in writing (or by e-mail) within 30 days of receipt that s/he
     does not agree to the terms of the full Project Gutenberg-tm
     License.  You must require such a user to return or
     destroy all copies of the works possessed in a physical medium
     and discontinue all use of and all access to other copies of
     Project Gutenberg-tm works.

- You provide, in accordance with paragraph 1.F.3, a full refund of any
     money paid for a work or a replacement copy, if a defect in the
     electronic work is discovered and reported to you within 90 days
     of receipt of the work.

- You comply with all other terms of this agreement for free
     distribution of Project Gutenberg-tm works.

1.E.9.  If you wish to charge a fee or distribute a Project Gutenberg-tm
electronic work or group of works on different terms than are set
forth in this agreement, you must obtain permission in writing from
both the Project Gutenberg Literary Archive Foundation and Michael
Hart, the owner of the Project Gutenberg-tm trademark.  Contact the
Foundation as set forth in Section 3 below.

1.F.

1.F.1.  Project Gutenberg volunteers and employees expend considerable
effort to identify, do copyright research on, transcribe and proofread
public domain works in creating the Project Gutenberg-tm
collection.  Despite these efforts, Project Gutenberg-tm electronic
works, and the medium on which they may be stored, may contain
"Defects," such as, but not limited to, incomplete, inaccurate or
corrupt data, transcription errors, a copyright or other intellectual
property infringement, a defective or damaged disk or other medium, a
computer virus, or computer codes that damage or cannot be read by
your equipment.

1.F.2.  LIMITED WARRANTY, DISCLAIMER OF DAMAGES - Except for the "Right
of Replacement or Refund" described in paragraph 1.F.3, the Project
Gutenberg Literary Archive Foundation, the owner of the Project
Gutenberg-tm trademark, and any other party distributing a Project
Gutenberg-tm electronic work under this agreement, disclaim all
liability to you for damages, costs and expenses, including legal
fees.  YOU AGREE THAT YOU HAVE NO REMEDIES FOR NEGLIGENCE, STRICT
LIABILITY, BREACH OF WARRANTY OR BREACH OF CONTRACT EXCEPT THOSE
PROVIDED IN PARAGRAPH 1.F.3. YOU AGREE THAT THE FOUNDATION, THE
TRADEMARK OWNER, AND ANY DISTRIBUTOR UNDER THIS AGREEMENT WILL NOT BE
LIABLE TO YOU FOR ACTUAL, DIRECT, INDIRECT, CONSEQUENTIAL, PUNITIVE OR
INCIDENTAL DAMAGES EVEN IF YOU GIVE NOTICE OF THE POSSIBILITY OF SUCH
DAMAGE.

1.F.3.  LIMITED RIGHT OF REPLACEMENT OR REFUND - If you discover a
defect in this electronic work within 90 days of receiving it, you can
receive a refund of the money (if any) you paid for it by sending a
written explanation to the person you received the work from.  If you
received the work on a physical medium, you must return the medium with
your written explanation.  The person or entity that provided you with
the defective work may elect to provide a replacement copy in lieu of a
refund.  If you received the work electronically, the person or entity
providing it to you may choose to give you a second opportunity to
receive the work electronically in lieu of a refund.  If the second copy
is also defective, you may demand a refund in writing without further
opportunities to fix the problem.

1.F.4.  Except for the limited right of replacement or refund set forth
in paragraph 1.F.3, this work is provided to you 'AS-IS' WITH NO OTHER
WARRANTIES OF ANY KIND, EXPRESS OR IMPLIED, INCLUDING BUT NOT LIMITED TO
WARRANTIES OF MERCHANTIBILITY OR FITNESS FOR ANY PURPOSE.

1.F.5.  Some states do not allow disclaimers of certain implied
warranties or the exclusion or limitation of certain types of damages.
If any disclaimer or limitation set forth in this agreement violates the
law of the state applicable to this agreement, the agreement shall be
interpreted to make the maximum disclaimer or limitation permitted by
the applicable state law.  The invalidity or unenforceability of any
provision of this agreement shall not void the remaining provisions.

1.F.6.  INDEMNITY - You agree to indemnify and hold the Foundation, the
trademark owner, any agent or employee of the Foundation, anyone
providing copies of Project Gutenberg-tm electronic works in accordance
with this agreement, and any volunteers associated with the production,
promotion and distribution of Project Gutenberg-tm electronic works,
harmless from all liability, costs and expenses, including legal fees,
that arise directly or indirectly from any of the following which you do
or cause to occur: (a) distribution of this or any Project Gutenberg-tm
work, (b) alteration, modification, or additions or deletions to any
Project Gutenberg-tm work, and (c) any Defect you cause.


Section  2.  Information about the Mission of Project Gutenberg-tm

Project Gutenberg-tm is synonymous with the free distribution of
electronic works in formats readable by the widest variety of computers
including obsolete, old, middle-aged and new computers.  It exists
because of the efforts of hundreds of volunteers and donations from
people in all walks of life.

Volunteers and financial support to provide volunteers with the
assistance they need, are critical to reaching Project Gutenberg-tm's
goals and ensuring that the Project Gutenberg-tm collection will
remain freely available for generations to come.  In 2001, the Project
Gutenberg Literary Archive Foundation was created to provide a secure
and permanent future for Project Gutenberg-tm and future generations.
To learn more about the Project Gutenberg Literary Archive Foundation
and how your efforts and donations can help, see Sections 3 and 4
and the Foundation web page at http://www.pglaf.org.


Section 3.  Information about the Project Gutenberg Literary Archive
Foundation

The Project Gutenberg Literary Archive Foundation is a non profit
501(c)(3) educational corporation organized under the laws of the
state of Mississippi and granted tax exempt status by the Internal
Revenue Service.  The Foundation's EIN or federal tax identification
number is 64-6221541.  Its 501(c)(3) letter is posted at
http://pglaf.org/fundraising.  Contributions to the Project Gutenberg
Literary Archive Foundation are tax deductible to the full extent
permitted by U.S. federal laws and your state's laws.

The Foundation's principal office is located at 4557 Melan Dr. S.
Fairbanks, AK, 99712., but its volunteers and employees are scattered
throughout numerous locations.  Its business office is located at
809 North 1500 West, Salt Lake City, UT 84116, (801) 596-1887, email
business@pglaf.org.  Email contact links and up to date contact
information can be found at the Foundation's web site and official
page at http://pglaf.org

For additional contact information:
     Dr. Gregory B. Newby
     Chief Executive and Director
     gbnewby@pglaf.org


Section 4.  Information about Donations to the Project Gutenberg
Literary Archive Foundation

Project Gutenberg-tm depends upon and cannot survive without wide
spread public support and donations to carry out its mission of
increasing the number of public domain and licensed works that can be
freely distributed in machine readable form accessible by the widest
array of equipment including outdated equipment.  Many small donations
($1 to $5,000) are particularly important to maintaining tax exempt
status with the IRS.

The Foundation is committed to complying with the laws regulating
charities and charitable donations in all 50 states of the United
States.  Compliance requirements are not uniform and it takes a
considerable effort, much paperwork and many fees to meet and keep up
with these requirements.  We do not solicit donations in locations
where we have not received written confirmation of compliance.  To
SEND DONATIONS or determine the status of compliance for any
particular state visit http://pglaf.org

While we cannot and do not solicit contributions from states where we
have not met the solicitation requirements, we know of no prohibition
against accepting unsolicited donations from donors in such states who
approach us with offers to donate.

International donations are gratefully accepted, but we cannot make
any statements concerning tax treatment of donations received from
outside the United States.  U.S. laws alone swamp our small staff.

Please check the Project Gutenberg Web pages for current donation
methods and addresses.  Donations are accepted in a number of other
ways including checks, online payments and credit card donations.
To donate, please visit: http://pglaf.org/donate


Section 5.  General Information About Project Gutenberg-tm electronic
works.

Professor Michael S. Hart is the originator of the Project Gutenberg-tm
concept of a library of electronic works that could be freely shared
with anyone.  For thirty years, he produced and distributed Project
Gutenberg-tm eBooks with only a loose network of volunteer support.


Project Gutenberg-tm eBooks are often created from several printed
editions, all of which are confirmed as Public Domain in the U.S.
unless a copyright notice is included.  Thus, we do not necessarily
keep eBooks in compliance with any particular paper edition.


Most people start at our Web site which has the main PG search facility:

     http://www.gutenberg.org

This Web site includes information about Project Gutenberg-tm,
including how to make donations to the Project Gutenberg Literary
Archive Foundation, how to help produce our new eBooks, and how to
subscribe to our email newsletter to hear about new eBooks.